Álvaro de Paz Manovel
Interno del Servicio de Oncología de AniCura Glòries Hospital Veterinari
Imágenes cedidas por el autor
Melanoma oral
El melanoma representa el 70 % de los tumores productores de melanina y el 7 % de las neoplasias malignas en perros. Afecta principalmente a individuos de edad avanzada con mucosas pigmentadas1 y las razas con mayor predisposición incluyen scottish terrier, golden retriever, caniches, teckels y chow chows2. Las localizaciones más frecuentes son la cavidad oral, la piel, la región digital y sublingual3. En el caso de los melanomas orales, la edad media de presentación oscila entre 10,5 y 12 años4. No se ha identificado una predisposición por sexo evidente5.
El melanoma maligno oral es altamente agresivo, con invasión ósea en el 57 % de los casos y metástasis en ganglios linfáticos regionales en un 30,3 % – 74 %4. La resección quirúrgica con márgenes amplios es el pilar del tratamiento, aunque, debido a su agresividad y potencial metastásico, se recomienda el uso de terapias adyuvantes como quimioterapia o radioterapia2. La radioterapia es clave en el manejo del melanoma oral canino, ya sea como tratamiento primario o complementario, con buena respuesta a protocolos hipofraccionados, aunque aún no se ha definido un protocolo óptimo.
A continuación, se presenta la evolución de un caso de melanoma oral tratado mediante inmunoterapia y radioterapia, en el que se observa un efecto abscopal sobre las metástasis pulmonares desarrolladas a lo largo del tiempo.
Caso clínico
Reseña, motivo de consulta y HCP
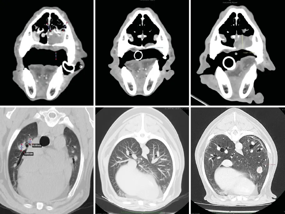
El paciente es un airedale terrier, macho no esterilizado de 10 años. Tras comienzo de sangrado a nivel oral sin respuesta a tratamiento sintomático se evidencia una lesión oral en paladar duro compatible con melanoma por citología. El centro referidor realiza un TC de tórax y abdomen en el que no se detecta enfermedad metastásica. En el momento de la consulta no presenta signos clínicos y no recibe tratamiento médico.
Exploración física general y descripción de las lesiones
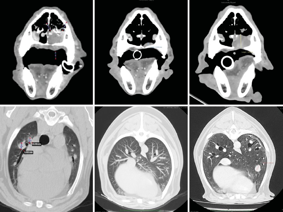
Las constantes vitales del paciente son compatibles con la normalidad. En la exploración de la cavidad oral se detecta una lesión de aproximadamente 3 cm de diámetro que se origina en la mucosa del paladar duro. No presenta linfadenomegalia submandibular o cervical palpable.
Pruebas diagnósticas
Acude a consulta con el Servicio de Oncología un mes y medio después del diagnóstico. En ese momento, se realizan citologías del linfonodo submandibular ipsilateral que son compatibles con metástasis del melanoma. A la espera de realizar TC de reestadiaje se administra la primera dosis de la vacuna de melanoma y se discuten diferentes opciones de tratamiento. Se propone la intervención quirúrgica de la lesión primaria junto con la linfadenectomía cervical completa y tratamiento radioterápico posterior con la posibilidad de aplicar tratamiento radioterápico como terapia adyuvante. Como alternativa, se considera realizar electroquimioterapia en la lesión primaria junto con una linfadenectomía cervical completa. En caso de que estas opciones se descarten, se recomienda el tratamiento sistémico con quimioterapia a base de carboplatino.
Dos semanas más tarde se realiza el TC de reestadiaje y se detecta la presencia de enfermedad metastásica en pulmón. Adicionalmente, la afectación completa del paladar y la invasión en cavidad nasal hacen que se descarte la cirugía como terapia local.
Diagnóstico
El diagnóstico histopatológico es de melanoma. El estadiaje inicial se corresponde con melanoma estadio III (metástasis nodales sin enfermedad a distancia), según el sistema de clasificación de la OMS. Posteriormente, se reclasifica como estadio IV.
Tratamiento y evolución
En el momento del estadiaje inicial, el paciente presenta un buen estado general, pero se evidencia el crecimiento de la lesión primaria y la existencia de metástasis regionales y a distancia según TC. Se administra la segunda dosis de la vacuna de melanoma y se planifica radioterapia paliativa, seguida de quimioterapia adyuvante con carboplatino. Cuatro semanas más tarde se completa la radioterapia paliativa en cinco sesiones (22.5Gy) dirigida al melanoma oral y metástasis en ganglios linfáticos mandibulares y retrofaríngeos bilaterales. Los cuidadores rechazan finalmente el tratamiento con carboplatino adyuvante.
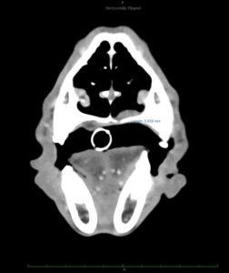
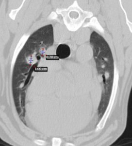
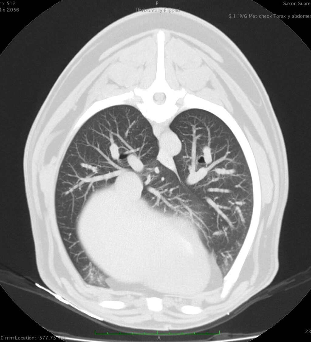
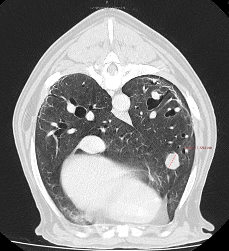
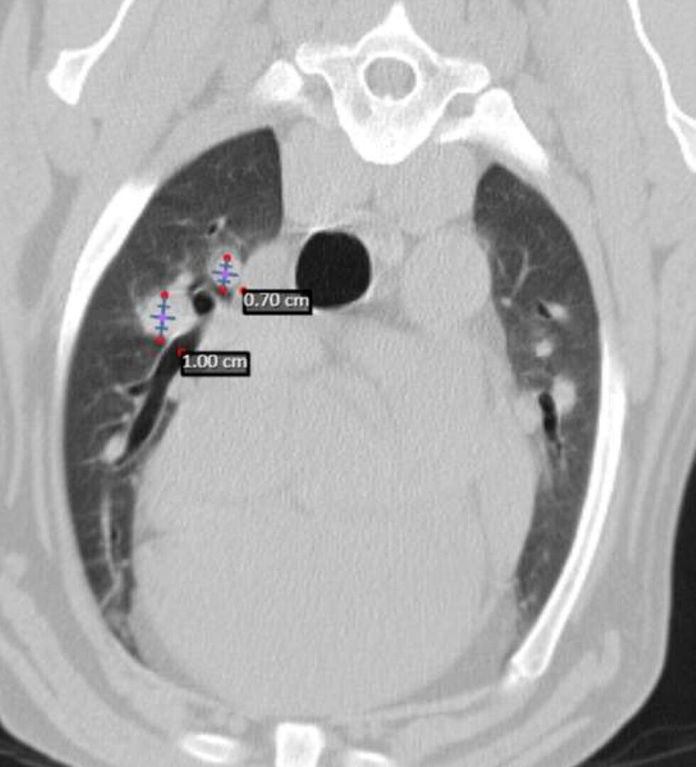
A los 18 meses del diagnóstico, los cuidadores refieren la aparición de hifema y exoftalmia en el ojo derecho, lo que sugiere metástasis, además de una masa perianal compatible con neoplasia indiferenciada (posible melanoma amelanótico). En el estudio de TC se documenta una respuesta completa de la lesión primaria y metástasis nodales y una remisión casi completa de las metástasis pulmonares (lesiones milimétricas equívocas) (imagen 1). Se realiza la resección de la masa perianal, pero los cuidadores rechazan la enucleación.
A los 22 meses, un TC de control identifica linfadenomegalia mandibular y retrofaríngea medial, probablemente reactiva, aunque no se descarta metástasis. También se observa un nódulo pulmonar solitario y un nuevo nódulo perianal, que se reseca. Durante la evaluación, se detecta secreción nasal izquierda y fístula oronasal, indicativas de recurrencia de melanoma maligno. Los resultados de una biopsia incisional confirman la recurrencia oral y determinan que el nódulo perineal se corresponde con un carcinoma de hepatoides completamente resecado. En este punto se recomienda considerar la re-irradiación paliativa de la masa primaria, ya que parece ser su potencial factor limitante en la vida y por el potencial efecto abscopal que se podría producir de nuevo. No obstante, sus cuidadores rechazan esta opción.
A los 28 meses se realiza un TC de re-estadiaje antes de considerar el segundo protocolo de radioterapia, donde se documenta una progresión objetiva de la masa oral y ligera progresión de la metástasis pulmonar (imagen 1).
En la última actualización, 33 meses tras el diagnóstico, el paciente presenta un buen estado general con calidad de vida y los cuidadores aún están considerando la radioterapia.
| ENFERMEDAD LOCAL |
| ENFERMEDAD METASTÁTICA |
Discusión
Este texto documenta una respuesta excepcional y satisfactoria en un caso de melanoma oral canino tratado mediante un enfoque multimodal que combinó radioterapia e inmunoterapia.
Los tiempos medianos de supervivencia en el melanoma oral canino tratado quirúrgicamente varían según el estadio. En una publicación de Tuohy et al. en 2014 se describen tiempos de 511 a 874 días en estadio I, de 160 a 818 días en estadio II y de 168 a 207 días en estadio III6.
Por otro lado, en un estudio que evaluó pacientes tratados con radioterapia junto con terapias adyuvantes, como cirugía y/o quimioterapia, los tiempos medianos de supervivencia para perros con melanoma en estadio I, II, III y IV fueron de 758 días (n = 19), 278 días (n = 24), 163 días (n = 37) y 80 días (n = 31), respectivamente7.
En el caso clínico analizado, correspondiente a un estadio IV, se ha reportado un tiempo de supervivencia superior a los 1.000 días, un hallazgo que destaca por su excepcionalidad.
La principal hipótesis que explica esta evolución favorable es la presencia de un efecto abscopal, un fenómeno en el que un tratamiento localizado, como la radioterapia, no solo impacta en el tumor primario, sino que también genera una respuesta inmunológica sistémica capaz de inducir la regresión de lesiones metastásicas en sitios no irradiados. Este mecanismo refleja la activación del sistema inmunológico contra células tumorales distantes tras una intervención local.
En medicina humana, múltiples estudios han descrito este efecto en el tratamiento del melanoma con radioterapia, particularmente en combinación con inmunoterapia8,9.
En oncología veterinaria, el efecto abscopal ha sido documentado en sarcomas caninos10; sin embargo, hasta la fecha no se han encontrado reportes que lo describan específicamente en el melanoma oral canino. No obstante, su posible existencia ha sido planteada como una hipótesis en la literatura científica11.
Dado que en este caso la inmunoterapia se administró de manera concomitante con la radioterapia, no es posible determinar con certeza el impacto específico de cada modalidad en la respuesta observada. Sin embargo, se considera que la radioterapia desempeñó el papel principal en la evolución clínica del paciente.
En conclusión, la radioterapia representa una modalidad terapéutica paliativa viable en el manejo del melanoma oral canino en estadio IV, incluso como modalidad única para el manejo de la enfermedad locorregional y por su potencial efecto abscopal.
Bibliografía:
- Bergman P, Selmic LE, Kent MS. Melanoma In: D Vail, D Thamm and J Liptak, editors. Withrow and MacEwen’s Small Animal Clinical Oncology. 6th ed. St. Louis, MO: Elsevier (2020). pp. 367–81.
- Polton, G., Borrego, J. F., Clemente-Vicario, F., Clifford, C. A., Jagielski, D., Kessler, M., Kobayashi, T., Lanore, D., Queiroga, F. L., Rowe, A. T., Vajdovich, P., & Bergman, P. J. (2024). Melanoma of the dog and cat: consensus and guidelines. Frontiers in Veterinary Science, 11, 1359426. https://doi.org/10.3389/fvets.2024.13594263ç
- Gillard, M. et al. (2013). Naturally occurring melanomas in dogs as models for non‐UV pathways of human melanomas. Pigment Cell & Melanoma Research, 27(1), pp. 90–102. https://doi.org/10.1111/pcmr.12170
- Nishiya, A. T., et al. (2016). Comparative Aspects of Canine Melanoma. Veterinary Sciences, 3(1), 7. https://doi.org/10.3390/vetsci3010007
- Ramos-Vara, J.A., et al. (2000). Retrospective study of 338 canine oral melanomas with clinical, histologic, and immunohistochemical review of 129 cases. Veterinary Pathology, 37, 597–608.
- Tuohy, J. L., et al. (2014). Outcome following curative-intent surgery for oral melanoma in dogs: 70 cases (1998-2011). Journal of the American Veterinary Medical Association, 245(11), 1266–1273. https://doi.org/10.2460/javma.245.11.1266
- Kawabe, M., et al. (2015). Outcomes of dogs undergoing radiotherapy for treatment of oral malignant melanoma: 111 cases (2006–2012). Journal of the American Veterinary Medical Association, 247(10), 1146–1153. https://doi.org/10.2460/javma.247.10.1146
- Nguyen, D. M., Phan, B. N., & Reddy, S. A. (2024). Abscopal Effect in Metastatic Melanoma: Generating Clinical Insights From Radiation-Induced Immune Response. Cureus, 16(11), e72853. https://doi.org/10.7759/cureus.72853
- D’Andrea, M. A., & Reddy, G. K. (2020). Systemic Antitumor Effects and Abscopal Responses in Melanoma Patients Receiving Radiation Therapy. Oncology, 98(4), 202–215. https://doi.org/10.1159/000505487
- Canter, R. J., Cox, D. P., & Chan, T. (2017). Radiotherapy enhances NK cell cytotoxicity and localization in preclinical canine sarcomas and a clinical trial in dogs. Journal for Immunotherapy of Cancer, 5(1), 77. https://doi.org/10.1186/s40425-017-0305-7
- Fan, W., & Selting, K. A. (2018). Exploring the potential utility of pet dogs with cancer for studying radiation-induced immunogenic cell death strategies. Frontiers in Oncology, 8, 680. https://doi.org/10.3389/fonc.2018.00680












