Jorge Pérez Nácher
Claudia Inés López de Villavicencio Hernández
Joaquín Bernal de Pablo-Blanco
Cardiovet
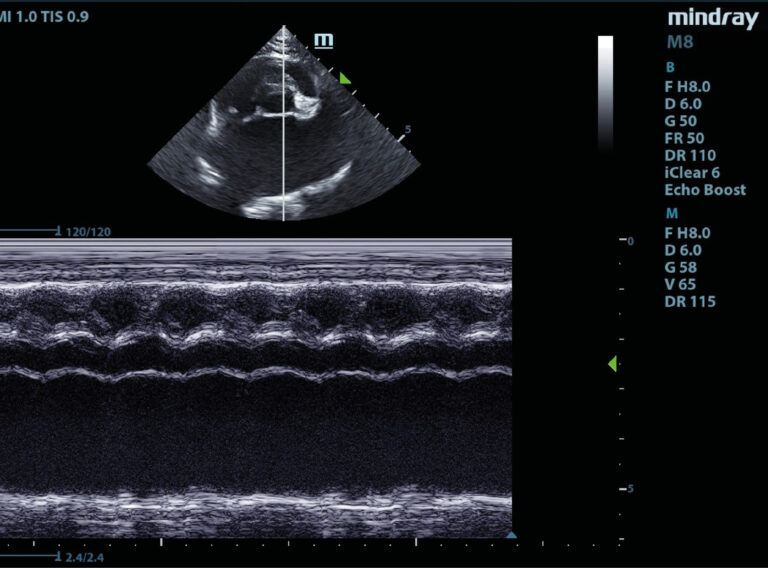
Descripción del caso
Bulldog francés, macho, de 9 años, asintomático. Acude a consulta para chequeo geriátrico rutinario.
Preguntas
- ¿Qué ritmo y frecuencia presenta el trazado?
- ¿Cuál consideras la causa más probable en este paciente y qué diagnóstico diferencial plantearías?
- ¿Está indicado realizar algún tratamiento o prueba adicional en este momento?







