Irene Martínez Pérez1, José Antonio Cano Davo1, Diego Manuel Moreno Méndez1, Óscar Monge Utrilla2
1Veterinario
2Responsable del servicio de cardiología
Hospital Veterinario Mediterráneo, IVC Evidensia, Madrid
Imágenes cedidas por los autores
El tromboembolismo aórtico felino (FATE) es la forma más común de tromboembolismo que se observa en medicina veterinaria1,2. Se produce por la migración de un trombo auricular izquierdo, o de fragmentos, hacia el circuito sistémico a través de la aorta; su prevalencia conocida es de 1/175 casos en un centro veterinario terciario de Estados Unidos1 y 1/379 casos en la práctica general del Reino Unido3.
El FATE sigue siendo una de las complicaciones más graves de las miocardiopatías felinas, con altas tasas de mortalidad y recurrencia4. Debido a su mal pronóstico, la prevención primaria en pacientes de alto riesgo es crucial para reducir la probabilidad de trombosis intracardiaca y eventos tromboembólicos posteriores4.
Tras varias décadas con escasos avances científicos, en los últimos años se ha publicado más información sobre el FATE que aporta nuevos datos sobre su evolución, pronóstico y opciones terapéuticas en gatos afectados por este síndrome clínico5.
Fisiopatogenia
El FATE ocurre cuando se desarrolla un trombo intracardiaco, este se desplaza hacia la circulación sistémica y ocluye arterias distales o periféricas de menos diámetro, de manera que la obstrucción parcial o completa del flujo sanguíneo impide el paso de este hacia la zona afectada4. El tromboembolismo es una complicación frecuente de las cardiomiopatías felinas y de gran riesgo para la vida del paciente6.
La miocardiopatía hipertrófica (MCH) es una enfermedad caracterizada por la hipertrofia concéntrica y la disfunción diastólica del ventrículo izquierdo con fibrosis miocárdica y disminución de la perfusión coronaria, lo que determina que el ventrículo izquierdo se vuelva más rígido y menos distensible6. Se ha demostrado que alrededor del 25 % de los gatos con MCH desarrollarán FATE7. La edad media de aparición es de 8 a 12 años y solo el 20 % de los gatos presentan una miocardiopatía conocida en ese momento2. En otras palabras, en el 80 % de los casos el FATE es la primera manifestación clínica de la miocardiopatía5.
Si bien la fisiopatología de la FATE es compleja y poco conocida, las miocardiopatías en gatos pueden afectar a cada uno de los tres componentes de la tríada de Virchow (hipercoagulabilidad, estasis sanguínea y daño endotelial)4. A continuación, se resumen las evidencias disponibles para cada uno de los tres componentes de la tríada de Virchow:
- Hipercoagulabilidad: se ha explorado la hipercoagulabilidad sistémica como una causa principal de FATE4. Hasta la fecha, algunos estudios ex vivo han documentado una mayor activación plaquetaria en gatos con MCH tanto subclínica como clínica, que es la forma más prevalente de miocardiopatía y afecta a 1 de cada 7 gatos10-13.
- Estasis sanguínea: en la MCH, la elevación marcada en la presión del ventrículo izquierdo (VI), causada por el engrosamiento miocárdico y la disfunción diastólica, conduce a la sobrecarga de presión y dilatación de la aurícula izquierda (AI) y a una disfunción sistólica de la AI14. La contractilidad disminuida de la AI causa estasis del flujo sanguíneo, lo que facilita que las células sanguíneas, el fibrinógeno y los factores de coagulación se agreguen, formando un trombo intracameral14.
- Daño endotelial: en animales sanos, el endotelio produce varias moléculas anticoagulantes y agentes vasodilatadores para prevenir la formación de coágulos4. Estos productos incluyen receptores de proteína C, trombomodulina, prostaglandina, inhibidor de la vía del factor tisular y heparán sulfato15,16. Se ha demostrado que la trombomodulina disminuye en gatos con CMH, lo que indica que la disfunción endotelial puede desempeñar un papel en la hipercoagulabilidad en gatos con miocardiopatías17. Tras la lesión endotelial o la activación a través de la trombina, el factor de Von Willebrand (vWF) se secreta extracelularmente. Se ha demostrado que, en gatos, el aumento del vWF circulante está asociado con FATE aguda18.
La imagen 1 resume la información actual y las lagunas de conocimiento en la patogénesis de la FATE según la tríada de Virchow8,9.

Presentación clínica
El diagnóstico clínico del tromboembolismo aórtico felino suele ser relativamente sencillo5. Entre el 70 y el 75 % de los pacientes presentan afectación bilateral de los miembros pélvicos, mientras que aproximadamente un 10–15 % muestran compromiso unilateral4; también puede afectar a las extremidades anteriores (vídeo 1).
Vídeo 1. Paciente felino con pérdida de movilidad de extremidad anterior derecha por tromboembolismo aórtico felino (FATE).
La mayoría de los veterinarios identifican el FATE durante la exploración física aplicando la conocida “regla de las 5P”, que engloba los signos típicos: palidez (dedos púrpuras, cianóticos o pálidos) (imagen 2), polaridad/poiquilotermia (extremidades frías), ausencia de pulso, parálisis o paresia y dolor5.

La mayor parte de los pacientes no presentan diagnóstico previo de cardiomiopatías2-4. Por este motivo, es crucial evaluar la presencia de signos compatibles con insuficiencia cardiaca congestiva (ICC), como disnea (vídeo 2), ruidos pulmonares o cianosis5. En la mayoría de los casos se detectan alteraciones en la auscultación cardiaca, como soplos o ritmos de galope. Además, no es raro que los gatos hayan vomitado en las horas previas al episodio tromboembólico2,4.
Vídeo 2. Paciente felino con disnea y refuerzo abdominal secundario a edema pulmonar por cardiomiopatía hipertrófica (CMH).
Pruebas diagnósticas
Entre los hallazgos complementarios que pueden apoyar el diagnóstico se incluyen la ausencia de flujo detectable mediante Doppler, la visualización directa del trombo por ecografía, la termografía infrarroja, la angiografía, así como diferencias anómalas en los valores de glucosa o lactato entre las extremidades afectadas y las sanas3,19,20. Se ha descrito que la concentración de glucosa en sangre medida directamente en las extremidades afectadas es significativamente menor que la obtenida en zonas no afectadas22. De forma similar, los niveles locales de lactato en dichas extremidades son notablemente más elevados, lo que constituye un parámetro con valor pronóstico negativo22.
Una vez confirmado el FATE, resulta esencial realizar una evaluación completa del paciente para detectar posibles comorbilidades. El uso combinado de PoCUS (cardiac point of care ultrasound) cardiaco (CPoCUS, vídeo 3) y PoCUS torácico (TPoCUS) permite una evaluación rápida de las estructuras cardiacas y torácicas. Además, el CPoCUS puede ayudar a identificar un origen cardiogénico del evento; no obstante, no reemplaza una ecocardiografía completa realizada por un cardiólogo veterinario21.
Vídeo 3. Vista ecocardiográfica de un paciente felino con CMH. Vista longitudinal 4 cámaras desde hemitórax derecho.
Tras la estabilización inicial, la radiografía torácica es útil para evaluar la presencia de derrame pleural o edema pulmonar secundario a una insuficiencia cardiaca congestiva (ICC) izquierda, o de otras patologías pulmonares5.
Las analíticas sanguíneas, como el perfil bioquímico o la gasometría venosa, son fundamentales para evaluar la función renal y detectar signos de disfunción renal o de reperfusión temprana. Entre las alteraciones posibles se encuentran azotemia, incremento de creatina quinasa, hiperpotasemia y acidosis metabólica. Durante la hospitalización, estos parámetros deben reevaluarse cada 6–12 horas5.
Tratamiento de urgencia
El objetivo principal del tratamiento de urgencia es estabilizar al paciente y evitar el dolor producido por la ausencia de perfusión de los tejidos.
Por ello, será necesario instaurar un tratamiento analgésico potente, por ejemplo, usando metadona (0,1-0,4 mg/kg IV o IM) seguida de fentanilo en infusión continua (1-5 ug/kg/h IV); también se puede optar por otros opioides puros. Además, es ideal el empleo de escalas objetivas de dolor (como Feline Grimace Scale), con el fin de evaluar si es necesario añadir analgesia o sedación adicional5.
La mayoría de los pacientes con FATE (90-95 %) presentan cardiomiopatías subyacentes y entre el 50-70 % pueden presentar sintomatología asociada a ICC izquierda2,3. El tratamiento de estas incluye oxígeno suplementario y el uso prudente de diuréticos como la furosemida. Pueden estar justificados otros tratamientos cardiacos ya establecidos en las guías del American College of Veterinary Internal Medicine (ACVIM) para las cardiomiopatías felinas23. La prudencia a la hora de usar diuréticos se justifica en que muchos pacientes con FATE acuden deshidratados, por lo que un uso agresivo de diuréticos puede producir alteraciones a nivel renal. Es recomendable evaluar la función renal en el momento del ingreso y controlarla a lo largo de la hospitalización5.
Durante el episodio agudo se recomienda el uso de terapia anticoagulante o de antiagregante plaquetario para disminuir el riesgo de empeoramiento del trombo. Los fármacos más utilizados históricamente son: heparina no fraccionada, heparinas de bajo peso molecular, aspirina, clopidogrel y, en la actualidad, anticoagulantes orales directos, como rivaroxabán o apixabán5.
Las guías CURATIVE (Consensus of The Rational Use of Antithrombotics in Veterinary Critical Care) recomiendan la combinación de clopidogrel con heparina de bajo peso molecular en gatos con riesgo de FATE. El clopidogrel se administra con una dosis de 18,75 mg/gato cada 24 h VO, precedido de una dosis de carga inicial de 75 mg/gato, y asociado a enoxaparina (heparina de bajo peso molecular) o a heparina no fraccionada.
Se han evaluado opciones terapéuticas para la realización de trombólisis en estos pacientes. Un estudio reciente sugiere que se puede considerar el uso de agentes trombolíticos para el tratamiento del FATE agudo (<6 h de duración), siempre tras una evaluación de riesgos y beneficios24. La mayoría de los estudios utilizan una dosis total de 1 mg/kg de activador tisular del plasminógeno (alteplasa), con el 10 % de la dosis administrada en bolo lento y el resto durante 1 hora1,25. En pediatría, se utiliza una CRI con una dosis de 0,1-0,5 mg/kg/h, con una monitorización cuidadosa de la reperfusión y complicaciones26.
La realización de trombólisis ha demostrado ser segura en pacientes con una evolución corta del cuadro del FATE, pero pierde eficacia cuanto más se cronifica el cuadro. Por otra parte, se ha explorado la retirada del trombo de forma quirúrgica o intervencionista, y solo existe un caso publicado de éxito utilizando cirugía convencional. En la mayoría de los pacientes en los que se ha intentado este tipo de procedimientos, se ha producido la muerte o se ha decidido la eutanasia como consecuencia del síndrome de reperfusión o de complicaciones asociadas.
Tratamiento ambulatorio
El tratamiento profiláctico más extendido en medicina veterinaria actualmente es el uso de clopidogrel por vía oral. Por otra parte, no se han observado diferencias estadísticamente significativas en la prevención de la recurrencia del FATE mediante terapia única con rivaroxabán o con clopidogrel29. Sin embargo, sí se ha demostrado una mayor eficacia del clopidogrel frente a la aspirina, fármaco que la bibliografía ya no recomienda en el manejo terapéutico del FATE en monoterapia5,30.
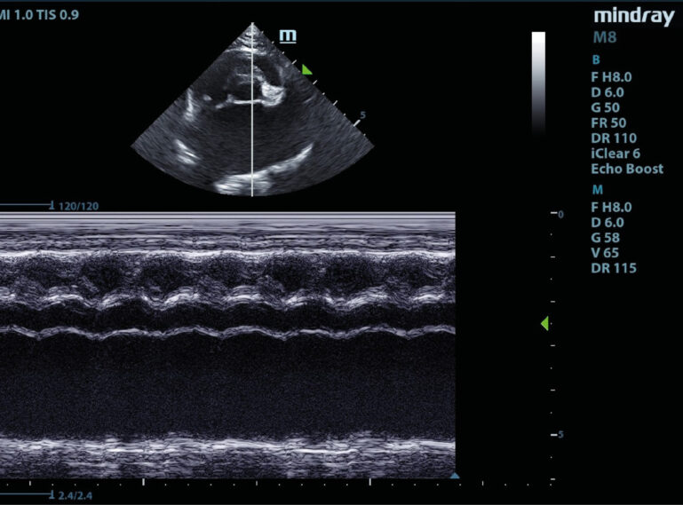
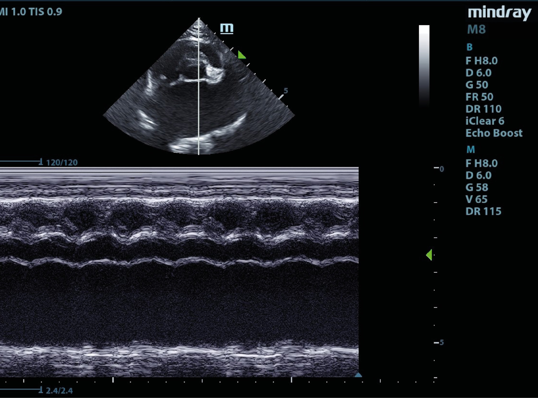
En gatos que han padecido FATE o presentaban signos de elevado riesgo de FATE, como la presencia de trombos intracamerales (vídeo 4), smoke en la aurícula izquierda (vídeo 5), disminución de la función sistólica auricular (imagen 3) o disminución de la velocidad del flujo sanguíneo en la orejuela de la aurícula izquierda, se observó una respuesta positiva al uso conjunto de clopidogrel (18,75 mg cada 24 h por vía oral) y rivaroxabán (2,5 mg cada 24 h por vía oral) y un efecto sinérgico de ambos fármacos27,28. Sobre la base de estos hallazgos, parece lógico adoptar un enfoque de terapia dual con clopidogrel y rivaroxabán/apixabán en pacientes con FATE tras el alta hospitalaria, aunque se requiere una mayor investigación para evaluar la eficacia clínica de manera más amplia5.
Vídeo 4. Vista ecocardiográfica de un paciente con CMH con presencia de un trombo en atrio izquierdo.
Vídeo 5. Vista ecocardiográfica de un paciente con CMH con presencia de eco-contraste espontáneo en atrio izquierdo o smoke.

Pronóstico
El FATE tiene un pronóstico desfavorable, con tasas históricas de eutanasia de hasta el 90 %2,3. No obstante, estudios recientes muestran tasas de supervivencia de entre un 27 % y un 45 % en gatos con FATE bilateral2,3,5. Estos resultados coinciden con el estudio BLASTT, donde el 37,5 % de los individuos con parálisis bilateral de miembros pélvicos fueron dados de alta, algunos con supervivencias superiores a un año.
Si el gato sobrevive al episodio agudo y puede ser dado de alta con una medicación oral adecuada, la supervivencia a largo plazo puede ser considerablemente mayor de lo estimado históricamente27. La bibliografía reciente indica que la recurrencia del FATE bajo terapia dual fue baja (16,7 %) y ningún gato desarrolló FATE por primera vez mientras recibía dicha combinación terapéutica2,7,27.
El tratamiento de los gatos con FATE sigue siendo complejo y las complicaciones son frecuentes. Es esencial informar al responsable del paciente de forma realista sobre el pronóstico, las opciones terapéuticas disponibles y, cuando proceda, la consideración ética de la eutanasia5
Factores pronósticos
Existen diferentes factores pronósticos en el FATE que pueden ayudar a evaluar las opciones del paciente a corto, medio y largo plazo:
- Función motora y afectación unilateral o bilateral: los gatos que conservan la función motora en el momento del ingreso o presentan afectación de un solo miembro tienen un pronóstico más favorable (70 % de supervivencia al alta) en comparación con aquellos con parálisis bilateral de miembros pélvicos (25 %)2,3. Este 25 % debe compararse con el 35–40 % reportado en el estudio prospectivo más reciente1.
- Temperatura rectal al ingreso: una temperatura rectal baja se asocia con mayor mortalidad. El punto de corte óptimo fue 37,2°C en un estudio retrospectivo2 y 35,7°C en uno prospectivo1.
- Lactato en extremidades: los niveles elevados de lactato en las extremidades afectadas (punto de corte 11,5 mmol/l) se correlacionan con peor pronóstico, aunque la mediana poblacional fue de 11,2 mmol/l, por lo que su relevancia clínica es incierta1.
- Tiempo desde el evento hasta el tratamiento: un mayor intervalo entre el evento tromboembólico y el inicio del tratamiento se asocia con peor pronóstico, destacando la importancia del diagnóstico y la intervención temprana.14
- Efecto del tratamiento: no recibir tratamiento anticoagulante o antiagregante plaquetario se asoció con un peor pronóstico en un estudio retrospectivo amplio3.
- Experiencia clínica: centros y veterinarios con mayor familiaridad con el FATE tienden a obtener mejores tasas de supervivencia1,2.






