RESEÑA
Hembra mestiza de 9 años, esterilizada.
HISTORIA CLÍNICA Y MOTIVO DE LA CONSULTA
Se presentó a consulta dermatológica una hembra mestiza de 9 años, esterilizada, debido a lesiones pruríticas crónicas de un año de evolución, localizadas en la zona anterior carpal de ambas extremidades anteriores. No se describieron alteraciones en el estado general del paciente y el prurito localizado de la zona afectada era intenso, con una puntuación de 7/10 en la escala visual analógica del prurito (pVAS).
Los tratamientos empleados anteriormente para el control de las lesiones fueron prednisona, en tres ocasiones, a dosis antinflamatorias durante un mes aproximadamente, así como diferentes antibióticos (azatioprina y marbofloxacino) con respuesta parcial, además de antisépticos locales, vendajes y campana para evitar el lamido constante de las áreas afectadas.
El paciente tenía un historial de leishmaniosis estadio II, diagnosticada a los 3 años, que fue tratada inicialmente con antimoniato de meglumina y alopurinol. Los controles analíticos se realizaban semestralmente, manteniendo una estabilidad, la última revisión fue dos meses antes de la consulta con una serología IFI de 1/80. En el momento de la consulta dermatológica, continuaba con alopurinol (Zyloric 100mg comprimidos Faes Farma, España) 12 mg/kg/12 h y localmente clorhexidina al 1% (Cristalmina 10mg/ml solución cutánea, Salvat SA, España) y pomada con ácido fusídico (Fucidine® 2mg/g pomada LEO Pharma, España) cada 24 horas.
El paciente vivía en un piso sin otras mascotas, se alimentaba con dieta seca de gama alta y recibía profilaxis antiparasitaria externa mensual en spot on y antihelmínticos orales trimestrales. La tutora no presentaba alteraciones dermatológicas que hicieran pensar en una zoonosis.
EXAMEN FÍSICO GENERAL y DERMATOLÓGICO
En el examen físico general no se detectaron anomalías. En la exploración dermatológica, las lesiones se caracterizaban por placas alopécicas, eritematosas, erosionadas y engrosadas en la región anterior carpal de ambas extremidades, (imágenes 1-2).
DIAGNÓSTICOS DIFERENCIALES
En el diagnóstico diferencial de un patrón placo-nodular ulcerativo focal asociado a prurito como el descrito, se incluyeron:
- Dermatitis acral por lamido teniendo en cuenta las causas primarias y perpetuantes.
- Otras patologías que cursen con autotraumatismo regional (pseudo dermatitis acral por lamido):
- Pioderma bacteriano profundo, por Staphylococcus sp u otras bacterias
- Demodicosis
- Hipersensibilidad (alimentaria, dermatitis atópica)
- Infección fúngica profunda por dermatofitos u otros hongos
- Leishmaniosis
- Neoplasias
En el primer punto se debían tener en cuenta las diferentes patologías que pueden ocasionar, influir o perpetuar el desarrollo de una dermatitis acral por lamido. Estas fueron problema traumatológico, leishmaniosis, demodicosis, dermatofitosis, hipersensibilidad, cuerpo extraño, infección bacteriana profunda y problema comportamental.
Tanto la dermatofitosis como la posibilidad de una neoplasia, se consideraron poco probables por el hecho de ser lesiones simétricas en ambos carpos.
RESULTADOS LABORATORIO / PRUEBAS COMPLEMENTARIAS
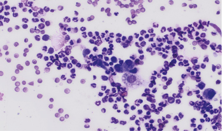
Se inició el proceso diagnóstico con radiografías de ambos carpos sin observar alteraciones, se llevó a cabo un hemograma y bioquímica sin observarse anomalías y una serología para leishmaniosis que se mantenía en la misma titulación (IFI:1/80). Se continuó con pruebas dermatológicas, iniciando el proceso exponiendo a las lesiones a la lámpara de Wood, no obteniéndose fluorescencia; un examen tricoscópico del pelo de la zona periférica observándose tricoptilosis; raspados que resultaron negativos para demodicosis y una citología en la que se pudieron observar una reacción piogranulomatosa con algunos cocos extracelulares, (imagen 3).

Se obtuvo una biopsia con punch de 8 mm para cultivo de tejido profundo e inmunohistoquímica (IHQ) para leishmaniosis que resultaron negativos. El examen histopatológico reveló una hiperplasia epidérmica con espongiosis, hiperqueratosis paraqueratótica y ulceración-erosión multifocal, además de una dermatitis crónica activa y difusa, considerándose una posible dermatitis de contacto, o alérgica, dermatitis atópica de base, sin observarse actividad neoplásica.
DIAGNÓSTICO
Con todos los resultados obtenidos, el diagnóstico fue de dermatitis acral por lamido asociado a un problema inflamatorio inespecífico con posibilidad de una base alérgica, aunque el paciente no hubiera mostrado ningún signo clínico anterior compatible, al menos apreciado por los tutores. No se descartó un problema comportamental en este momento, por lo que se debería tener en cuenta en futuras actuaciones según la evolución del paciente.
ABORDAJE TERAPEÚTICO
A nivel terapéutico se decidió dejar el alopurinol (Zyloric® 100mg comprimidos Faes Farma, España) y antibiótico tópico, continuando con el antiséptico (Abelia tris edta wipes®, Vetnova, España). Se incorporó la domperidona (Leishguard® 5mg/ml suspensión oral, Ecuphar Veterinaria SLU, España) /24h durante 30 días como inmunoestimulador, se administró oclacitinib 0,4mg/kg/12h (Apoquel® 3,6mg comprimidos, Zoetis, España) para el control del prurito y se inició terapia con FLE semanalmente (Phovia®, Vetoquinol, España).
EVOLUCIÓN
La evolución fue favorable, mostrando el paciente una notable mejoría a los 21 días, con resolución completa de las lesiones a los dos meses. El oclacitinib se administró durante 10 días, suspendiéndose al no observarse más lamido por parte del tutor. Se realizaron tres sesiones de FLE, manteniéndose el control de posibles recidivas y un control analítico periódico de la leishmaniosis. No fue necesario la evaluación etológica, (imagen 4).
DISCUSIÓN
La dermatitis acral es un problema común en dermatología que se produce por lamido de una zona distal de las extremidades (carpos o tarsos), con una clínica muy característica, presentándose como placas alopécicas, elevadas, firmes y con superficie erosionada-ulcerada, rodeadas de un halo eritematoso y a veces hiperpigmentado dependiendo de la cronicidad. Normalmente se presenta en razas grandes1-4, aunque en el caso descrito se trata de un cruce de 9 kg de peso. Su patogenia exacta no se conoce, pero parece asociado a patologías primarias que provocan dolor y/o prurito que inician el lamido de la zona, provocando erosión y exposición de la dermis, aumentando la sensación de molestia/prurito, que puede complicarse con infecciones bacterianas, furunculosis-reacción de cuerpo extraño, leishmaniosis, osteomielitis y un trastorno obsesivo-compulsivo que perpetuará el problema, convirtiéndolo por lo tanto en un círculo vicioso. Las causas que originan el problema pueden ser dermatológicas (DA, herida, etc), ortopédicas, neurológicas o psicogénicas (ansiedad-estrés).1-6
El enfoque diagnóstico se basará en la historia clínica y examen físico general, dermatológico, ortopédico y neurológico, así como etológico en algunos casos. Abordando las pruebas diagnósticas, para evaluar todas las causas primarias y factores perpetuantes que puedan estar implicados en la progresión del cuadro clínico e incluidos en el diferencial,1-6 como en el caso en cuestión, en el que a pesar de realizar las pruebas necesarias, no se encontró la causa primaria exacta, sospechando como diagnóstico presuntivo de una reacción de contacto inicial o una situación de estrés puntual que iniciara el problema y que se perpetuara con este bucle obsesivo-compulsivo que caracteriza a estos casos. Al haber una evolución favorable, se descartó un problema de comportamiento y no fue necesaria la evaluación etológica.
El tratamiento dependerá de evidentemente de las causas primarias, y factores perpetuantes que estén relacionados con la lesión, requiriendo normalmente de tratamientos tópicos y sistémicos, así como estrategias para modificar un comportamiento errático si está presente. La bibliografía describe tratamientos tópicos con antisépticos +/- antibióticos tópicos junto con DMSO (Dimetilsulfoxido) para aumentar su penetración y por su efecto inmunomodulador y antinflamatorio. El tratamiento sistémico irá enfocado a reducir el picor-dolor, controlar la infección profunda si está presente, siempre basado en un cultivo y antibiograma, así como fármacos psicoactivos si son necesarios en caso de alteraciones del comportamiento.1-6 En caso de lesiones ortopédicas o leishmaniosis se llevará a cabo un tratamiento específico para estas.
Para reducir la necesidad de fármacos o como tratamiento coadyuvante, se puede utilizar fototerapia, como la FLE. Cada vez más se está usando más clínicamente y se describe en la literatura científica7 como alternativa que ofrece múltiples beneficios, como en el caso descrito, que la combinación de la terapia tópica, sistémica y fotobiomodulación resultó eficaz, mostrando la utilidad de estrategias multimodales en el manejo de esta condición compleja.
Bibliografía


Annabel Dalmau













