Beatriz Mena Moros1,2, Lara Montalvá Minguet2, Emma Martins1,2, Maria Descalzo Navarro1,2
1Departamento de medicina y cirugía Animal Universidad CEU UCH.
2Hospital Clínico Veterinario CEU.
Imágenes cedidas por las autoras
Las glándulas adrenales son componentes esenciales del sistema endocrino tanto en perros como en gatos, ya que desempeñan un papel fundamental en la producción y regulación hormonal. Su correcta función es indispensable para el equilibrio homeostático del organismo, especialmente en lo que respecta a la respuesta al estrés, el control de líquidos y electrolitos, y la regulación del sistema nervioso simpático.
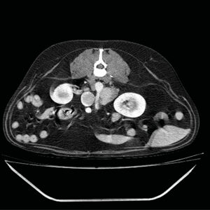
Tanto en perros como en gatos, las glándulas adrenales se localizan en el extremo craneal de cada riñón (imagen 1) y presentan una forma que varía de alargada a redondeada. Están compuestas por dos regiones funcionalmente distintas: una corteza externa y una médula interna1,2.
Imagen 1. Imagen explicativa de la relación anatómica de las glándulas adrenales con la vasculatura y otras estructuras circundantes (A y B). Efecto masa producido por el aumento de tamaño adrenal observado en: vista lateral (C) y ventro-dorsal con afección de glándula adrenal izquierda (D) y derecha (E), respectivamente.
En gatos, las dimensiones adrenales varían según el peso corporal3. En perros, la glándula adrenal izquierda suele ser más larga que la derecha en perros jóvenes, adultos y geriátricos. En cuanto al ancho, se ha observado que las hembras geriátricas presentan una mayor media que los machos4. El volumen adrenal muestra una correlación positiva con el peso corporal y la edad5,6.
La corteza adrenal sintetiza y libera hormonas esteroides como el cortisol, la aldosterona y las hormonas sexuales, mientras que la médula produce catecolaminas, principalmente adrenalina y noradrenalina1,2,7. Estas hormonas cumplen funciones esenciales, como la regulación del equilibrio hidroelectrolítico, la respuesta fisiológica al estrés y la activación del sistema nervioso simpático8,9.
Entre las patologías más frecuentes (tabla 1) se encuentran las alteraciones de secreciones hormonales y los procesos tumorales, que incluyen: adenomas, adenocarcinomas y feocromocitomas9,10. Las técnicas de diagnóstico por imagen, tales como radiografía, ecografía y técnicas avanzadas, junto con las laboratoriales, son herramientas clave para el diagnóstico de estas alteraciones8,11-13.
| Tabla 1. Resumen comparativo de hallazgos de diagnóstico por imagen en patologías adrenales. | ||||
| Patología | Radiografía | Ecografía | Tomografía (TC) | Resonancia magnética (RM) |
| Normal | No visibles | Hipoecogénicas, bien delimitadas, forma y tamaño normales | Atenuación uniforme, sin realce anómalo | T1 isointensas estructuras adyacentes; T2 insointensa corteza renal e hiperintensas con hígado y músculo |
| Hiperadrenocorticismo (Cushing) | Puede haber efecto masa si hay tumor | Aumento simétrico (origen hipofisario) o masa unilateral (origen adrenal) | Masa única o aumento bilateral | Hiperintensidad de médula, posible masa con realce tras contraste |
| Hipoadrenocorticismo (Addison) | Normal (no visible) | Adelgazamiento adrenal (<3,2 mm en perros) | Glándulas pequeñas, difícil de evaluar sin contraste | Disminución de tamaño e intensidad, escaso realce poscontraste |
| Hiperaldosteronismo (en gatos) | Masa grande puede causar efecto masa | Masa unilateral, la otra glándula puede estar normal o no visible | Tumor adrenal con posible invasión | Identificación de masa, evaluación de extensión |
| Neoplasias (adenoma, carcinoma, feocromocitoma) | Efecto masa, desplazamientos renales/int. | Pérdida de morfología normal, márgenes irregulares, heterogeneidad, >2 cm criterio malignidad, posible invasión vascular. | Evaluación de trombos y metástasis. Útil plan quirúrgico. | Alta sensibilidad para necrosis, hemorragia, trombos |
| Hiperplasia adrenal | No visible | Agrandamiento bilateral (difuso) | Uniforme, no invasiva | Difícil de distinguir sin contraste |
En las secciones siguientes se abordarán de manera detallada las principales modalidades de diagnóstico por imagen utilizadas en la evaluación de las patologías adrenales.
Radiología
La radiología es una técnica de imagen básica, accesible y ampliamente utilizada en la práctica clínica. En líneas generales, todo estudio radiográfico debe incluir al menos dos proyecciones ortogonales para obtener una calidad diagnóstica correcta. No obstante, esta modalidad presenta limitaciones significativas en la evaluación del tejido blando, especialmente en el caso de las glándulas adrenales14.
Estas glándulas, de pequeño tamaño y localizadas en el espacio retroperitoneal, se encuentran rodeadas por múltiples estructuras abdominales que generan superposición de tejidos, lo que dificulta su visualización directa. En condiciones normales, las glándulas adrenales no son visibles en radiografías simples15.
Su detección será posible cuando existen cambios patológicos significativos, como un aumento considerable de tamaño. En estos casos, los signos radiográficos detectados derivarán del efecto masa producido:
- Vista lateral: desplazamiento caudal del riñón ipsilateral, así como del intestino delgado y grueso.
- Vista ventro-dorsal: desplazamiento caudo-lateral del polo craneal del riñón ipsilateral, lo que conlleva una rotación medial de su eje longitudinal.
Otro hallazgo frecuente en estudios radiológicos es la presencia de mineralizaciones glandulares, que se manifiestan como áreas radiopacas bien definidas dentro del espacio retroperitoneal. Este tipo de hallazgo suele ser incidental en gatos, mientras que en perros puede estar asociado a procesos neoplásicos16.
Ecografía
La ecografía es una técnica de imagen altamente útil para la evaluación de las glándulas adrenales debido a su fácil acceso, rapidez, carácter no invasivo y coste. Hoy en día, aunque supone un desafío técnico, se considera que el estudio de las glándulas adrenales forma parte del examen abdominal completo de perros y gatos.
Las glándulas adrenales normales son hipoecogénicas respecto a la grasa adyacente y aparecen bien definidas. La diferenciación entre corteza y médula es un signo de normalidad.
Perros
En perros, la adrenal izquierda es alargada y bilobulada, mientras que la adrenal derecha tiene forma más compleja. Las alteraciones de tamaño, ecogenicidad, forma, presencia de nódulos e invasión vascular son hallazgos que nos pueden ayudar en el diagnóstico de patologías adrenales. No obstante, aunque la ecografía puede aportar datos útiles, no puede usarse como único método de diagnóstico y es necesario recurrir a pruebas laboratoriales y de histopatología para abordar las diferentes afecciones adrenales17.
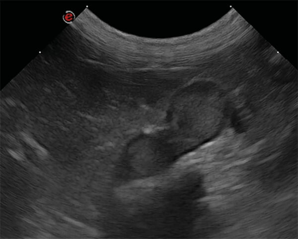
A nivel ecográfico, en perros que padecen hiperadrenocorticismo (síndrome de Cushing) generalmente se observa un aumento de tamaño de las glándulas adrenales. Este incremento es simétrico en caso de hiperadrenocorticismo de origen hipofisiario, mientras que los perros con hiperadrenocorticismo adrenal presentan una masa adrenal unilateral (imagen 2) y la glándula contralateral se identifica disminuida de tamaño o normal18.

Respecto al tamaño adrenal en el estudio ecográfico, para perros, inicialmente se estableció que el grosor del polo caudal de la glándula adrenal izquierda no debía ser superior a 7,4 mm. Se han estudiado los límites superiores para la glándula suprarrenal izquierda según rango de peso en perros sanos y se ha confirmado variabilidad de grosor según el peso19 (tabla 2). Por otro lado, valores de grosor del polo caudal de la adrenal izquierda inferiores a 3,2 mm son sugestivos de hipoadrenocorticismo (enfermedad de Addison)20.
| Tabla 2. Grosor máximo de las glándulas adrenales según rango de peso en perros. | ||||
| Rango de peso | ≥2,5-5 kg | >5-10 kg | >10-20 kg | >20-40 kg |
| GMI (mm) | 5,1 | 5,5 | 6,4 | 7,3 |
| GMD (mm) | 5,3 | 6,8 | 7,5 | 8,7 |
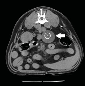
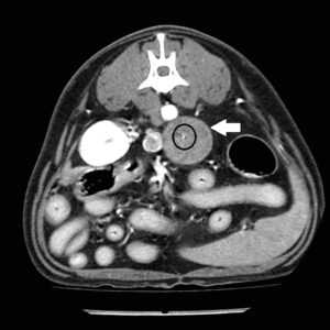
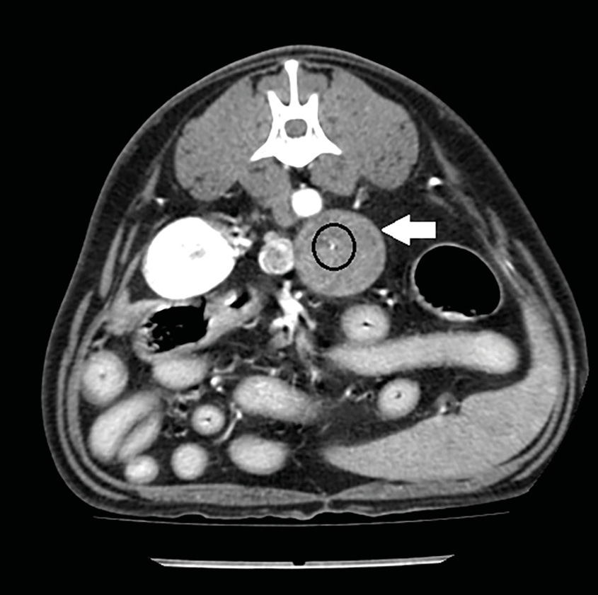
El diagnóstico diferencial de nódulos y masas adrenales incluye hiperplasia adrenal, adenoma, adenocarcinoma, feocromocitoma y, con menor frecuencia, aunque también se han reportado: neuroblastoma, ganglioneuroma, mielolipoma, metástasis, granuloma, hematoma21. Ecográficamente no se puede diferenciar un tumor maligno de uno benigno, pero la presencia de una masa igual o superior a 2 cm de tamaño y/o la observación de invasión vascular deben considerarse criterios de malignidad22 (imágenes 3 y 4).
Gatos
Las glándulas adrenales felinas son hipoecogénicas y pueden presentar una forma ovalada, fusiforme o bipolar. Al igual que en perros, estudios recientes han identificado una correlación entre el grosor fisiológico de las glándulas adrenales y el peso corporal (tabla 3).
| Tabla 3. Grosor máximo de la glándula adrenal según rango de peso en gatos. | ||
| Rango de peso | <4 kg | 4 – 8 kg |
| GMI (mm) | 3,1 ± 0,6 | 3,7 ± 0,7 |
| GMD (mm) | 3,2 ± 0,4 | 3,7± 0,6 |
De forma normal se pueden hallar focos hiperecoicos que producen sombra acústica. Este hallazgo se asocia comúnmente con calcificaciones microscópicas, presentes en casi un tercio de los gatos adultos sin patologías aparentes. Se han observado áreas hiperecoicas sin sombra acústica, que pueden deberse a una mineralización insuficiente para producir una sombra visible, a la existencia de un depósito de grasa o a una pequeña hemorragia.
Al igual que en el perro, en gatos la hiperplasia difusa primaria (HDP) se manifiesta en la mayoría de los pacientes con un agrandamiento de ambas glándulas suprarrenales (adrenomegalia bilateral), aunque en algunos el tamaño es normal. Por otro lado, en el hiperadrenocorticismo adrenal, el hallazgo principal es la presencia de una masa en una sola glándula, mientras que la otra suprarrenal suele ser de tamaño normal o no se visualiza24. No obstante, debemos tener en cuenta que la adrenomegalia se ha descrito como hallazgo incidental en gatos con patologías no endocrinas, principalmente en enfermedad renal crónica25. También se ha visto que, pese a un diagnóstico de masa adrenal unilateral en ecografía, el análisis histopatológico diagnosticó la enfermedad de forma bilateral. Este hallazgo puede ser relevante a la hora de considerar un tratamiento quirúrgico, puesto que la apariencia de una glándula adrenal ecográficamente normal no excluye una infiltración neoplásica24.
Ecografía con contraste y toma de muestras
Un estudio reciente ha analizado las características cualitativas y cuantitativas de las lesiones adrenales en perros mediante ecografía con contraste. Describe cómo esta técnica permite distinguir entre adenomas, adenocarcinomas y feocromocitomas, proporcionando información valiosa sobre la vascularización y el patrón de distribución del contraste. Además, de nuevo, incide en la relevancia de la citología y la histología para confirmar el diagnóstico definitivo26.
La ecografía también permite esta toma de muestras mediante punción ecoguiada con aguja fina. La seguridad de esta técnica fue estudiada por Sumner et al., 2018, que determinó que es relativamente segura y la considera parte del algoritmo diagnóstico en la investigación de una lesión en la glándula adrenal27.
Vídeo 1. Ecografía donde se observa alteración morfológica y estructural de la glándula adrenal, con cambios en sus dimensiones, contornos y patrón ecogénico.
Vídeo 2. Ecografía donde se observa una masa localizada en el polo craneal de la adrenal izquierda en una teckel adulta de 1,38 cm de grosor y con un área anecoica en su parte central.
Vídeo 3. Ecografía de la adrenal izquierda de la misma paciente diez meses después; su grosor es de 2,25 cm y ha aumentado la región anecoica central de la masa.
Imagen avanzada
Tomografía computarizada
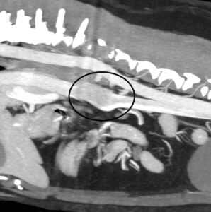
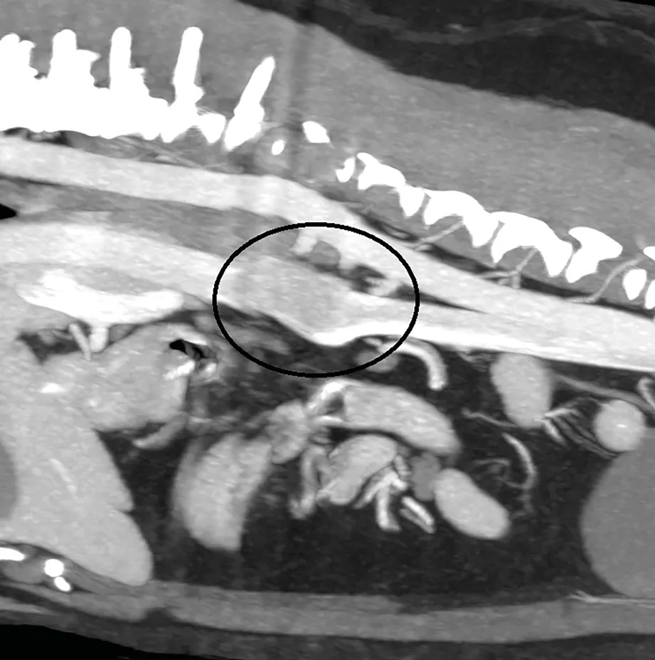
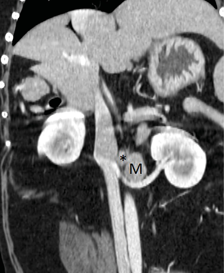
La tomografía computarizada (TC) es una técnica que va a emplearse habitualmente de forma previa a la cirugía en masas adrenales caninas, debido a que se considera más precisa que la ecografía para la detección de invasión vascular: tiene una sensibilidad y especificidad aproximada del 90 %28,29 (imagen 5) y esto es de gran importancia ya que, si existe invasión vascular, el abordaje quirúrgico será diferente.
Imagen 5. Imágenes de TC en ventana de tejidos blandos en fase venosa tras la administración de contraste reconstruidas en planos sagital (A) y dorsal (B) donde se observa un defecto de llenado de la vena cava caudal (círculo negro) por la presencia de una masa hipoatenuante de 4 cm de longitud que se corresponde con un tromoboembolismo tumoral a través de la vena frénico abdominal (*) por un feocromocitoma en la glándula adrenal izquierda (M).
Además, la presencia, el tamaño y la extensión del trombo van a tener un impacto sobre el pronóstico29. Recientemente se ha descrito un sistema de clasificación que puede ser de ayuda para determinar si existe o no invasión vascular, ya que en ocasiones puede resultar complicado porque, debido al gran tamaño de las masas, puede producirse una compresión vascular que dificulta la exploración29.
También va a ser útil para la evaluación de metástasis30, además de jugar un papel importante en la diferenciación de las masas adrenales mediante la evaluación de la morfología, atenuación y heterogeneidad del parénquima adrenal31.
Se han realizado algunos estudios para establecer diferencias entre los distintos tipos de neoplasias adrenales y se ha observado que los feocromocitomas raramente se encuentran mineralizados, al contrario que el adenocarcinoma32, y que es más probable que invadan la vasculatura adyacente con trombos, habitualmente de mayor tamaño que el adenocarcinoma.
Además, el contorno irregular de la masa se ha asociado con malignidad28,29. La presencia de realce en anillo y la ausencia de invasión vascular sugieren un comportamiento benigno del tumor. También es frecuente encontrar áreas de necrosis y hemorragia que producirán un aspecto heterogéneo de las masas, un hallazgo que puede encontrarse en cualquier masa de cierto tamaño.
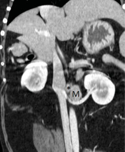
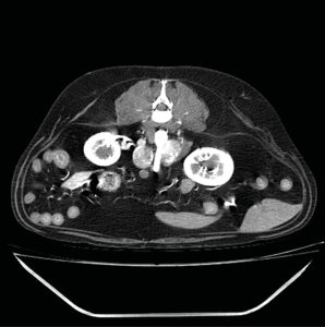
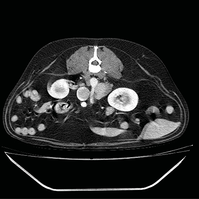
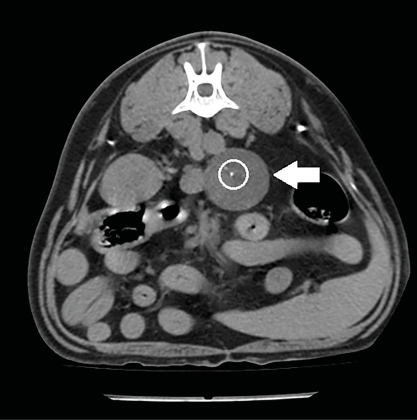
En estudios de TC sin contraste los feocromocitomas se observaron con valores más altos de Unidades Hounsfied (UH) con una atenuación media de 44,5 UH mientras que, en los adenocarcinomas, se observaron valores precontraste más bajos28,29. Esto puede deberse a que estos últimos se asocian con una mayor necrosis del parénquima o a que los feocromocitomas presentan con más frecuencia hemorragia intraparenquimatosa29. La angio-TC trifásica puede ayudar también a la diferenciación de las masas adrenales: se ha descrito que los feocromocitomas presentan una rápida captación de contraste en la fase arterial (imagen 6), mientras que los adenocarcinomas presentan un mayor realce en la fase venosa (imagen 7) y los adenomas un realce homogéneo en la misma fase32.
Imagen 6. Imágenes de TC plano transversal en ventana de tejidos blandos tras la administración de contraste en fases arterial (A) y venosa (B) de un feocromocitoma donde se observa un marcado realce en la fase arterial que disminuye y se vuelve más homogéneo en la fase venosa.
Imagen 7. Imágenes de TC en plano transversal en ventana de tejidos blandos sin contraste (A) y tras la administración de contraste en fase venosa (B) de un adenocarcinoma (flecha blanca) donde se observa un punteado hiperatenuante compatible con mineralizaciones (círculo). Tras la administración de contraste presenta el mayor realce en la fase venosa.
Otras lesiones adrenales como los mielolipomas se han descrito con un aspecto hipoatenuante y de atenuación grasa con -56 UH, mientras que los valores obtenidos en animales con hiperplasia adrenal son de 31,8 a 33,1 UH28. Aunque la TC no es una técnica que se suela emplear para el diagnóstico de estas alteraciones, sí pueden observarse de forma incidental.
Se ha establecido el tamaño adrenal en relación con el peso del paciente en TC como en otras técnicas como ecografía y recientemente se ha descrito un método no dependiente del peso corporal donde se establece un ratio entre el eje menor de la glándula adrenal y el diámetro del canal medular: el límite superior del ratio para las glándulas adrenales derecha e izquierda normales fue de 1,3 y 1,4 respectivamente30.
Resonancia magnética
La resonancia magnética, complementada con tomografía computarizada (TC), ofrece una visión detallada de la anatomía y patología adrenal. Su alta sensibilidad al contraste tisular permite no solo evaluar la estructura de la glándula, sino también detectar signos indirectos de enfermedad como invasión vascular, presencia de trombos o hemorragia. Estas características resultan clave en la planificación quirúrgica, especialmente en casos con compromiso vascular o extensión tumoral33,34.
En condiciones no patológicas las glándulas se observarán:
- T1: isointensas respecto a estructuras circundantes.
- T2: isointensas respecto a la corteza renal e hiperintensas en comparación con el hígado y la musculatura esquelética.
La médula adrenal puede identificarse como una región hiperintensa respecto a la corteza en secuencias T1, T2 y T1 poscontraste.
Tras la administración de contraste se observa un realce intenso que permite una mejor delimitación35.
Conclusión
En conclusión, las técnicas de diagnóstico por imagen son complementarias entre sí y pueden ser de gran ayuda en el diagnóstico de patologías adrenales. En cualquier caso, sigue siendo necesario recurrir a exámenes de laboratorio y, finalmente, a la histopatología para la diferenciación de las diferentes lesiones adrenales.
Bibliografía: descargar

















