Alberto Climent, Marta Granada, Leticia Dorado, Cristina González, Ana Whyte
Servicio de Odontología del Hospital Veterinario de la Universidad de Zaragoza
Imágenes cedidas por los autores
El estudio radiológico dental es un medio de diagnóstico imprescindible en odontología veterinaria, ya que no somos capaces de visualizar aproximadamente un 60 % del diente, sobre el que recaen patologías importantes.
De hecho, estudios realizados por Verstraete y cols. (1998), tanto en el perro como en el gato, determinan que en las evaluaciones radiológicas dentales se diagnostican lesiones clínicamente importantes (27 % en perros y 41 % en gatos) cuando no hay hallazgos clínicos presentes en el examen intraoral. Por su parte, en un estudio realizado en 147 gatos con periodontitis, Lomer (2001) halló que un 25,2 % tenían evidencia de pérdida periodontal más grave de lo esperado en la exploración física. Además, Moore (2014) en sus estudios en 42 gatos que habían sido sometidos a la extracción de los 4º premolares maxilares (108 y 208) y de los 1º molares mandibulares (309 y 409) encontraron que el 92,8 % de los casos presentaban fragmentos de puntas de raíz retenidas.
Aplicaciones del estudio radiológico dental
Sus aplicaciones son múltiples, ya que contribuye a la evaluación diagnóstica y permite aplicar tratamientos, prevenir complicaciones, realizar seguimientos terapéuticos y/o controles posquirúrgicos, evaluar la edad del paciente y obtener registros permanentes para la historia clínica del paciente y para futuras valoraciones. Además, ofrece un soporte visual para facilitar la comunicación y comprensión por parte del propietario del animal, de manera que se logra una mayor aceptación de los tratamientos y medidas profilácticas propuestas por parte del profesional.
Deberemos realizar radiografías intraorales cuando nos encontremos procesos tales como:
- Alteración en el número de dientes.
- Alteraciones de la morfología, coloración y aspecto dental.
- Fracturas dentales.
- Indicios o signos de enfermedad periodontal.
- Sospecha de fístulas dentarias.
- Lesión resortiva.
- Masas o tumores.
- Tratamientos odontológicos:
- Antes y después de las extracciones dentales.
- Tratamiento de periodoncia: regeneración tisular/ósea guiada.
- Tratamiento de endodoncia.
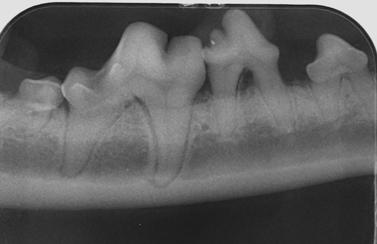
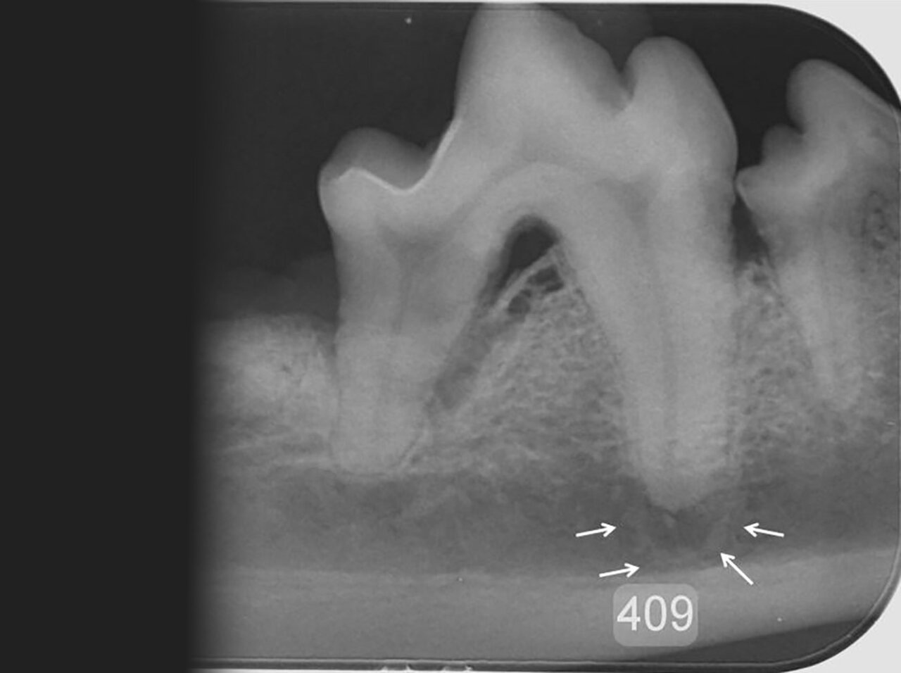
Uno de los aspectos importantes de la radiología es reconocer las estructuras del diente para detectar sus posibles alteraciones. En la imagen 1 se muestra una radiografía intraoral de un primer molar mandibular derecho (409) sano que nos permite ilustrar e identificar su aspecto radiológico. Así, el esmalte, la dentina y el hueso alveolar son radiopacas y la cámara y canal pulpar, así como el espacio del ligamento periodontal, son radiolúcidas.

Dentro de las estructuras anatómicas también podemos evaluar la maduración del canal pulpar, ya que este disminuye gradualmente con la edad por la formación continua de dentina secundaria. Así, por ejemplo, en el gato a los 6 meses su tamaño es de 0,56 mm, a los 12 meses de 0,27 mm, a los 32 meses de 0,18 mm y a los 5 años de 0,15 mm (Kyoungsun, 2014). Esto nos permite aproximarnos a la edad del paciente, como hemos mencionado anteriormente.
Realización de la radiografía
Además de conocer la anatomía radiológica, es importante contar con una buena técnica y equipos para la obtención de las radiografías.
Equipamiento
Los equipos específicos que necesitamos constan de un generador de RX periapical y un captador que puede ser un sensor digital directo, el cual proyecta la imagen directamente en un ordenador o un sistema digital indirecto mediante placas de fósforo que se procesan posteriormente en un escáner (CR) para su digitalización y visualización en el ordenador (imagen 2).

Técnicas radiográficas
En función de la relación diente/sensor podremos utilizar dos técnicas radiográficas diferentes:
- Técnica paralela: el captador se coloca paralelo al diente y el haz de rayos X se proyecta perpendicular al mismo (imagen 3). Esta colocación solo puede llevarse a cabo con los dientes premolares y molares de la mandíbula.
- Técnica en bisectriz: para evaluar el resto de los dientes. El captador se coloca lo más paralelo posible a la raíz del diente y, a continuación, se halla el ángulo entre la raíz del diente y el captador. Este ángulo se corta por la mitad (bisectriz) y el haz de rayos se dirige perpendicular a esta (imagen 4).
Colocación del paciente
Para la realización de las radiografías es imprescindible la sedación profunda o anestesia general del paciente, ya que requiere la colocación del sensor dentro de la boca.
En cuanto a la colocación del paciente, generalmente utilizamos tres posiciones:
- Decúbito lateral: premolares y molares mandibulares, que también se pueden radiografiar en decúbito esternal.
- Decúbito supino: incisivos y caninos mandibulares.
- Decúbito esternal: incisivos, caninos, premolares y molares maxilares.
Interpretación
Para la interpretación de una radiografía dental, previamente debemos valorar su calidad. Cualquier error en la posición, sobre o subexposición y la presencia de artefactos hará que la imagen obtenida no sea válida.
En cuanto a la posición de las radiografías para su interpretación, en la pantalla del ordenador las coronas deben orientarse hacia abajo en los dientes maxilares y hacia arriba en los mandibulares.
Debemos tener en cuenta que la radiografía nos da una visión bidimensional del objeto. Esto conlleva la aparición de artefactos que pueden llevarnos a error. Por ejemplo:
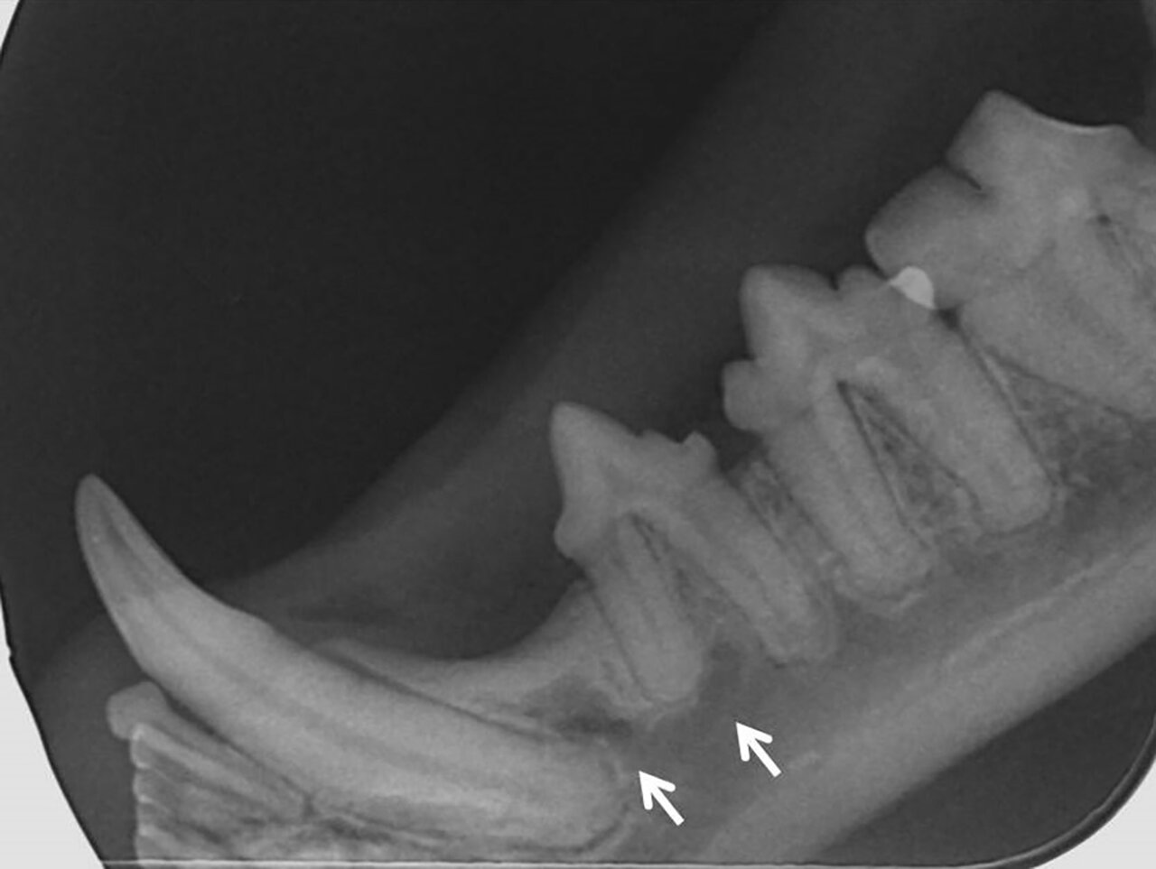
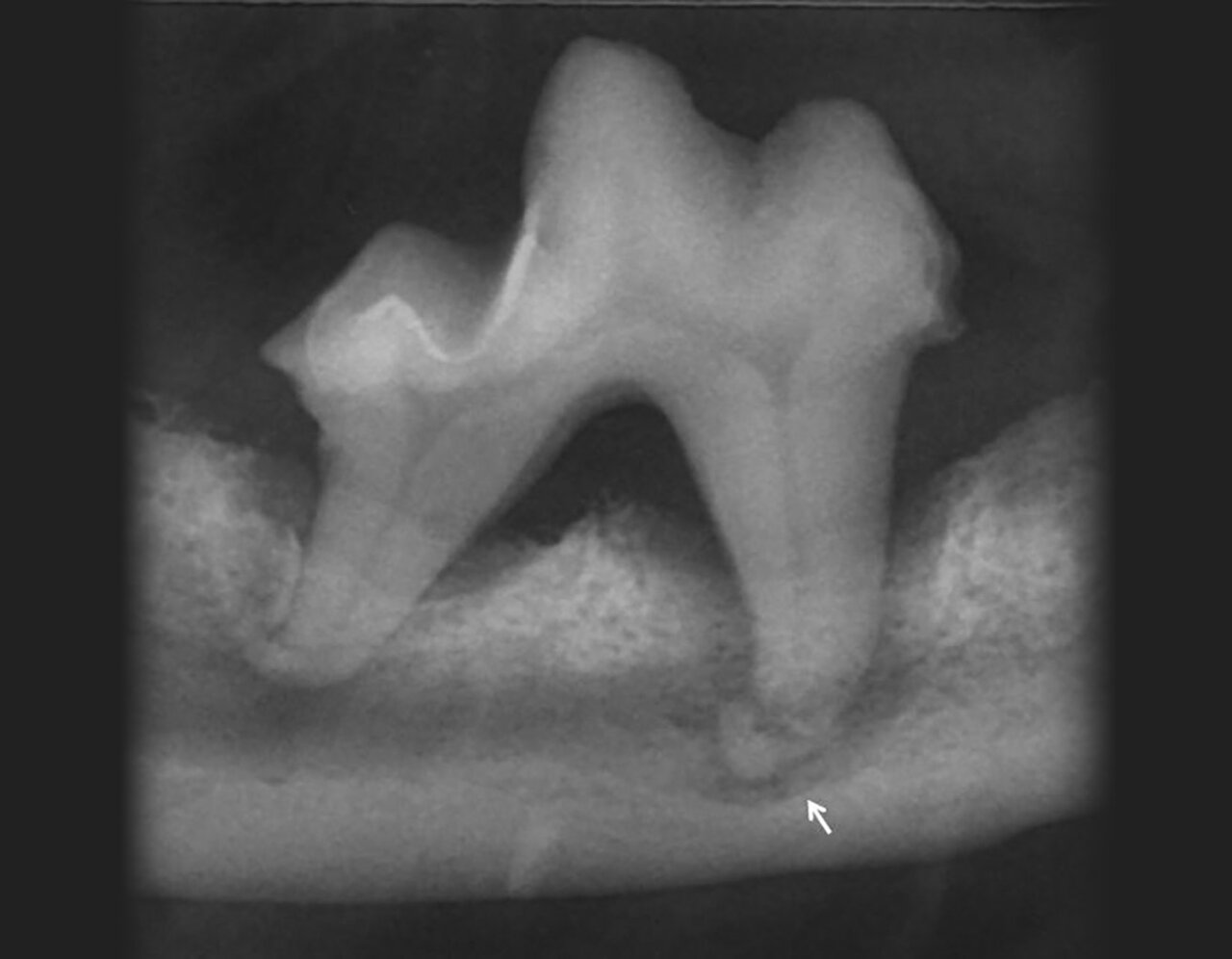
- La superposición del orificio mentoniano sobre la porción apical de la raíz en el canino mandibular de un perro produce una apariencia similar a la zona radiolúcida que aparece cuando existe patología periapical.
- En el gato, el foramen mentoniano se encuentra en el espacio interdental entre el diente canino y el tercer premolar mandibular o a nivel de este último (imagen 5).
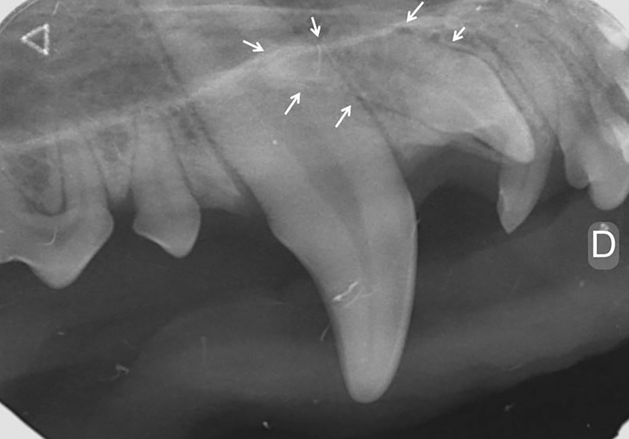
- Otra apariencia radiológica es el efecto chevron, que consiste en un área de radiolucidez, más frecuente en incisivos maxilares y dientes caninos en el perro, que radiológicamente se parece a lesiones de origen endodóntico. En este caso, la radiolucidez tiene una forma triangular y el espacio del ligamento periodontal no varía alrededor de la raíz (imagen 6).
Algunas indicaciones específicas de la radiología
Enfermedad periodontal (EP)
Para el diagnóstico de la EP, además de realizar un examen periodontal a través del sondaje debemos apoyarnos en la radiografía, ya que nos proporciona información acerca de la cantidad de pérdida ósea existente, así como del patrón que sigue esta pérdida (horizontal y/o vertical). En dientes multirradiculares, podemos servirnos de la furca para evaluar la pérdida de hueso, ya que aparecen áreas radiolúcidas bajo la bifurcación radicular a medida que se produce la destrucción ósea.
De acuerdo a esta pérdida del hueso alveolar detectada a nivel radiológico, clasificaremos la EP en cuatro grados:
- Grado 1 (PD1): sin pérdida ósea.
- Grado 2 (PD2): pérdida del soporte óseo menor al 25 % (imagen 7).
- Grado 3 (PD3): pérdida del soporte óseo de un 25-50 % (imagen 8).
- Grado 4 (PD4): pérdida del soporte óseo mayor de un 50 % (imagen 9).
Además de permitirnos evaluar el grado de enfermedad periodontal, también hace posible seleccionar el mejor tratamiento en función de su patología y las posibles complicaciones, como las fracturas mandibulares iatrogénicas en perros de talla pequeña con enfermedad periodontal PD4 (imágenes 10 y 11).
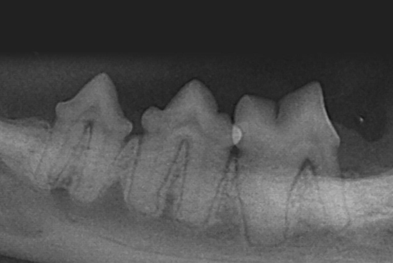
Caries
La caries es una desmineralización del diente como consecuencia de los ácidos producidos por la fermentación de los carbohidratos por parte de la placa bacteriana. Esta desmineralización y destrucción del esmalte y la dentina ocasionan pérdida de la densidad en la zona afectada del diente (imagen 12).

Aunque la caries puede afectar a cualquier diente, en la mayoría de las ocasiones, en los perros, aparece de forma más frecuente en la superficie oclusal de la cara distal del primer molar mandibular y del primer molar maxilar. Estos dientes son particularmente propensos a la caries debido a sus características anatómicas (presencia de fosas y surcos).
A nivel radiológico, la lesión se manifiesta como una imagen radiolúcida de bordes irregulares. La línea delimitante de la lesión dependerá de la etapa del proceso, en un principio se trata de una zona radiolúcida que se extiende desde la superficie dental del esmalte profundizando hacia la dentina y, una vez que la caries alcanza la dentina, la lesión se extiende rápidamente bajo el esmalte, convirtiéndose en mucho más grande de lo que sospechamos por inspección visual.
La profundidad de la lesión, su proximidad a la pulpa, así como las posibles lesiones periapicales, solo pueden valorarse mediante radiografía.
Lesión resortiva (LR)
La radiología es indispensable en esta enfermedad, ya que es la única manera de detectarla en la superficie de la raíz. Es una lesión muy común en gatos y que se caracteriza por la destrucción progresiva del tejido dentario por activación de los odontoclastos. Según Verstraete (1998) hay un 8,7 % de gatos con LR que no se diagnostican al no hacer radiografía.
El Colegio Dental Veterinario Americano (AVDC) las clasifica en cinco estadios según la gravedad y localización de la lesión, y en tres tipos según su apariencia radiológica:
- En relación con la apariencia radiológica, en el tipo 1 veremos radiolucidez focal o multifocal en el diente. El resto del diente no está afectado y el espacio del ligamento periodontal no presenta alteraciones.
- En el tipo 2 veremos un estrechamiento o desaparición del espacio del ligamento periodontal en algunas áreas y disminución de la radiopacidad de parte del diente.
- En el tipo 3 observaremos las apariencias y características de los tipos 1 y 2 en un mismo diente (imagen 13).
La apariencia radiológica es importante, ya que es decisiva para el tipo de tratamiento que debemos llevar a cabo: la extracción en el caso de tipo 1 y la amputación coronal en el tipo 2.

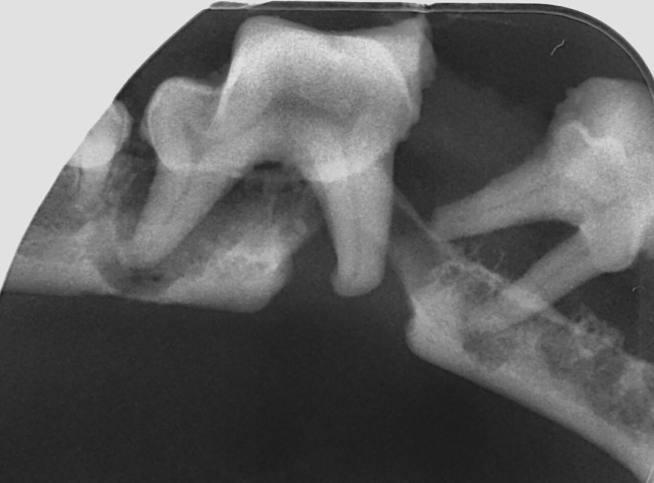
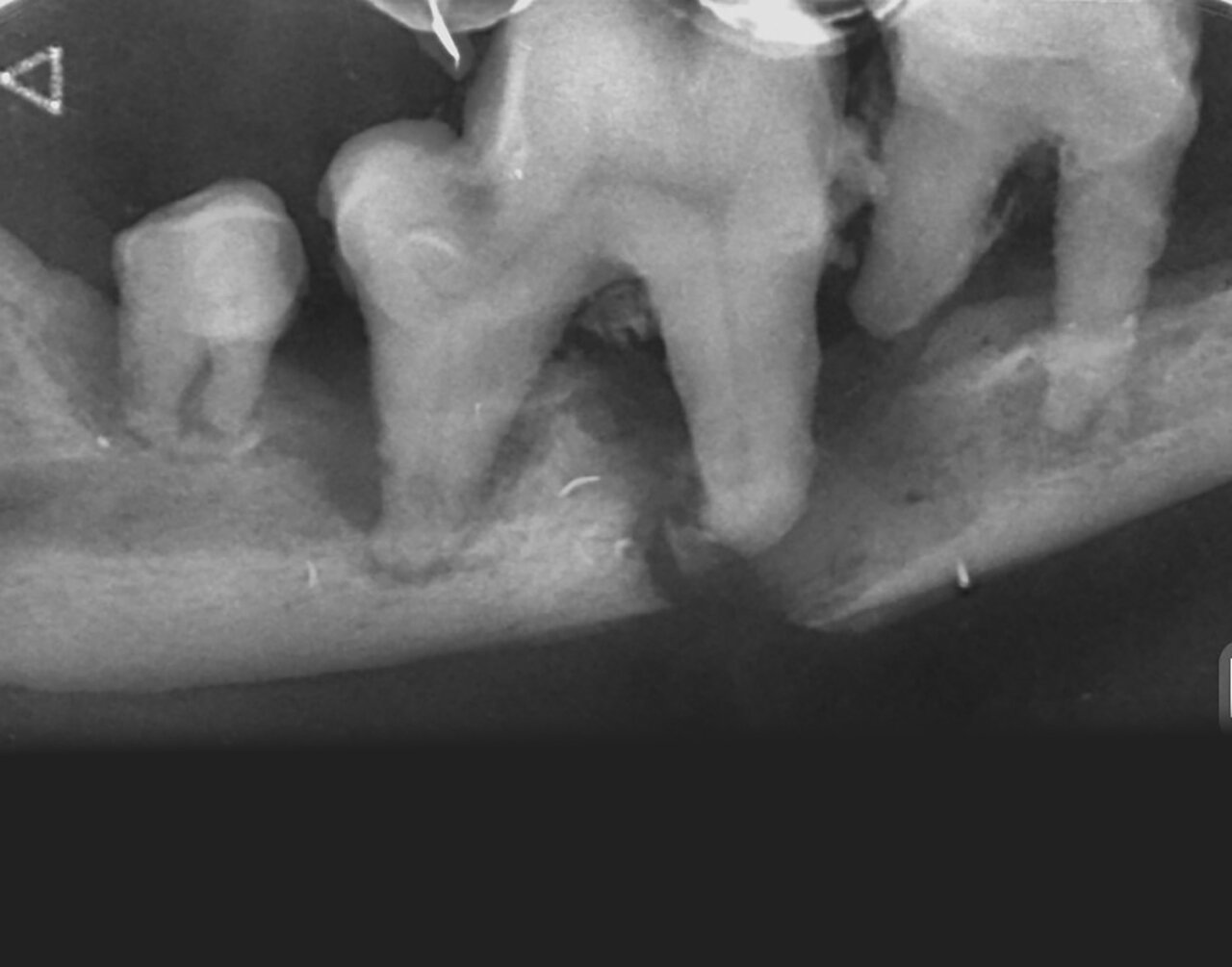
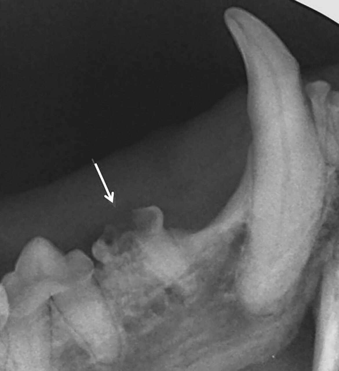
Alteración en el número y posición de los dientes
Ausencia dental
Cuando en una exploración visual de la boca observamos una ausencia dental debemos hacer una radiografía que nos indique la causa, que puede ser de origen genético o deberse a alteraciones sufridas durante las primeras etapas del desarrollo dental o a lo largo de la vida del animal.
A nivel radiológico nos podemos encontrar con varias situaciones:
- Ausencia del diente porque no se ha formado (agenesia).
- El diente no ha erupcionado por estar ectópico (fuera de su área anatómica).
- El diente está incluido o impactado (cuando no logra erupcionar o lo hace parcialmente por diferentes causas).
También puede ser debida a la pérdida dental (por EP, por ejemplo) o a fracturas de corona en las que quedan restos de estructuras dentales bajo la encía. Por tanto, dependiendo de ello, decidiremos el enfoque terapéutico que tomaremos en cada paciente con ausencia dental. (imágenes 14-17).
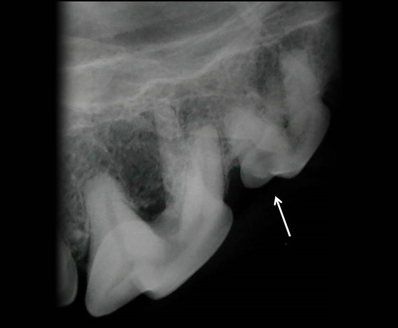
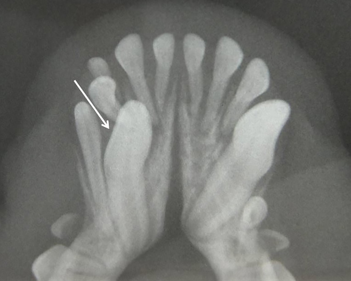
Aumento del número de dientes
La presencia de dientes supernumerarios también debe ser estudiada mediante la radiología intraoral. La causa principal es genética y la radiología nos permitirá valorar su naturaleza, si se trata de un diente definitivo o la falta de exfoliación de dientes deciduos (en caso de no tenerlo claro a la inspección visual). En este último caso, podremos valorar el estado de la raíz y su relación con el diente permanente, aspectos que debemos tener en cuenta a la hora de realizar su extracción (imágenes 18 y 19).
Las consecuencias pueden ser insignificantes en zonas de mínima intercuspidación, pero pueden ser causa de lesiones traumáticas o apiñamiento que disminuyan los mecanismos fisiológicos de autolimpieza.
Fracturas dentales
Las radiografías son esenciales en la detección y evaluación de las fracturas del hueso (alveolar, maxilar y mandibular) y del diente (tanto a nivel de la corona, para ver su relación con la pulpa, como de la raíz dental). Los dientes rotos o fracturados son un problema muy común en la práctica veterinaria.
El tratamiento, a menudo, depende de qué partes del diente estén afectadas, raíz y/o corona, y en el caso de esta última, de qué capa(s): esmalte, dentina y si hay exposición o no de la pulpa:
- Las fracturas que no afectan directamente el sistema del conducto radicular se denominan fracturas de corona no complicadas, aunque hay que tener en cuenta que la exposición de los túbulos dentinarios de la dentina puede actuar como vía de entrada de gérmenes y también originar las alteraciones endodónticas (imagen 20).
- Las fracturas que exponen el canal radicular se denominan fracturas complicadas y estos dientes con exposición directa de la pulpa deben tratarse mediante endodoncia o extracción (imágenes 21 y 22).
Cuando la fractura afecte a la raíz del diente este debe ser extraído (imagen 23).
Otras indicaciones
Además de estas cinco indicaciones anteriores, la radiología intraoral también es de gran utilidad en la medicina veterinaria en otros supuestos:
- Como parte del planteamiento quirúrgico previo a la realización de extracciones dentales, ya que nos permitirá detectar alteraciones no percibidas en la exploración visual directa, lo que hace posible una mejor planificación del abordaje del diente a exodonciar y reduce las complicaciones posquirúrgicas. También será de gran utilidad la obtención de imágenes posexodoncia que nos permitan evaluar que el procedimiento se ha realizado correctamente sin que existan restos de estructuras dentales que puedan dar lugar a complicaciones en el futuro (imagen 24).
- En los tratamientos conservadores, como la endodoncia, la radiografía se convierte en un instrumento esencial porque permite un diagnóstico preciso y una planificación adecuada del tratamiento y sirve como guía en los distintos pasos del procedimiento, asegurándonos un correcto sellado del diente (imagen 25).
- Cuando detectemos la presencia de fístulas dentarias, a fin de detectar cuál es el diente causante (imagen 26).
- Cuando detectemos la existencia de masas en la cavidad oral, ya que aportará información y detalle de su extensión y permitirá valorar localización de la lesión, la densidad radiológica, la forma y los márgenes de la lesión, la relación con estructuras importantes, la invasión de tejidos adyacentes o la pérdida de dientes, entre otros. En estos casos, el estudio radiológico deberá ir acompañado por un TAC que nos permita comprobar el tamaño y extensión de la tumoración, y su relación con estructuras anatómicas importantes (nervio dentario, fosas nasales, etc.). Todo ello será de gran ayuda para la cirugía. Para el diagnóstico definitivo, será necesario el estudio histopatológico (imágenes 27 y 28).
Bibliografía:
- Beyond The Crown Veterinary Education Mary L. Berg, RVT, VTS(Dentistry) http://www.aaha.org/wpcontent/uploads/globalassets/03-education/connexity/handouts/berg_dental-radiographs-for-technicians_in-session_1_-1001.pdf)
- Hale FA (1998). Dental Caries in the Dog. . Journal of Veterinary Dentistry. 15: 79–83.
- Kaan. O; Mehmet Ö, Cansu, K; Sevil, A.; Gürkan, G. (2019). Comparison of periapical radiography, panoramic, and cone-beam CT in the detection of dental caries in dog teeth. Ankara Universitesi Veteriner Fakkültesi Dergisi. 66: 379-384.
- Kyoungsun Park, Jaesang Ahn, Sunmee Kang, Euiri Lee, Soohyun Kim, Sangwan Park, Sungwon Park, Hyunwoo Noh, Kangmoon Seo (2014). Determining the age of cats by pulp cavity/tooth width ratio using dental radiography. Journal of Veterinary Scince. 15(4): 557-561
- Lomer, M.J. and Verstraete, F.J. (2001) Radiographic patterns of periodontitis in cats: 147 cases (1998-1999). Journal of the American Veterinary Medical Association. 15; 218(2): 230-4.
- Luotonen N, Kuntsi-Vaattovaara H, Sarkiala-Kessel E, Junnila JJT, Laitinen-Vapaavuori O, Verstraete FJM. (2014). Vital pulp therapy in dog: 190 cases (2001-2011). Journal of the American Veterinary Medical Association 244(4):449-459.
- Niemiec, B.; Gawor, J.; Jekl, V. (2018). Practical Veterinary Dental Radiography. Ed. Taylor & Francis Group
- Moore, J. I., and Niemiec, B. (2014). Evaluation of extraction sites for evidence of retained tooth roots and periapical pathology. Journal of the American Animal Hospital Association. 50 (2): 77–82.
- Ritchie C (2014). Class I restoration of maxillary first molar caries in a dog. Journal of Veterinary Dentistry. 31: 66–9.
- Tsugawa, A.J. and Verstraete, F.J. (2000). How to obtain and interpret periodontal radiographs in dog. Clinical Techniques in Small Animal Practice. 15 (4): 204-10
- Verstraete, F. J., Kass, P. H., & Terpak, C. H. (1998). Diagnostic value of full-mouth radiography in dogs. American Journal of Veterinary Research. 59(6): 686–691.
- Verstraete, F. J., Kass, P. H., & Terpak, C. H. (1998). Diagnostic value of full-mouth radiography in cats. American Journal of Veterinary Research. 59(6): 692-5.
- Whyte & San Román (2019). Odontología en el perro, gato y exóticos. Cp 4 Radiología de la cavidad oral Pp45-64. Ed Marban. Madrid
































