Isaac Carrasco
DVM. PhD. Acreditado AVEPA en Dermatología. GPCertDerm. PGCertDerm
Responsable del Servicio Dermatología de AniCura Glòries Hospital Veterinari (Barcelona)
Imágenes cedidas por el autor
Historia clínica y anamnesis
Se presenta en consulta una perra mestiza de 2 años, con un cuadro de prurito intenso de varios meses de evolución. Empezó afectando principalmente a los flancos, pero evolucionó y dio lugar a un rascado intenso a nivel inguinal, axilar y facial, así como al lamido de la región interdigital de las extremidades anteriores. Los tutores no creen que exista estacionalidad, ya que desde que empezó a rascarse no ha dejado de hacerlo.
Inicialmente, su veterinario les recomendó el uso de isoxazolinas orales, para descartar la presencia de ectoparásitos, así como de baños hidratantes y calmantes. Al ver que el prurito no se controlaba, se inició la terapia oral con oclacitinib, momento en el que los tutores sí que notaron una mejoría sustancial. Aun así, cada vez que interrumpían el tratamiento, la perra volvía a rascarse como antes.
La paciente vive en una ciudad, con poco contacto con otros animales. Come pienso de mantenimiento de alta gama, además de algunos extras comerciales y caseros.
Recibe las vacunas anuales con regularidad, incluida la vacuna frente a la leishmaniosis. Al vivir en zona endémica, se le realizan serologías de Leishmania spp. frecuentemente; la última, llevada a cabo 3 meses antes, fue negativa.
Examen físico
Examen general
Durante el examen físico general no se detectan cambios patológicos, más allá de una ligera linfadenopatía poplítea y preescapular.
Examen dermatológico
En el examen dermatológico se aprecian diversas lesiones:
- Eritema moderado inguinal y axilar, con pápulas aisladas (imagen 1).
Imagen 1A. Eritema inguinal moderado, con pápulas aisladas. Imagen 1B. Eritema axilar moderado, con pápulas aisladas. - Eritema e hipotricosis perilabial leve, con secreción seborreica leve (imagen 2).

Imagen 2. Eritema e hipotricosis perilabial leve, con secrecion seborreica leve. - Eritema en la cara interna de los pabellones auriculares.
- Eritema interdigital en las extremidades anteriores, con alguna lesión pápulo-nodular (imagen 3).

Imagen 3. Eritema interdigital en las extremidades anteriores, con alguna lesión pápulo-nodular. - Eritema interdigital en las extremidades posteriores, con secreción marronosa adherida y pelos “oxidados” (imagen 4).

Imagen 4. Eritema interdigital en extremidades posteriores, con secreción marronosa adherida y pelos “oxidados”.
Diagnóstico
Diagnóstico diferencial más probable
- Dermatosis de origen alérgico:
- Dermatitis atópica (DAC).
- Reacción adversa al alimento (RAA).
- Presencia/reacción alérgica a ectoparásitos (pulgas, ácaros).
- Infecciones secundarias (bacterianas o fúngicas), como factor agravante.
Pruebas diagnósticas
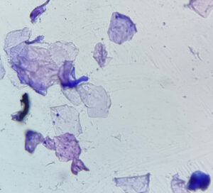
- Examen microscópico del pelo de las regiones afectadas: puntas rotas en la mayoría de los pelos estudiados. Raíces intactas, ligera queratosis peripilar. No se observan formas parasitarias ni cambios compatibles con dermatofitosis (imagen 5).

Imagen 5. Examen microscópico del pelo de las regiones afectadas. Se observan puntas rotas en la mayoría de los pelos estudiados. Las raíces están intactas y hay una ligera queratosis peripilar. No se observan formas parasitarias ni cambios compatibles con dermatofitosis. - Lámpara de Wood: no se observa fluorescencia.
- Citología con cinta adhesiva de todas las superficies afectadas: gran cantidad de corneocitos (imagen 6A); presencia de una gran cantidad de levaduras (Malassezia spp.; >40 por campo de 400x), principalmente en la región interdigital de las extremidades posteriores (imagen 6B); en las extremidades anteriores, se observa una gran cantidad de material nuclear de polimorfonucleares neutrófilos con bacterias extracelulares (imagen 6C).
Imagen 6A. Citología con cinta adhesiva de todas las superficies afectadas. Se aprecia una gran cantidad de corneocitos Imagen 6B. Citología con cinta adhesiva de todas las superficies afectadas. Se aprecia una gran cantidad de levaduras (Malassezia spp.; >40 por campo de 400x), principalmente en la región interdigital de las extremidades posteriores Imagen 6C. Citología con cinta adhesiva de todas las superficies afectadas. En las extremidades anteriores se observa una gran cantidad de material nuclear de polimorfonucleares neutrófilos con bacterias
Diagnóstico más probable
Dermatosis de origen alérgico con infecciones secundarias localizadas.
Plan terapéutico y diagnóstico
El primer paso consiste en explicar a los tutores, con detenimiento y detalle, las características fisiopatológicas de las dermatosis alérgicas en el perro, ya que es fundamental que entiendan la complejidad de la enfermedad.
En el marco de un protocolo diagnóstico ordenado, se propone investigar qué parte del prurito depende del alimento (considerando que no hay estacionalidad en el cuadro clínico). Con este objetivo, se instaura una estricta dieta de eliminación a base de pienso altamente hidrolizado, durante al menos 8-10 semanas.
Mientras transcurre este tiempo, se recomienda continuar con el mismo manejo de ectoparásitos y se mantienen los baños semanales con el jabón hidratante/calmante que ya utilizaban. Teniendo en cuenta los hallazgos citológicos, se inicia una terapia con un jabón a base de clorhexidina y miconazol a nivel interdigital, con el objetivo de controlar las infecciones secundarias.
Durante las primeras semanas de dieta se administra, además, un tratamiento oral con oclacitinib (0,5 mg/kg/SID) para el control del prurito. Nuestro plan es interrumpir esta terapia farmacológica después de 7 semanas de dieta y ver si el picor se controla solo con el manejo alimentario.
Primer seguimiento
Tras cuatro semanas, los tutores refieren que han seguido la dieta correctamente, pero que el tratamiento con oclacitinib no ha sido constante. Aunque el formato masticable no ha supuesto un problema incluso aunque no han podido utilizar alimentos para enmascararlo debido a la restricción dietética, algunos días no se ha podido administrar por cuestiones de horarios y organización, lo que se ha asociado a un mayor rascado.
Como todavía es pronto para confirmar si existe o no una implicación alimentaria en el cuadro clínico, se propone el uso de lokivetmab, con el objetivo de controlar el prurito sin necesidad de administrar fármacos por vía oral.
Después de 48 horas de su administración, los tutores nos contactan para comentar que el prurito se encuentra bajo control, así que mantenemos la dieta de eliminación y los baños.
Cuatro semanas más tarde, los tutores nos informan de que el paciente empieza a rascarse de nuevo, seguramente porque el efecto de lokivetmab está desapareciendo. Considerando que llevamos 8 semanas de dieta, es muy improbable que estemos ante un caso de alergia alimentaria (ya que el picor vuelve en cuanto se pierde el efecto del tratamiento antipruriginoso).
Diagnóstico definitivo
El diagnóstico definitivo es dermatitis atópica.
En este momento, se hace un breve recordatorio a los tutores sobre la fisiopatología de la DAC, haciendo especial hincapié en que se trata de una enfermedad crónica de difícil curación y que, lamentablemente, necesita un manejo crónico (razón por la que, al interrumpir la administración de oclacitinib, el paciente volvió a presentar picor e inflamación, como reportaron durante la anamnesis). Del mismo modo, les recordamos que se trata de una patología multifactorial, por lo que necesita un manejo multimodal (hay que mantener los baños y un buen control de ectoparásitos).
Tras ofrecerles la posibilidad de hacer pruebas de alergia con el objetivo de realizar una inmunoterapia alérgeno-específica, los tutores la rechazan de momento y prefieren mantener la terapia proactiva con lokivetmab y baños.
Discusión
La dermatitis atópica canina (DAC) es una enfermedad frecuente en el perro, cuyos signos suelen aparecer antes del primer año de vida1. Generalmente, los pacientes afectados presentan prurito que puede dar lugar al desarrollo de lesiones secundarias. Es común que las regiones afectadas coincidan con las que observamos en nuestro paciente: región axilar, inguinal, facial e interdigital.2,3
Es una enfermedad de etiología multifactorial4,5, caracterizada por alteraciones genéticas en la respuesta inmunitaria y en la barrera cutánea, lo que explica su mayor prevalencia en determinadas razas6. En los últimos años, se ha reconocido también el papel relevante de la microbiota cutánea en su fisiopatología7,8.
Además, los perros afectados tienen una alta predisposición a desarrollar infecciones secundarias (bacterianas o fúngicas) que activan una respuesta inmunitaria todavía mayor que, a su vez, da lugar al agravamiento de los signos clínicos9,10, como observamos en nuestro paciente.
Al tratarse de una patología multifactorial, hay que considerar siempre un manejo multimodal:
- Idealmente, tenemos que mejorar las características de la barrera cutánea5,11-13 y mantener un equilibrio y una diversidad adecuados de la microbiota.
- En la mayoría de los casos, es necesario llevar a cabo tratamientos que modifiquen la respuesta inmunitaria frente a los alérgenos implicados en la alergia. Para ello, podemos:
- implementar una inmunoterapia alérgeno-específica (“vacunas de alergia”), cuyo objetivo es “reeducar” el sistema inmunitario y, por tanto, dar lugar a un cambio en el tipo de respuesta que se produce frente a los alérgenos implicados14,15;
- o utilizar terapias que interfieran en dicha respuesta inmunitaria. Con este fin tenemos varias opciones, con diferentes dianas terapéuticas: los inhibidores de la Janus Kinasa, como oclactinib (que actúan sobre la vía JAK-STAT, implicada en la señalización de citoquinas proinflamatorias y pruritogénicas)16-19 y los anticuerpos monoclonales (actualmente, disponemos de uno en el mercado cuyo objetivo es bloquear la IL-31, citoquina pruritogénica).16,20-22
Gracias a la disponibilidad de estas alternativas, el manejo de la DAC se convierte en una labor menos ardua que hace escasos años. Pero, a pesar de esto, uno de los principales problemas que nos seguimos encontrando es la implicación de los tutores. No es sencillo hacerles entender que su mascota sufre una enfermedad crónica que va a requerir un manejo crónico y que, sin su colaboración e implicación, no conseguiremos controlarla adecuadamente. Esta es la razón por la que los problemas dermatológicos, y entre ellos la DAC, merman la calidad de vida no solo de los pacientes, sino también de sus cuidadores, ya que implica un trabajo y un gasto crónico.23,24
Tal como observamos en nuestro caso, no es raro que los tutores se olviden o no puedan administrar los fármacos antipruriginosos a diario (por razones logísticas del día a día, o por falta de implicación). Por tanto, disponer de herramientas que podemos administrar en la clínica y con una duración de varias semanas, es clave para conseguir el éxito terapéutico en algunos casos. En este sentido, lokivetmab es un anticuerpo monoclonal anti IL-31 que se administra por vía subcutánea una vez al mes, controlando el prurito en perros alérgicos a las pocas horas de su administración. Además de ser una terapia rápida y duradera, es altamente segura y compatible con otros fármacos o comorbilidades que presente el paciente. A pesar de que la recomendación es administrarlo una vez al mes, no es raro observar que en algunos pacientes la administración puede espaciarse. Esto es debido a que planteamos el uso de lokivetmab en el marco de un manejo global adecuado de la dermatitis atópica, por lo que la piel estará cada vez más estable; sin olvidar que el control del efecto de la IL-31 puede disminuir la sensibilización neurológica cutánea, ya que la IL-31 tiene un efecto neurogénico.25,26
Lo más importante es hacer entender a los tutores que el uso de lokivetmab debe ser proactivo, con el objetivo de controlar el prurito sin permitir la evolución/aparición de lesiones o infecciones secundarias.27
Este caso refleja una situación frecuente en la clínica diaria. Cuando estamos ante un caso de DAC, es fundamental saber transmitir la complejidad multifactorial de la fisiopatología de la enfermedad, pero sin obviar la empatía hacia el tutor. Es de especial interés hacerles entender que su mascota va a necesitar un manejo multimodal y crónico, pero que tenemos herramientas que simplifican mucho dicho manejo, evitando en parte la frustración y el agotamiento que implica el cuidado de un perro atópico (imagen 7).

Referencias:











