Ignacio Molina Angulo
Responsable del servicio de oncología del AniCura Estoril Hospital Veterinario (Madrid)
Imágenes cedidas por el autor
Aspectos generales
La electroquimioterapia es una modalidad terapéutica innovadora en oncología veterinaria que permite el tratamiento de tumores, principalmente cutáneos y subcutáneos, independientemente de su histología. El procedimiento consiste en la aplicación de un campo eléctrico sobre la superficie tumoral y los márgenes con una intensidad suficiente para inducir la formación transitoria de poros en la membrana celular (electroporación); de esta manera, se facilita la entrada de un agente quimioterápico —generalmente bleomicina o cisplatino— al interior de la célula, lo que desencadena su muerte.
La bleomicina, un antibiótico glicopéptido, es el agente citotóxico utilizado más frecuentemente en electroquimioterapia, y la vía endovenosa es la más común para su administración (imagen 1). Debido a su elevado peso molecular, la bleomicina presenta una limitada capacidad de penetración en las células tumorales; sin embargo, la electroporación facilita su entrada en el interior celular, ya que aumenta su permeabilidad entre 700 y 1.000 veces. La bleomicina debe estar presente en el líquido intersticial en el momento de la electroporación; por lo tanto, se recomienda su administración aproximadamente 5 a 10 minutos antes de iniciar el procedimiento. La dosis utilizada más comúnmente es de 15.000 UI/m2. En algunos casos, la bleomicina también puede administrarse por vía intralesional, al igual que el cisplatino. También se ha utilizado el carboplatino, tanto por vía endovenosa como intralesional.
En el mercado existen diversos electroporadores, junto con una amplia variedad de electrodos —desechables o reutilizables— diseñados para el tratamiento de distintos tipos tumorales en diversas regiones anatómicas (electrodos de agujas, de placas o nasales, entre otros) (imagen 2). El procedimiento debe realizarse siempre bajo anestesia general, debido al dolor intenso que provoca, y debe complementarse posteriormente con un manejo analgésico adecuado, adaptado a las necesidades del paciente.
Durante la evolución habitual del procedimiento, se observa una intensa respuesta inflamatoria local en los primeros días tras el tratamiento. Posteriormente, se inicia una reducción progresiva del volumen tumoral, que alcanza su punto máximo entre la cuarta y sexta semana tras la aplicación de la electroquimioterapia. En el caso de las lesiones benignas o de bajo grado de malignidad, es posible que no se evidencie una disminución en el tamaño tumoral, dado que, si las células no se encuentran en fase de replicación activa, la masa tumoral puede permanecer estable.
Indicaciones
La selección adecuada del paciente es un aspecto fundamental al recomendar la electroquimioterapia.
Esta técnica puede emplearse en diversas situaciones clínicas, entre las cuales se incluyen:
- Como tratamiento único, cuando no exista una opción terapéutica más eficaz o esta haya sido rechazada por el tutor del paciente.
- Como tratamiento intraoperatorio, en casos donde se prevea un margen quirúrgico estrecho o incompleto.
- Como tratamiento neoadyuvante, con el objetivo de reducir el volumen tumoral y permitir posteriormente una intervención quirúrgica con mayor probabilidad de obtener márgenes libres de neoplasia (imágenes 3 y 4).
- Como tratamiento adyuvante en cicatrices quirúrgicas, cuando el análisis histopatológico confirme una resección incompleta (imagen 5).
- Como tratamiento paliativo, orientado a mejorar la calidad de vida del paciente en casos en los que no exista otra alternativa terapéutica o las previamente empleadas hayan fracasado.
Tumores cutáneos y subcutáneos
Los tumores cutáneos y subcutáneos constituyen las indicaciones más frecuentes para la aplicación de la electroquimioterapia.
Tumores faciales, del plano nasal, pabellón auricular, párpados y labios
Las neoplasias de la regiones facial y nasal son frecuentes en animales de compañía. Estas lesiones, que por lo general presentan un comportamiento localmente agresivo, suelen requerir procedimientos quirúrgicos complejos, los cuales, en algunos casos, implican técnicas de reconstrucción para lograr márgenes quirúrgicos adecuados. La radioterapia, ya sea como tratamiento único o en combinación con la cirugía, también se emplea habitualmente en el manejo de este tipo de neoplasias; sin embargo, su uso puede verse limitado por la escasa disponibilidad en el país y por su elevado coste, lo que impide su aplicación en numerosos casos. En este contexto, la electroquimioterapia puede representar una alternativa terapéutica eficaz para el tratamiento de estas neoplasias, especialmente en aquellos casos de pequeño tamaño y sin afectación ósea, previo estadiaje del proceso tumoral.
El carcinoma de células escamosas (CCE) es la neoplasia más frecuente en estas localizaciones, especialmente en los gatos, sobre todo en aquellos de pelaje blanco o claro, debido a la exposición crónica a la luz ultravioleta, considerada uno de los principales agentes ambientales implicados en su desarrollo. Estos tumores suelen localizarse en áreas con escasa cobertura pilosa, como los pabellones auriculares, los párpados, el plano nasal y las regiones temporales.
Dado su comportamiento predominantemente invasivo y la baja tasa de metástasis asociada (menos del 10 % de los gatos presentan diseminación a ganglios linfáticos regionales), el CCE en estas localizaciones representa un candidato idóneo para la aplicación de terapias locales, como la electroquimioterapia. En esta especie, se han documentado tasas de respuesta objetiva en el 80–90 % de los casos tratados, con respuestas completas observadas en aproximadamente el 70 % de los animales (imágenes 6 y 7). Los intervalos libres de enfermedad se sitúan, en promedio, entre 210 y 240 días. No obstante, estos resultados se encuentran influenciados significativamente por el estadio clínico del tumor en el momento del diagnóstico y el tratamiento.
Para el tratamiento de este tipo de neoplasias, se emplean habitualmente electrodos de agujas, generalmente de pequeño calibre, lo que permite una recuperación más rápida y se asocia con una menor incidencia de efectos adversos posoperatorios.
En contraste, los CCE en el plano nasal de los perros presentan un comportamiento marcadamente infiltrativo, lo que se traduce en una menor eficacia del tratamiento con electroquimioterapia, salvo en estadios clínicos muy iniciales, en los que pueden observarse respuestas terapéuticas más favorables (imagen 8).

Los CCE del pabellón auricular en gatos son comúnmente tratados mediante cirugía, que constituye el abordaje terapéutico de elección. No obstante, en aquellos casos en los que se opta por un tratamiento conservador —ya sea por limitaciones clínicas, anatómicas o por elección del tutor—, la electroquimioterapia representa una alternativa eficaz, con resultados satisfactorios en términos de control local del tumor.
De manera similar, CCE localizados en la región palpebral y en los labios también pueden ser tratados mediante electroquimioterapia, siempre que se valoren adecuadamente las características del tumor y su extensión local. En estos casos, resulta fundamental proteger la córnea durante el procedimiento, a fin de evitar lesiones iatrogénicas causadas por las agujas de los electrodos (imágenes 9 y 10). Asimismo, otras neoplasias de distinta etiología —como mastocitomas, carcinomas de otros tipos o tumores mesenquimales— pueden presentarse en estas localizaciones, donde la electroquimioterapia puede considerarse una alternativa terapéutica viable, especialmente cuando las opciones quirúrgicas están limitadas (imágenes 11 y 12).
Plasmocitomas
Los plasmocitomas extramedulares se localizan frecuentemente en la piel y en la cavidad oral.
La cirugía constituye el tratamiento de elección para estas neoplasias, y está asociada a resultados clínicos excelentes. No obstante, en casos donde la intervención quirúrgica presenta alta complejidad técnica o es rechazada por el tutor, la electroquimioterapia ha demostrado, en general, una eficacia notable, logrando remisiones completas en la mayoría de los pacientes tratados (imágenes 13 y 14).
Mastocitomas
Los mastocitomas, independientemente de su grado histológico, deben ser circunscritos y focalizados para ser candidatos al tratamiento con electroquimioterapia, cuyo uso debe evitarse en tumores con comportamiento difuso. Para optimizar la eficacia terapéutica, esta modalidad suele combinarse con otras estrategias, especialmente la cirugía, particularmente en aquellos casos en los que no es posible lograr márgenes quirúrgicos óptimos.
Se recomienda tratar tumores de tamaño inferior a 3 cm, aplicando una técnica concéntrica que abarca desde la periferia hacia el centro de la lesión. Esta estrategia permite minimizar la liberación de sustancias vasoactivas a la circulación sistémica, debido a la vasoconstricción inducida por la electroquimioterapia (imagen 15).

Sarcomas de tejidos blandos
Los sarcomas de tejidos blandos constituyen un grupo heterogéneo de tumores malignos caracterizados por su notable capacidad de invasión local.
El manejo terapéutico de estos tumores exige un enfoque multidisciplinario, y la cirugía con márgenes adecuados es el tratamiento de elección. Asimismo, la radioterapia ha demostrado ser una herramienta eficaz como tratamiento complementario, ya que contribuye a mejorar el control local de la enfermedad y a reducir el riesgo de recurrencia. En casos en los que no es posible realizar una resección quirúrgica completa o cuando la radioterapia no está disponible, la electroquimioterapia intraoperatoria se presenta como una alternativa prometedora para el control local de la enfermedad (imagen 16).

Sarcomas asociados al punto de inyección
Los sarcomas asociados al punto de inyección (SAPI) representan un desafío considerable para el oncólogo debido a su agresivo comportamiento biológico. Estos tumores se caracterizan por una alta capacidad de invasión local y una significativa potencialidad metastásica, factores que complican su manejo clínico y afectan a su pronóstico. El abordaje terapéutico requiere una planificación multidisciplinaria cuidadosa para optimizar el control local y sistémico de la enfermedad.
El tratamiento de elección para los SAPI es la cirugía, que debe realizarse tras una correcta estadificación y planificación preoperatoria. Dentro de las herramientas diagnósticas recomendadas para este proceso se incluye, en la medida de lo posible, la tomografía computarizada (TC), que permite evaluar la extensión tumoral y las estructuras adyacentes. La resección quirúrgica debe realizarse con márgenes amplios, idealmente de al menos 3 cm en todos los planos laterales, e incluir uno o dos planos de profundidad, con el fin de asegurar la extirpación completa del tumor y minimizar el riesgo de recurrencia local.
En los casos en los que no es posible obtener márgenes quirúrgicos adecuados, la radioterapia desempeña un papel fundamental en el control local de la enfermedad. Sin embargo, cuando la radioterapia no está disponible o cuando el coste del tratamiento representa una limitación para el tutor, la electroquimioterapia intraoperatoria se presenta como una alternativa terapéutica eficaz en muchos casos para el control local (imagen 17).

Tumores de la cavidad oral
Los tumores de la cavidad oral constituyen aproximadamente el 6–7 % de todas las neoplasias en perros y cerca del 3 % en gatos. En la especie canina, los tipos tumorales más prevalentes son el melanoma maligno, el CCE y el fibrosarcoma. En contraste, en la especie felina, el CCE representa la neoplasia oral más frecuente.
Estas neoplasias se caracterizan por un elevado grado de infiltración local, lo que condiciona un enfoque terapéutico agresivo. La cirugía y la radioterapia son consideradas las modalidades terapéuticas de elección para el control local. No obstante, en situaciones donde la intervención quirúrgica no es viable —ya sea por decisión del tutor o por limitaciones clínicas—, y cuando el acceso a la radioterapia es restringido o inexistente, la electroquimioterapia puede representar una alternativa útil para el control local del tumor (imágenes 18, 19 y 20).
El estadio clínico y una adecuada planificación terapéutica son aspectos fundamentales para el manejo óptimo de los tumores orales. En este contexto, la TC se considera una herramienta diagnóstica indispensable, ya que permite evaluar con precisión el grado de invasión tumoral y estimar la probabilidad de respuesta al tratamiento.
En un estudio retrospectivo que incluyó 67 casos de melanoma oral en perros, la ausencia de invasión ósea se identificó como un factor pronóstico favorable, asociado con un incremento en el tiempo libre de progresión. Además, el estadio clínico mostró una correlación directa con la tasa de respuesta al tratamiento. En dicho estudio, se reportó una respuesta objetiva del 95,3 % en pacientes con melanomas en estadios I y II, en contraste con una tasa del 51,4 % en aquellos con estadios más avanzados.
En otro estudio, centrado en el tratamiento del CCE oral no tonsilar, se observó una tasa de respuesta global del 90,3 %, con un 72 % de respuestas completas y un 18,2 % de respuestas parciales. Los resultados indicaron que los tumores con un diámetro inferior a 2 cm presentaron una mejor tasa de respuesta terapéutica, lo que sugiere que el tamaño tumoral constituye un factor pronóstico relevante en esta neoplasia (imágenes 21 y 22).
La electroquimioterapia puede emplearse como tratamiento primario en neoplasias orales de pequeño tamaño que no presentan evidencia de invasión ósea. No obstante, el tratamiento de lesiones localizadas en regiones más caudales de la cavidad oral suele ser técnicamente más complejo, y en aquellos casos en los que el tumor se encuentra cerca de piezas dentales, puede ser necesaria la extracción de estas para permitir una adecuada aplicación del tratamiento. Debe tenerse particular precaución en el manejo de tumores localizados en la lengua o en la región sublingual, debido al elevado riesgo de necrosis tisular y al posible fracaso terapéutico, aspectos que deben ser claramente comunicados a los tutores de los pacientes.
Además, la electroquimioterapia puede ser utilizada con fines paliativos, especialmente en el control del sangrado asociado a tumores orales avanzados. Asimismo, su aplicación en combinación con cirugía se ha explorado como estrategia terapéutica en tumores de gran tamaño, con comportamiento infiltrativo y compromiso óseo, en los que contribuye al control local de la enfermedad.
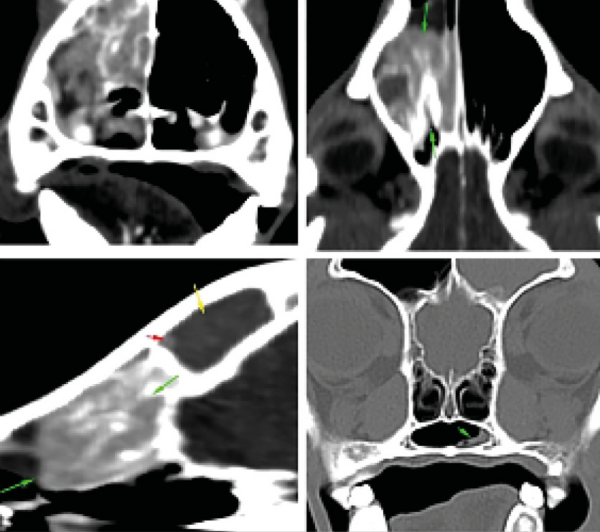
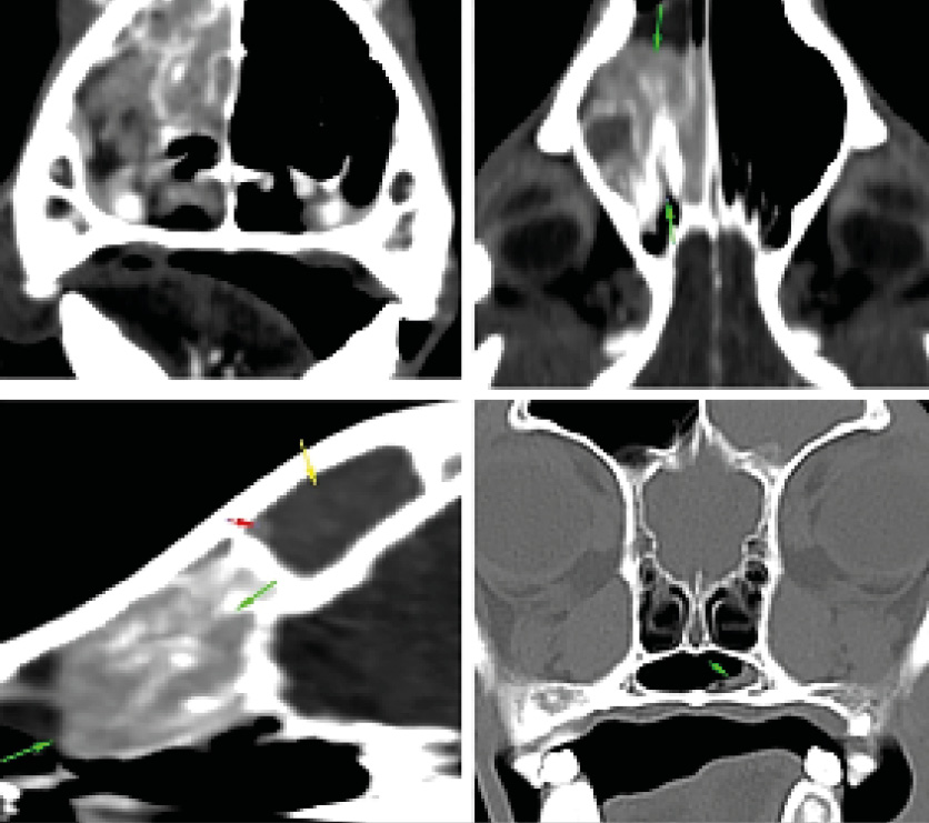
Tumores de la cavidad nasal
Los tumores nasales representan aproximadamente el 1 % del total de las neoplasias en la especie canina, y el adenocarcinoma es el tipo más prevalente en esta localización. La TC es una herramienta diagnóstica fundamental para la estadificación clínica y la planificación del tratamiento (imagen 23). En este contexto, la radioterapia de megavoltaje se considera la modalidad terapéutica de elección para el manejo de estos tumores.

La electroquimioterapia se presenta como una alternativa terapéutica a la radioterapia para el tratamiento de tumores localizados en la región rostral de la cavidad nasal, siempre que no exista invasión retroorbitaria ni compromiso de la lámina cribiforme o de la nasofaringe. Bajo estos criterios de selección, se han reportado tasas de respuesta objetiva del 91 %, con una mediana de supervivencia de 13,6 meses.
Para la aplicación de la electroquimioterapia en tumores nasales, es necesario el uso de electrodos diseñados específicamente para la cavidad nasal. Se recomienda el tratamiento de ambas cavidades nasales, incluso cuando la afectación se limita a un solo lado, con el fin de maximizar el control local. En tumores localizados en regiones más caudales de la cavidad nasal, la electroquimioterapia puede combinarse con cirugía mediante la realización de una rinotomía dorsal, lo que permite la aplicación directa del tratamiento sobre el lecho tumoral (imágenes 24 y 25).
Adenomas y adenocarcinomas perianales
La electroquimioterapia puede emplearse como tratamiento complementario en tumores resecados de forma incompleta, con el objetivo de mejorar el control local de la enfermedad. Asimismo, se considera una opción terapéutica en tumores que comprometen más del 50 % del esfínter anal, situación en la que el riesgo de incontinencia fecal asociado a una resección amplia es elevado. En estos casos, los agentes quimioterapéuticos utilizados —bleomicina o cisplatino— se administran por vía intralesional.
El tamaño tumoral se considera el principal factor que influye en la eficacia de la electroquimioterapia. Se recomienda su uso como tratamiento único en tumores con un volumen inferior a 3 cm3, ya que en estos casos se han observado mejores tasas de respuesta y control local de la enfermedad (imagen 26).

Otros tumores
También puede recurrirse a la electroquimioterapia para tratar carcinomas apocrinos de sacos anales, tumores de vejiga y pacientes exóticos (imagen 27).

Bibliografía:
- Adams WM, Kleiter MM, Thrall DE, Klauer JM, Forrest LJ, La Due TA, Havighurst TC. Prognostic significance of tumor histology and computed tomographic staging for radiation treatment response of canine nasal tumors. Vet Radiol Ultrasound. 2009 May-Jun;50(3):330-5. doi: 10.1111/j.1740-8261.2009.01545.x. PMID: 19507402.
- Diop N, Sayag D, Marques GB, Chamel G, Chavalle T, Eon JB, Floch F, Lajoinie M, Ponce F, Barrett LE. Comparison of Three Chemotherapy Protocols With Electrochemotherapy for the Treatment of Feline Cutaneous Squamous Cell Carcinoma. Vet Comp Oncol. 2024 Sep;22(3):437-446. doi: 10.1111/vco.12995. Epub 2024 Jul 15. PMID: 39007448.
- Ferrer-Jorda E, Rodríguez-Pizà I. Description of outcome and adverse events in 21 cats with locally advanced nasal planum squamous cell carcinoma treated with electrochemotherapy. J Feline Med Surg. 2024 Jul;26(7):1098612X241248043. doi: 10.1177/1098612X241248043. PMID: 39073984; PMCID: PMC11292942.
- Lowe R, Gavazza A, Impellizeri JA, Soden DM, Lubas G. The treatment of canine mast cell tumours with electrochemotherapy with or without surgical excision. Vet Comp Oncol. 2017 Sep;15(3):775-784. doi: 10.1111/vco.12217. Epub 2016 Mar 22. PMID: 27001443.
- Lowe R, Gavazza A, Impellizeri JA, Soden DM, Lubas G. The treatment of canine mast cell tumours with electrochemotherapy with or without surgical excision. Vet Comp Oncol. 2017 Sep;15(3):775-784. doi: 10.1111/vco.12217. Epub 2016 Mar 22. PMID: 27001443.
- Maglietti F, Tellado M, Olaiz N, Michinski S, Marshall G. Minimally Invasive Electrochemotherapy Procedure for Treating Nasal Duct Tumors in Dogs using a Single Needle Electrode. Radiol Oncol. 2017 Nov 1;51(4):422-430. doi: 10.1515/raon-2017-0043. PMID: 29333121; PMCID: PMC5765319.
- Santos Dos Anjos D, Rossi YA, Sierra OR, Bueno CM, De Nardi AB, Fonseca-Alves CE. Outcome Following Curative-Intent Electrochemotherapy for Extramedullary Plasmocytoma in Dogs – Case Reports. Top Companion Anim Med. 2020 Aug;40:100441. doi: 10.1016/j.tcam.2020.100441. Epub 2020 May 18. PMID: 32690286.
- Simčič P, Lowe R, Granziera V, Pierini A, Torrigiani F, Lubas G. Electrochemotherapy in treatment of canine oral non-tonsillar squamous cell carcinoma. A case series report. Vet Comp Oncol. 2020 Sep;18(3):428-432. doi: 10.1111/vco.12530. Epub 2019 Aug 27. PMID: 31419028.
- Simčič P, Pierini A, Lubas G, Lowe R, Granziera V, Tornago R, Valentini F, Alterio G, Cochi M, Rangel MMM, de Oliveira KD, Ostrand Freytag J, Quadros PG, Sponza E, Gattino F, Impellizeri JA, Torrigiani F. A Retrospective Multicentric Study of Electrochemotherapy in the Treatment of Feline Nasal Planum Squamous Cell Carcinoma. Vet Sci. 2021 Mar 22;8(3):53. doi: 10.3390/vetsci8030053. PMID: 33809822; PMCID: PMC8004260.
- Spugnini EP, Vincenzi B, Citro G, Tonini G, Dotsinsky I, Mudrov N, Baldi A. Electrochemotherapy for the treatment of squamous cell carcinoma in cats: a preliminary report. Vet J. 2009 Jan;179(1):117-20. doi: 10.1016/j.tvjl.2007.08.011. Epub 2007 Sep 29. PMID: 17904882.
- Suzuki DOH, Berkenbrock JA, de Oliveira KD, Freytag JO, Rangel MMM. Novel application for electrochemotherapy: Immersion of nasal cavity in dog. Artif Organs. 2017 Aug;41(8):767-773. doi: 10.1111/aor.12858. Epub 2016 Dec 27. PMID: 28028827.
- Tellado M, Mir LM, Maglietti F. Veterinary Guidelines for Electrochemotherapy of Superficial Tumors. Front Vet Sci. 2022 Jul 27;9:868989. doi: 10.3389/fvets.2022.868989. PMID: 35968026; PMCID: PMC9363792.
- Tellado M., Maglietti F. Manual de electroquimioterapia en oncología veterinaria. Multimédica ediciones veterinarias. 2022.
- Tellado M., Portillo F., Guillen V., Diaz M., Sabella T., Impellizeri, J.J., and Maglietti F. Feline Injection-Site Sarcoma Treated with Surgery, Orthovoltage Radiotherapy, and Electrochemotherapy. A Retrospective Series of 72 Cases. BIOELECTRICITY Volume 00, Number 00, 2025 ª Mary Ann Liebert, Inc. DOI: 10.1089/bioe.2025.0004.
- Tellado MN, Maglietti FH, Michinski SD, Marshall GR, Signori E. Electrochemotherapy in treatment of canine oral malignant melanoma and factors influencing treatment outcome. Radiol Oncol. 2020 Mar 7;54(1):68-78. doi: 10.2478/raon-2020-0014. PMID: 32187017; PMCID: PMC7087426
- Tozon N, Kodre V, Sersa G, Cemazar M. Effective treatment of perianal tumors in dogs with electrochemotherapy. Anticancer Res. 2005 Mar-Apr;25(2A):839-45. PMID: 15868917.


























