Ana Raya Quintero1, Manuel Jiménez Peláez2
1GV. Internado rotatorio e internado de cirugía
2LV, MRCVS, Dipl. ECVS. Especialista Europeo y del RCVS en Cirugía de pequeños animales. Socio fundador, codirector y responsable del servicio de cirugía
Aúna Especialidades Veterinarias Hospital de Referencia – IVC Evidensia (Valencia)
Imágenes cedidas por los autores
Anatomía y fisiología
El páncreas es una glándula constituida por un cuerpo del que emergen un lóbulo derecho, relacionado con el mesoduodeno y el duodeno descendente, y un lóbulo izquierdo, que se extiende por la curvatura mayor del estómago.
El lóbulo izquierdo recibe aporte sanguíneo mayoritariamente de la arteria esplénica. La arteria pancreaticoduodenal craneal irriga el cuerpo y la porción proximal del lóbulo derecho, se anastomosa con la arteria pancreaticoduodenal caudal en el extremo caudal del lóbulo y emite ramas que irrigan el duodeno descendente; por ello, el daño accidental de la arteria pancreaticoduodenal podría provocar necrosis duodenal. Las venas porta y esplénica realizan el drenaje venoso, mientras que el linfático corre a cargo de los ganglios pancreaticoduodenales, yeyunales y hepáticos.
La inervación del páncreas corresponde al sistema nervioso entérico y a las ramas del nervio vago. Los vasos sanguíneos son inervados por el plexo celiacomesentérico, mientras que la parte endocrina está inervada por el nervio vago, de manera que la secreción de jugos pancreáticos es un equilibrio entre el sistema parasimpático (estimulador) y el simpático (inhibidor).
El drenaje de los jugos pancreáticos al duodeno se realiza mediante conductos excretores, cuya anatomía varía entre especies. En el 68 % de los perros, el conducto pancreático accesorio o de Santorini, que drena en el duodeno a través de la papila duodenal menor, transporta la mayoría de las secreciones, al contrario que en los gatos, ya que el 80 % de ellos presentan un único conducto pancreático (Wirsung) que se fusiona al conducto biliar común antes de su desembocadura en la papila duodenal mayor.1,2 Otra diferencia entre gatos y perros es que, en los primeros, el conducto biliar común se fusiona con el conducto pancreático antes de entrar en el duodeno a través de la ampolla de Váter, lo que explica la mayor probabilidad que existe en esta especie, en comparación con la canina, de desarrollar triaditis (pancreatitis concurrente, colangitis y enfermedad inflamatoria intestinal).
El 98 % del parénquima pancreático está constituido por tejido glandular exocrino (función digestiva), y un 2 % por tejido glandular endocrino (insulina).3
Diagnóstico por imagen del páncreas
La ecografía es una técnica bastante útil para visualizar el páncreas, aunque para llevar a cabo una exploración minuciosa se requiere cierta experiencia. En condiciones normales, el páncreas es una estructura discretamente heterogénea y suele ser ligeramente hipoecogénico respecto a la grasa que lo rodea, con márgenes mal definidos. Los insulinomas suelen presentarse como pequeños nódulos hipoecogénicos y puede ser complicado visualizarlos. Muchas veces se detecta antes una metástasis en el hígado o en los ganglios linfáticos que el tumor primario en el páncreas.
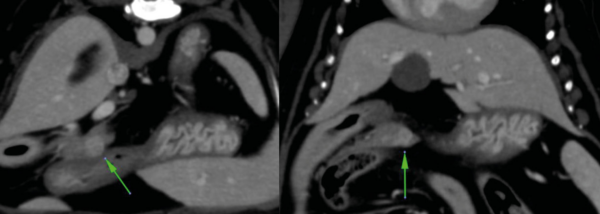
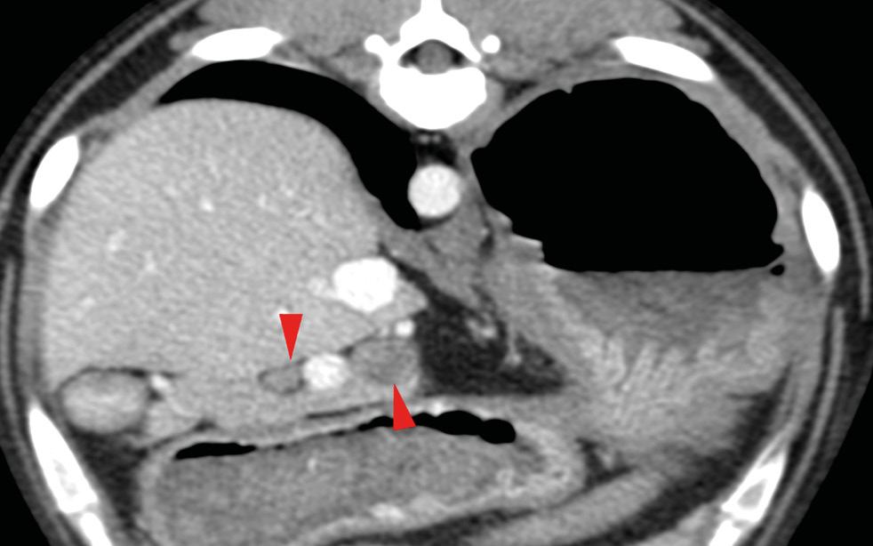
La tomografía computarizada (TC) puede ser particularmente útil en la investigación de insulinomas, puesto que el gas en el tracto gastrointestinal no supone una limitación y es una prueba más sensible en la identificación de pequeñas lesiones, aunque para ello se suele necesitar la TC de fase dual. El insulinoma se caracteriza por presentar una imagen de nódulo hipoatenuante con un gran refuerzo, únicamente en la fase arterial del estudio (halo de contraste alrededor del nódulo) y no en otras fases (imagen 1).

Afecciones pancreáticas
Pancreatitis
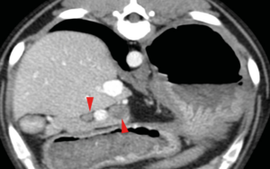
La pancreatitis es la enfermedad más común del páncreas exocrino. Una de sus secuelas son los abscesos pancreáticos, que son exudados necróticos mucopurulentos generados dentro del parénquima, la mayoría de ellos estériles (a diferencia de lo que sucede en humanos, donde son de origen bacteriano).22 Los pseudoquistes pancreáticos son acumulaciones de secreciones pancreáticas, desechos y sangre en un saco de tejido fibroso no epitelizado. Recientemente se describió el primer caso de un quiste pancreático congénito en un perro y su resección quirúrgica mediante pancreatectomía parcial, con excelente resultado.23
Con el objetivo de evitar una reacción sistémica, a pesar de las altas tasas de mortalidad (del 33 % al 86 %) asociadas a procesos sépticos que se han reportado, el tratamiento quirúrgico está indicado en los casos de abscesos pancreáticos.24
Aquellos localizados en la porción distal de los lóbulos pueden ser reseccionados mediante pancreatectomía parcial. El procedimiento consiste en aspirar el contenido del absceso, desbridando el tejido necrótico y omentalizando la lesión, respetando la vascularización del páncreas y el duodeno. Otras técnicas incluyen el drenaje peritoneal.
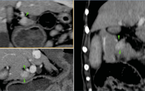
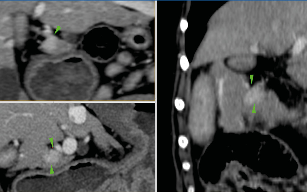
En casos de obstrucción biliar se debe considerar la duodenotomía y la colocación de un stent temporal en el colédoco, que sale al duodeno a través de la papila duonedal mayor, mientras se resuelve la compresión temporal por el absceso/inflamación (imágenes 2A y 2B). La colocación de stents de colédoco también se ha descrito en gatos.25-27 En esta especie, durante este procedimiento se debe tener cuidado de no cateterizar el conducto pancreático debido a la conexión anatómica entre el conducto pancreático y el conducto biliar común.28

En caso de lesiones focales ubicadas en la parte media de cualquiera de los lóbulos, se prefiere la realización de pancreatectomía parcial sobre nodulectomía (siempre que se pueda preservar la vascularización duodenal), ya que, pese a que la parte del tejido pancreático distal a la lesión pueda tener un adecuado suministro de sangre, a menudo no mantiene una estructura ductal lo suficientemente estable como para permitir el drenaje al duodeno, aumentando el riesgo de pancreatitis o absceso pancreático estéril.8
Recientemente se ha descrito una asociación entre la ubicación del tumor y el riesgo de desarrollar pancreatitis; así, lesiones en el cuerpo del páncreas tienen un mayor riesgo de pancreatitis debido al entrelazamiento con los conductos pancreáticos, los vasos sanguíneos y los vasos linfáticos, lo que requiere una extensa manipulación y disección del páncreas. Por otra parte, la literatura veterinaria describe una mayor frecuencia de presentación de las lesiones pancreáticas en el lóbulo izquierdo (44 %) que en el lóbulo derecho (35 %) y en el cuerpo (14 %).29 No existe asociación significativa entre la localización del tumor pancreático y el tiempo hasta la recidiva o el tiempo de supervivencia.30
Las pancreatitis crónicas asociadas a adherencias entre la vena esplénica y el tejido pancreático se han resuelto mediante pancreatectomía total y esplenectomía. Sin embargo, en medicina humana existe una técnica de preservación del bazo descrita por Warshaw con transección de los vasos esplénicos, basada en que el bazo se nutre por los vasos cortos gástricos y la gastroepiploica izquierda42 (no aplicable para tumores cercanos al hilio esplénico).
Neoplasias pancreáticas
Carcinoma
Las neoplasias (carcinomas) del páncreas exocrino son infrecuentes en animales domésticos (<0,5 % de los tumores notificados).34 La mayoría son metastásicos en el momento del diagnóstico (tasa metastásica reportada del 32-50 % en gatos), lo que reduce la tasa de supervivencia. En un estudio, los tiempos de supervivencia descritos en felinos fueron más largos si los gatos se sometían a cirugía (165 días, frente a 30 días en el caso de los gatos que no se sometieron a cirugía) y quimioterapia (165 días, frente a 7 días en los gatos que no recibieron quimioterapia).35 En otro estudio, Nicoletti et al. reportaron una mediana de tiempo de supervivencia de 316 días para 4 de los 9 gatos incluidos sin enfermedad metastásica en el momento del diagnóstico.36
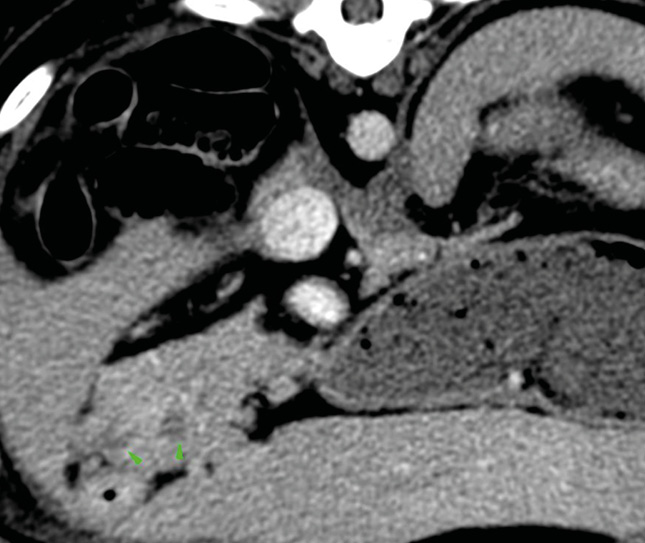
La cirugía de elección es la pancreatectomía parcial y la resección de losnódulos linfáticos (NNLL) centinelas (imágenes 3A-3I). La quimioterapia intracavitaria puede controlar la efusión por carcinomatosis secundaria, pero ofrece una respuesta paliativa de corta duración. La pancreatectomía completa o pancreaticoduodenectomía (técnica de Whipple), descritas en el perro, presentan altas tasas de morbilidad y mortalidad operatorias. La técnica de Billroth II es una opción paliativa a corto plazo en casos de obstrucción intestinal. En un estudio retrospectivo en 34 pacientes felinos con carcinoma pancreático exocrino primario la enfermedad se asoció con una historia previa de diabetes mellitus.35 El carcinoma pancreático exocrino canino se caracteriza por una alta tasa de metástasis y un pronóstico grave general.37

Imágenes 3A – 3I. Secuencia de imágenes quirúrgicas en un perro (con las imágenes del TC), durante una pancreatectomía parcial del lóbulo izquierdo y cuerpo del páncreas, usando un sellador vascular/tisular, por carcinoma pancreático.
Adenoma
Los adenomas pancreáticos son tumores epiteliales menos comunes que los adenocarcinomas de páncreas en todas las especies. Se requiere su diferenciación de la hiperplasia de las células acinares pancreáticas (común en perros y gatos mayores). Se distinguen del adenocarcinoma bien diferenciado por el grado de invasión y cierto grado de atipia celular que presentan los carcinomas.
Insulinoma
Son tumores de las células β del páncreas y la enfermedad más común del páncreas endocrino.4,21 Hasta un 60 % son funcionales y el 95 % tienen un comportamiento maligno, con presencia en un 50 % de los casos de metástasis en el momento del diagnóstico (NNLL regionales y/o hígado). Son raros en gatos. Con el insulinoma se reportan varios signos clínicos, la mayoría de ellos debido a la hipoglucemia resultante.38
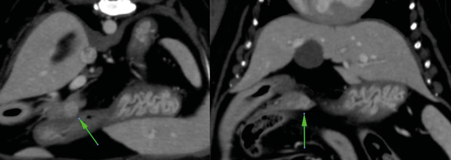
El tratamiento quirúrgico es el de elección para perros con enfermedad en estadio I (enfermedad localizada) o II (presencia de metástasis locorregional) e implica una pancreatectomía parcial para extirpar el tumor primario y cualquier metástasis visible (imágenes 4A-4K y 5A-5H). La mediana de supervivencia es más larga en los perros tratados quirúrgicamente en comparación con los perros tratados médicamente, como se describe en dos estudios donde la mediana del tiempo de supervivencia de los perros sometidos a pancreatectomía parcial fue de 381 días y 785 días, respectivamente, en comparación con 74 días y 196 días, respectivamente, en aquellos tratados solo con tratamiento médico.30 En otro estudio reciente, el tiempo medio de supervivencia registrado para 49 perros con insulinoma fue de 561 días y de hasta 746 días para perros que tuvieron resolución de hipoglucemia, con un tiempo medio euglucémico global (tiempos desde la cirugía hasta la primera detección de hipoglucemia en cualquier momento después de la cirugía) de 424 días para todos los perros.39
Imágenes 4A – 4K. Secuencia de imágenes quirúrgicas en un perro (con las imágenes del TC), durante una pancreatectomía total del lóbulo izquierdo y cuerpo del páncreas (usando la técnica de “guillotina” sutura/fractura con el nudo de Miller modificado) y resección de NNLL centinelas, por insulinoma en el cuerpo del páncreas.
Imágenes 5A – 5H. Secuencia de imágenes quirúrgicas en un perro (con las imágenes del TC), durante una pancreatectomía total del lóbulo derecho y parte del cuerpo del páncreas (usando la técnica de “guillotina” sutura/fractura con el nudo de Miller modificado) y resección de NNLL centinelas, por insulinoma en el lóbulo derecho del páncreas.
El tratamiento recomendado es la escisión quirúrgica. Aunque no suele ser curativa, los esfuerzos para extirpar todo el tumor primario macroscópico y la enfermedad metastásica reducirían la carga tumoral general. Esto, a su vez, puede ayudar a controlar la hipoglucemia, prolongar el tiempo libre de enfermedad y mejorar la supervivencia. El procedimiento quirúrgico consiste en una pancreatectomía parcial, eliminando todo el tejido neoplásico que pueda ser identificado (un 5 % corresponde a carcinoma de islotes difuso microscópico, detectable por palpación) junto con los NNLL centinelas +/- resección de nódulos hepáticos si estuvieran presentes.20 La hipoglucemia persistente tras la cirugía se ha considerado como factor negativo (signo de metástasis o resección incompleta).4
Una de las complicaciones posquirúrgicas más comunes es la pancreatitis. Algunos estudios describen que, aproximadamente, el 10 % de los perros desarrollan diabetes mellitus después de la pancreatectomía como tratamiento del insulinoma, y los signos clínicos generalmente ocurren cuando se extirpa el 80 % – 90 % del tejido pancreático.18,40
Algunos estudios describen el beneficio de la dexmedetomidina administrada en dosis clínicas habituales para la sedación leve, con el potencial de servir como una estrategia de manejo preoperatorio para la hipoglucemia en perros con insulinoma.40
Los tumores solitarios en el lóbulo izquierdo o derecho pueden ser fácilmente reseccionados con un traumatismo mínimo del páncreas. Los tumores en el cuerpo del páncreas son más complejos de reseccionar y tienen un mayor número de complicaciones, especialmente pancreatitis.20
El hígado y los NNLL regionales deben ser inspeccionados, y cualquier posible metástasis retirada si es posible o biopsiada si no es retirable en su totalidad.20
Aunque histológicamente los insulinomas pueden parecer benignos (adenomas), la gran mayoría metastatiza. Las características histológicas no son indicativas de su comportamiento biológico.
Gastrinoma
Son tumores altamente metastásicos (alrededor de un 70 % presentaron metástasis en el momento del diagnóstico).20 Casi un 20 % de los pacientes con gastrinomas presentan úlceras perforadas secundarias a una producción excesiva de gastrina.
En el 88 % de los perros y gatos, el gastrinoma se localiza en el páncreas, y un 25 % de ellos presentan tumores pancreáticos múltiples. En el 12 % restante el tumor se ubica en los NNLL regionales o en la raíz del mesenterio. El 63 % de los gastrinomas están en el lóbulo derecho del páncreas, el 38 % en el cuerpo y solo el 6 % en el lóbulo izquierdo.20
El tratamiento recomendado es la escisión quirúrgica mediante pancreatectomía parcial, tomando muestras del hígado y/o linfadenectomía para la estadificación de la enfermedad, combinada con tratamiento médico a base de antiácidos y sucralfato. La literatura describe pocos casos en veterinaria, con una supervivencia de entre una semana y 18 meses.41
A pesar de haber enfermedad metastásica en insulinomas y gastrinomas, el paciente no debería ser eutanasiado durante la cirugía, ya que la terapia médica puede ser muy eficaz controlando los signos clínicos por un tiempo prolongado en ambas enfermedades.20
Glucagonoma
Es un tumor secretor de glucagón. El tratamiento quirúrgico puede estar recomendado, pero los casos en la literatura describen un alto grado de complicaciones posoperatorias y un pronóstico reservado con altas tasas de metástasis presentes en el momento del diagnóstico.37
Manejo anestésico
Las consideraciones anestésicas dependerán del motivo de la intervención.
Dado el potencial que tienen los alfa-2 para producir hipoinsulinemia e hiperglucemias, los agentes inductores más recomendados son el propofol y el etomidato, por sus propiedades neuroprotectoras.
Para monitorizar los niveles de glucosa, es preferible el uso de un catéter central en lugar de las vías periféricas. En este sentido, cabe destacar que recientemente se ha observado que un aumento de los niveles de glucosa intraoperatorios se asocia con una resección completa del tejido neoplásico secretor de insulina activa.4
Por otro lado, el uso de la anestesia locorregional permite reducir el uso de opioides, lo que mejora la estabilidad anestésica y el periodo posoperatorio.5
Procedimientos quirúrgicos del páncreas
La cirugía pancreática tiene beneficios y riesgos asociados, y la elección del abordaje quirúrgico depende de la localización, naturaleza y extensión de la lesión.
Biopsia pancreática
La biopsia está indicada principalmente en casos de enfermedad difusa pancreática.
Se pueden tomar pequeñas muestras mediante instrumentos de biopsia tru-cut, con la técnica de fractura con sutura (imágenes 6A-1E) o usando selladores vasculares/tisulares (imágenes 7A-7D). La muestra se debe obtener de la parte apical de los lóbulos, entre los cuales el derecho es la región más accesible y segura, alejada de los conductos pancreáticos, y con vascularización no primaria a otros órganos. Al tomar muestras en el cuerpo de los lóbulos se prefiere el margen libre del tejido, para evitar daño vascular o ductal.
Imágenes 6A – 6E. Secuencia quirúrgica de la toma de una biopsia pancreática de la porción apical del lóbulo derecho en un perro, usando la técnica de guillotina (sutura/fractura) con el nudo de Miller modificado.
Imágenes 7A – 7D. Secuencia quirúrgica de la toma de una biopsia pancreática de la porción apical del lóbulo izquierdo en un gato, usando sellador vascular-tisular.
La técnica de disección roma permite extirpar tejido pancreático de cualquier región.1,6 La biopsia laparoscópica mediante el uso de pinzas, fórceps (imagen 8), punch o ligaduras intracorpóreas laparoscópicas, así como los selladores vasculares, ofrece una sensibilidad diagnóstica similar con menor tasa de complicaciones y rápida recuperación del paciente, por lo que es la ideal en perros.7 La porción distal del lóbulo izquierdo puede biopsiarse con el paciente en decúbito lateral derecho mediante retracción medial de la región gastroesplénica.8

Recientemente, se ha estudiado la integración de la ecografía pancreática laparoscópica para mejorar la precisión en la localización intraoperatoria de lesiones difícilmente visibles durante la inspección laparoscópica, así como en la resección de masas o la toma de muestras de regiones anatómicas más complejas, como el lóbulo izquierdo.9 Se ha descrito también la biopsia laparoscópica en gatos.10-12
Las principales repercusiones de la biopsia pancreática abierta frente a la biopsia laparoscópica son: mayor dolor abdominal, anorexia y pancreatitis comunes en perros y gatos.11,12
Pancreatectomía parcial
Está indicada en casos de traumatismo focal, neoplasias aisladas, quistes, abscesos pancreáticos y enfermedad neoplásica.
Para la resección tumoral se han descrito varias técnicas, por cirugía abierta y laparoscópica, sin diferencias significativas entre ellas en cuanto a la repercusión clínica o en el análisis histopatológico.
Pancreatectomía parcial mediante cirugía abierta
- Disección roma: indicada en nódulos delimitados de pequeño tamaño. Se realiza una cuidadosa disección de la porción que se va a biopsiar del resto del parénquima, vasos y todas las intersecciones afectadas mediante el uso de un mosquito hemostático o hisopos de algodón estériles. Los vasos sanguíneos se pueden cauterizar o ligar. Finalmente, se secciona el muñón liberado mediante cualquiera de las técnicas descritas en este apartado. Esta técnica parece ser menos traumática, ya que genera menos inflamación y adherencias, aunque aumenta el tiempo quirúrgico.1 En las pancreatectomías del lóbulo izquierdo, se deben evitar daños en los vasos esplénicos para preservar el bazo, que ayudará a prevenir infecciones posoperatorias. Si se producen daños en estos vasos, el bazo podrá preservarse si los vasos gástricos cortos y gastroepiploica izquierda (según técnica Warshaw) se mantienen intactos.
- Sección con sutura – fractura (guillotina): especialmente indicada en tumores localizados en la extremidad de los lóbulos pancreáticos o en los bordes del parénquima, en enfermedades difusas y en traumatismos (imágenes 9A y 9B). Para exponer el tejido, se libera el mesoduodeno u omento y la vascularización circundante. Se coloca una lazada de sutura monofilamento absorbible alrededor del tejido que se va a biopsiar que, al anudar, secciona el parénquima ocluyendo los conductos y vasos. Finalmente, se resecciona la muestra mediante bisturí a unos milímetros de la ligadura y se procede al lavado y cierre del mesoduodeno u omento.1 Realizar lavados locales ayuda a disminuir las proteasas intraperitoneales. El sangrado difuso se puede controlar con parches de colágeno.
- Grapadora automática: en caso de resecciones amplias de la extremidad de un lóbulo se pueden usar grapadoras GIA, Endo GIA o TA, vasculares (grapas de 2,5 mm) o tisulares (3,5-3,6 mm).
- Selladores vasculares-tisulares (imágenes 10A-10D)
Una vez finalizada la pancreatectomía se debe cerrar el defecto creado en el mesoduodeno para evitar la herniación de otros órganos. Resulta factible reseccionar hasta un 75-90 % de tejido sin alterar las funciones endocrina ni exocrina, siempre y cuando se preserve la vascularización del tejido restante y el drenaje pancreático al intestino de ese tejido pancreático residual.12 Se ha descrito cierta capacidad regenerativa del páncreas.13 Mayor resección implica mayor morbilidad.
Imágenes 9A y 9B. Imágenes quirúrgicas de una pancreatectomía parcial del lóbulo izquierdo en un perro, por una lesión provocada por una mordedura, usando la técnica de “guillotina” (sutura/fractura) con el nudo de Miller modificado.
Imágenes 10A – 10D. Imágenes quirúrgicas durante una pancreatectomía parcial del lóbulo izquierdo en un gato, por una lesión provocada por una mordedura, usando un sellador vascular/tisular.
Pancreatectomía parcial mediante laparoscopia
El páncreas ha recibido poca atención durante la explosión laparoscópica, ya que su localización y su proximidad a los principales vasos mesentéricos hace que sea menos accesible. Además, el bajo número de procedimientos quirúrgicos del páncreas ha conducido a una lenta adaptación a las técnicas de mínima invasión.14
Estudios recientes sobre pancreatectomía parcial sugieren más investigaciones sobre el beneficio de la técnica mínimamente invasiva frente a laparotomía abierta, menos descrita en gatos que en perros debido a que el espacio de trabajo es menor y se requiere un instrumental más específico.15
Un beneficio adicional de la técnica laparoscópica para los pacientes oncológicos reside en que la rápida recuperación influye positivamente en la instauración precoz del tratamiento coadyuvante. En comparación, la cirugía mínimamente invasiva (CMI) ofrece mejor visualización, magnificación, reducción de la tasa de infección y disminución del dolor posoperatorio; ofrece una alternativa a las técnicas de pancreatectomía quirúrgica abierta en los perros, especialmente para tumores de pequeño tamaño localizados en el aspecto distal de los lóbulos pancreáticos (vídeo 1).16
Pancreatectomía total
Aunque técnicamente factible, rara vez se lleva a cabo por la alta mortalidad y morbilidad (desarrollo de diabetes mellitus e insuficiencia pancreática exocrina) asociadas.
Las adherencias, fibrosis y edema presentes en la enfermedad pancreática dificultan la resección sin la afectación de la vascularización duodenal en su porción oral, lo que implica en la mayoría de los casos la realización conjunta de colecistoenterostomía.18
No está indicada en pacientes con carcinoma pancreático, puesto que la mayoría de ellos son metastásicos en el momento del diagnóstico.
Pancreaticoduodenectomía
La resección en bloque del páncreas con parte del duodeno descendente (pancreaticoduodenectomía) se lleva a cabo en tumores localizados en el duodeno descendente o en el lóbulo derecho del páncreas con invasión de la vascularización duodenal/duodeno, y se considera un procedimiento paliativo en la mayoría de los casos.19
La disección comprende el páncreas, el duodeno descendente, el píloro, y la sutura del conducto biliar, con posterior colecistoenterostomía (asegurando el drenaje de bilis al intestino) con ligadura del colédoco y gastroenterostomía para asegurar la continuidad del sistema gastrointestinal. Esta triada de intervenciones (técnica Billroth II), conlleva una alta mortalidad y morbilidad junto con el desarrollo de insuficiencia pancreática exocrina y diabetes mellitus.
Si ambos conductos pancreáticos tienen que ser sacrificados, normalmente el resto del páncreas exocrino se atrofiará, pero la porción endocrina mantendrá su función. Por tanto, el paciente manifestará insuficiencia pancreática exocrina.20
En 2022, Cruciani et al. describieron por primera vez una pancreaticoduodenostomía izquierda realizada en un gato mediante ligadura de los conductos pancreáticos, tras la extirpación del lóbulo pancreático derecho y el cuerpo del páncreas.21
Morbilidad y mortalidad en cirugía pancreática
Cualquier manipulación del tejido pancreático va a producir, en mayor o menor medida, una pancreatitis aguda (infiltración de células inflamatorias, necrosis acinar y de la grasa peripancreática, microabscesos, trombosis, hemorragias, etc) y/o pancreatitis crónica (fibrosis asociada a los 7 días tras la cirugía), que se va a ver reflejada en criterios enzimáticos (p.ej. aumento TPLI) y clínicos (dolor abdominal, vómitos, etc.). Por tanto, el objetivo de la cirugía será conseguir que dicha condición sea subclínica.31
La mortalidad asociada a cirugía pancreática (pancreatectomía parcial o biopsia) es de baja a moderada, y el doble en gatos que en perros. El estudio más reciente en veterinaria describe una tasa de mortalidad global del 13,6 % en una muestra de 81 animales.32
Un factor esencial durante los cuidados posoperatorios es la alimentación temprana mediante sondas gastroyeyunales, yeyunales o alimentación parenteral.
La analgesia representa una parte fundamental del manejo; en la experiencia del autor, la instauración del catéter analgésico de bloqueo da muy buenos resultados.
Además, es importante el uso de antieméticos con efecto procinético para evitar un retraso en el vaciado gástrico y vómitos asociados al íleo secundario a la inflamación pancreática.33
Referencias:
Descargar

















































