Imágenes cedidas por la autora
Introducción
La dermatitis atópica canina (DAC) es una enfermedad cutánea inflamatoria crónica, prurítica, recurrente, programada genéticamente y con una sintomatología clínica característica. Su desarrollo está asociado, en la mayoría de los casos, a la producción de anticuerpos IgE específicos dirigidos frente a alérgenos ambientales y, en menor medida, de origen alimentario.1
En la DAC se produce una interacción compleja entre predisposición genética, sensibilización a alérgenos ambientales y/o alimentarios, respuestas inmunitarias aberrantes, disfunción de la barrera cutánea y disbiosis microbiana. Esta disbiosis, junto con la alteración de la barrera epidérmica y la inflamación crónica, favorece el sobrecrecimiento bacteriano y da lugar a pioderma superficial o, con menor frecuencia, profundo, generalmente causado por Staphylococcus pseudintermedius.
El pioderma superficial se define como la presencia de infección bacteriana en el folículo piloso, la epidermis interfolicular o el estrato córneo. De las distintas presentaciones clínicas, la foliculitis bacteriana es la más común en el perro y la que presenta un cuadro clínico más variable.2 Las lesiones más frecuentes son pápulas y/o pústulas. Dado que estas lesiones primarias son fugaces, en algunos casos solo se observan lesiones secundarias como costras, tapones foliculares o pequeños collaretes epidérmicos.
El diagnóstico debe confirmarse mediante citología cutánea y, cuando sea necesario, cultivo bacteriano con antibiograma. Es importante que las muestras se tomen de lesiones representativas y de diferentes zonas para obtener los mejores resultados. Los hallazgos citológicos que apoyan el diagnóstico son los neutrófilos degenerados con bacterias intracelulares o bacterias extracelulares con estrías nucleares.3
Entre las razas predispuestas a padecer DAC se incluyen el shar pei, fox terrier, jack russell terrier, labrador retriever, bulldog francés, west highland white terrier, bóxer y dálmata, entre otras. La edad media de aparición oscila entre los 6 meses y los 4 años, aunque de forma esporádica pueden diagnosticarse casos fuera de este rango.
El signo precoz característico de la DAC es el prurito sin lesiones primarias aparentes, que inicialmente puede ser estacional y progresar a una presentación no estacional en la mayoría de los casos. La DAC cursa con eritema, alopecia autoinducida, tinción salivar en pelajes claros o excoriaciones en zonas anatómicas determinadas, con mayor predilección por las zonas ventrales y áreas de pliegues cutáneos. Otros signos clínicos frecuentemente asociados son la otitis externa recurrente, la blefaroconjuntivitis y, con menor frecuencia, la rinitis.
El diagnóstico de la DAC es clínico y se establece mediante la correcta interpretación de la anamnesis, la identificación de signos clínicos compatibles y la exclusión sistemática de otras enfermedades pruriginosas.1
Por su parte, el histiocitoma cutáneo canino es una proliferación de células de Langerhans frecuente y generalmente benigna, que se presenta como un nódulo o placa eritematosa, de crecimiento rápido, con aspecto de cúpula o botón y, habitualmente, menor de 2,5 cm de diámetro. Es común en perros menores de tres años, aunque puede aparecer a cualquier edad. Suele cursar con alopecia y ulceración secundaria. Generalmente, es una lesión solitaria, aunque ocasionalmente puede presentarse de forma múltiple. Las localizaciones más frecuentes incluyen cabeza, orejas, cuello y extremidades.4
A pesar de su rápido crecimiento y elevado índice mitótico, que puede sugerir malignidad, el histiocitoma cutáneo rara vez metastatiza. Los perros de raza shar pei presentan predisposición a histiocitomas recurrentes y persistentes.5
Citológicamente, los histiocitos tumorales presentan núcleos redondos u ovalados, a veces con indentaciones, y raramente son multinucleados. La atipia citológica, manifestada como anisocariosis o núcleos hipercromáticos, es poco frecuente. El citoplasma suele ser abundante y eosinófilo. Durante la fase de regresión se observa infiltrado linfocítico. Los histiocitomas solitarios pueden extirparse quirúrgicamente o experimentar regresión espontánea.6
Caso clínico
Historial y anamnesis
Se presentó en consulta una hembra castrada de raza shar pei, de 6 años, con un cuadro de prurito generalizado (PVAS 8/10; Pruritus Visual Analog Scale) y alopecia multifocal en tronco y extremidades, de cinco meses de evolución. El cuadro no había respondido al tratamiento pautado en su centro veterinario, consistente en champú de clorhexidina al 3 % tres veces por semana, combinado con espuma de clorhexidina al 3 % sin aclarado en días alternos.
Desde hacía cuatro años, la paciente presentaba antecedentes de dermatitis pruriginosa y otitis recurrentes, tratadas puntualmente con prednisolona oral y productos óticos inespecíficos, con buena respuesta clínica. Se alimentaba exclusivamente con una dieta hidrolizada.
La tutora refirió la aparición, un mes antes de la consulta, de un nódulo cutáneo localizado entre el pecho y la axila izquierda.
La desparasitación se realizaba de forma regular con lotilaner y milbemicina oxima por vía oral. Durante los meses de primavera y verano se utilizaba collar antiparasitario a base de imidacloprid y flumetrina.
Examen físico y dermatológico
El examen físico general no reveló alteraciones reseñables.
Durante el examen dermatológico se observó alopecia e hipotricosis multifocal, con lesiones distribuidas en la región dorsolateral del tronco y las extremidades. Se apreció una coloración más oscura del pelo en las zonas de recrecimiento.
Además, se identificó un nódulo alopécico, eritematoso, de consistencia firme y aspecto de botón, de aproximadamente 1 cm de diámetro, localizado en el pecho, próximo al pliegue axilar izquierdo.

Diagnóstico diferencial
El patrón de alopecia multifocal planteó como diagnósticos diferenciales la demodicosis, la dermatofitosis y la foliculitis bacteriana.
La paciente presentaba desde los dos años de edad antecedentes de dermatitis pruriginosa y otitis recurrentes, con buena respuesta a corticoides, hallazgos típicos de la DAC. Se excluyeron otras causas de prurito, como alergia alimentaria, ectoparasitosis y dermatitis alérgica a la picadura
de pulga.
El nódulo localizado en la región axilar izquierda era compatible con una lesión inflamatoria o neoplásica.
Pruebas laboratoriales
En función del patrón de alopecia multifocal y de la presencia del nódulo cutáneo, se realizaron las siguientes pruebas diagnósticas:
- Examen con lámpara de Wood: no se observó fluorescencia en el pelo adyacente a las lesiones.
- Tricoscopia: no se evidenciaron estructuras fúngicas ni parasitarias.
- Cultivo de dermatofitos en medio DTM: no se obtuvo crecimiento de dermatofitos.
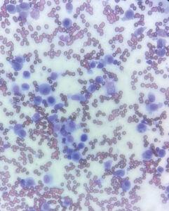
- Citología cutánea mediante cinta adhesiva: reveló abundantes bacterias cocoides extracelulares y presencia de estrías nucleares.
- Citología por punción con aguja fina (PAF) del nódulo: mostró abundantes células nucleadas, mayoritariamente monomórficas y redondas, con anisocariosis leve a moderada. Los núcleos eran ovoides, paracentrales, con cromatina finamente punteada y pequeños nucléolos prominentes. El citoplasma era moderado, basófilo, liso y con aclaramiento periférico. No se observaron agentes infecciosos.

Diagnóstico
La ausencia de ácaros en la tricoscopia y la desparasitación regular con isoxazolinas permitieron descartar la demodicosis. Los resultados negativos del examen con lámpara de Wood, la ausencia de esporas fúngicas en la tricoscopia y el cultivo fúngico negativo permitieron excluir la dermatofitosis.
La presencia de abundantes bacterias cocoides y estrías nucleares en la citología cutánea confirmó el diagnóstico de foliculitis bacteriana.
No se consideró necesario realizar cultivo bacteriano, ya que no existían antecedentes recientes de tratamiento antibiótico ni de aislamiento previo de bacterias multirresistentes.7
La anamnesis, los signos clínicos y la exclusión de otras patologías permitieron establecer la DAC como causa primaria de la foliculitis bacteriana.
Las características citológicas del nódulo cutáneo fueron compatibles con un histiocitoma cutáneo.
Manejo terapéutico
Se instauró tratamiento tópico diario con espuma de clorhexidina al 3 % y tratamiento sistémico con cefalexina en dosis de 25 mg/kg cada 12 horas por vía oral. Para el control del prurito se administró lokivetmab en dosis de 1 mg/kg por vía subcutánea, con pauta mensual.
A las dos semanas se observó una reducción notable del prurito (PVAS 2/10), recrecimiento del pelo de color más oscuro y ausencia de nuevas lesiones. Se suspendió la cefalexina y se mantuvo el tratamiento tópico.
El nódulo cutáneo triplicó su tamaño, por lo que se derivó al servicio de cirugía para su extirpación y estudio histopatológico. El examen preanestésico (hematología, bioquímica sérica y radiografía torácica) no reveló alteraciones.
Dos semanas después de finalizar la antibioterapia no se observó recaída, y la paciente se mantuvo estable durante los tres meses de seguimiento. Se continuó el tratamiento mensual con lokivetmab y se propuso la realización de pruebas de intradermorreacción para la identificación de alérgenos ambientales e instauración de inmunoterapia alérgeno-específica.
El estudio histopatológico confirmó el diagnóstico de histiocitoma cutáneo, con márgenes quirúrgicos libres de células tumorales.

Discusión
El tratamiento de la DAC debe individualizarse en función de cada paciente. En este caso, la presencia de una neoplasia concomitante motivó la elección de lokivetmab, dado que proporciona un efecto antiprurítico seguro y duradero, con mínima inmunomodulación sistémica8.
Estudios recientes destacan la importancia de iniciar el tratamiento con terapias simples y eficaces, lo que reduce la carga del tutor y mejora la adherencia terapéutica.9 Lokivetmab es un anticuerpo monoclonal caninizado que neutraliza la IL-31 canina y se administra por vía subcutánea cada cuatro a ocho semanas, lo que facilita el cumplimiento del tratamiento. Está aprobado para el control de los signos clínicos asociados a la DAC.10
El manejo de la DAC debe ser multimodal. En este caso se propuso combinar lokivetmab con inmunoterapia alérgeno-específica, utilizando el primero como tratamiento puente mientras se alcanzaba el efecto máximo de la inmunoterapia, que suele observarse entre los 9 y 12 meses.11
La terapia antimicrobiana tópica constituye el tratamiento de primera línea para la foliculitis bacteriana. Los antimicrobianos sistémicos deben reservarse para casos recidivantes o cuando el tratamiento tópico no sea factible. En este caso, las limitaciones de los tutores para realizar baños justificaron el uso de antibioterapia sistémica combinada con un antiséptico tópico sin aclarado.
Según las directrices de la ISCAID, los antibióticos de primera línea para el pioderma canino incluyen clindamicina, cefalexina, cefadroxilo y amoxicilina-ácido clavulánico. Se utilizó cefalexina con la dosis recomendada para pioderma superficial (25 mg/kg cada 12 horas).
Las nuevas recomendaciones de la ISCAID aconsejan pautas iniciales de dos semanas de antibioterapia sistémica, con reevaluación posterior. Se ha observado que la mayoría de los casos de pioderma superficial se resuelven en este periodo, como ocurrió en el presente caso. Mantener el tratamiento más allá de la resolución clínica no está respaldado por evidencia y debe sustituirse por terapia tópica proactiva y el control de las causas subyacentes.12
A pesar de que la terapia antimicrobiana tópica no fue factible, se identificó la DAC como causa primaria, y se propuso un plan de tratamiento que consiguió controlar la sintomatología y recurrencia de la foliculitis bacteriana.
El histiocitoma cutáneo canino es un tumor benigno que suele afectar a perros jóvenes, menores de tres años, que rara vez metastatiza y puede resolverse de forma espontánea.4 En este caso, la edad avanzada de la paciente, el tamaño superior a 2,5 cm y la presencia de atipia citológica justificaron la extirpación quirúrgica completa de la lesión5-6.
Bibliografía:
- Ríos AM, Verde MT, Yotti C: Dermatitis atópica. En Multimedica (ed): Dermatología clínica en el perro y en el gato, Barcelona, España, 2021; 483-499.
- Jackson H, Marsella R: Abordaje de la pioderma superficial y profunda. En Edra (ed): BSAVA Manual de dermatologia canina y felina 4.ª ed, Zaragoza, España, 2023; 159-165.
- Ríos AM, Verde MT, Yotti C: Enfermedades bacterianas de la piel. En Multimedica (ed): Dermatología clínica en el perro y en el gato, Barcelona, España, 2021; 343-372.
- Ríos AM, Verde MT, Yotti C: Tumores y pseudotumores de celulas redondas. En Multimedica (ed): Dermatología clínica en el perro y en el gato, Barcelona, España, 2021; 683-684.
- Pires I, Rodrigues P, Alves A, Silva F, Lopes C: Histopathological and Ultrastructural Study of a Canine Langerhans Cell Tumour (Canine Cutaneous Histiocytoma). Cells 2024; 13(15):1263.
- Moore PF: Histiocytic Diseases. Vet Clin North Am Small Anim Pract 2023; 53(1):121-140.
- Sousa CA, Chatfield J, File TM, Koch SN, Leu DB et al., Hostage to history – questioning the duration of systemic antimicrobial therapy for the treatment of canine superficial bacterial folliculitis. J Am Vet Med Assoc 2022; 260(10):1153-1156.
- Wichtowska A, Olejnik M: Anti-Cytokine Drugs in the Treatment of Canine Atopic Dermatitis. Int J Mol Sci 2025; 26(22):10990.
- Van Brussel L, Moyaert H, Escalada M, Mahabir SP, Stegemann MR: A masked, randomised clinical trial evaluating the efficacy and safety of lokivetmab compared to saline control in client-owned dogs with allergic dermatitis. Vet Dermatol 2021; 32(5):477-e131.
- Gober M, Amodie D, Mellencamp M, Hillier A: Long term use of lokivetmab (Cytopoint®) in atopic dogs. BMC Vet Res 2025; 21(1):203.
- Fennis EEM, Van Damme CMM, Schlotter YM, Sinke JD, Leistra MHG et al., Efficacy of subcutaneous allergen immunotherapy in atopic dogs: A retrospective study of 664 cases. Vet Dermatol 2022; 33(4):321-e75.
- Loeffler A, Cain CL, Ferrer L, Nishifuji K, Varjonen K et al., Antimicrobial use guidelines for canine pyoderma by the International Society for Companion Animal Infectious Diseases (ISCAID). Vet Dermatol 2025; 36(3):234-282.










