
Colgajo axial insular auricular caudal en un gato para reconstruir un defecto facial tras la resección oncológica de un mastocitoma cutáneo
Este tipo de colgajo se utiliza en gatos para la reconstrucción de heridas en el cuello, el dorso de la cabeza y la oreja, así como para defectos que afectan al párpado superior, al área frontotemporal y a la región

Usos más habituales de la electroquimioterapia en pequeños animales
La aplicación de un campo eléctrico sobre la superficie tumoral, con una intensidad suficiente para inducir la formación transitoria de poros en la membrana celular, facilita la entrada de un agente quimioterápico al interior de la célula. Los tumores cutáneos

Manejo multimodal del adenocarcinoma apocrino del saco anal en perros. A propósito de un caso clínico
La combinación de distintas medidas terapéuticas, que incluyen la cirugía del tumor primario y de los linfonodos metastásicos si los hubiera, junto con otras técnicas como la quimioterapia convencional, la electroquimioterapia y la radioterapia, y la posibilidad de reintervención quirúrgica

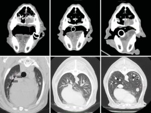
Escisión de un insulinoma pancreático complejo con invasión de vena porta en una perra
Con el objetivo de controlar la glucemia el mayor tiempo posible y mejorar el TMS, se llevó a cabo un tratamiento quirúrgico para reducir el estadio tumoral a solo enfermedad microscópica residual. Para ello, se optó por la resección de

Radiología intraoral: una herramienta imprescindible en odontología veterinaria
Esta técnica contribuye a la evaluación diagnóstica y permite aplicar tratamientos, prevenir complicaciones, realizar seguimientos terapéuticos y/o controles posquirúrgicos, evaluar la edad del paciente y obtener registros permanentes para su historia clínica y para futuras valoraciones.

La obesidad felina
La prevalencia combinada de sobrepeso y obesidad en gatos experimenta un incremento progresivo de forma global, de modo que es considerada como la principal enfermedad nutricional en esta especie.

Cirugía del páncreas
La elección del abordaje quirúrgico para extirpar abscesos o tumores pancreáticos depende de la localización, naturaleza y extensión de la lesión.

Cómo manejar la diabetes mellitus en perros con enfermedades concomitantes
Con frecuencia, la presencia de comorbilidades complica el manejo terapéutico de estos pacientes y representa un desafío considerable para el clínico. Por ello, el presente artículo se centra en el manejo terapéutico de perros diabéticos que padecen simultáneamente síndrome de

Revisión de patologías adrenales en diagnóstico por imagen
La alteración de las secreciones hormonales y los procesos tumorales son las patologías más frecuentes de las glándulas adrenales. La radiografía, la ecografía y las técnicas de imagen avanzadas, junto con las laboratoriales, son herramientas clave para su diagnóstico.

EL ECG DEL MES – 3
Perro mestizo, macho, de 5 kg y 12 años. Acude a consulta para una revisión geriátrica. Asintomático. Presenta auscultación cardiaca y analítica sanguínea normales.








