F. Laguna, L. Jiménez, M. Caro, A. Latre, M. Rosa, M. Villagrasa
Hospital Veterinario Puchol, Madrid, España
Imágenes cedidas por los autores
Las úlceras corneales son defectos inflamatorios del epitelio de la córnea que pueden causar pérdidas del tejido subyacente (estroma corneal, membrana de Descemet, endotelio corneal). Como la córnea es un tejido transparente, las úlceras corneales pueden producir pérdida de transparencia, que será más o menos visible según la extensión de la úlcera, su profundidad, o la presencia de complicaciones concomitantes. El diagnóstico de úlceras corneales se ha de realizar mediante un examen oftalmológico completo, con magnificación y la realización de una prueba de fluoresceína con luz azul, en el que se debe hacer énfasis en encontrar la causa de la úlcera.
¿Cuáles son las causas más frecuentes?
La córnea está recubierta por la película lagrimal y su epitelio está en constante renovación. Además, los párpados superior e inferior y la membrana nictitante la protegen y ayudan a extender esa película lagrimal.
Las causas más frecuentes de úlceras se pueden simplificar en dos grupos: aquellas que son debidas a la irritación excesiva y las que son secundarias a falta de protección de la córnea.
- En el primer grupo, tenemos como ejemplo cambios anatómicos como el entropión, las neoplasias palpebrales, mal posición de los cilios, traumatismos, cuerpos extraños, infecciones, etc.
- En el segundo grupo tendríamos como ejemplo las úlceras corneales post anestésicas, el ojo seco, las parálisis del nervio facial o del nervio trigémino, el macrobléfaron o el ectropión.
Es muy importante determinar el origen de la úlcera para evitar que se vuelvan a producir una vez que hayamos logrado la epitelización.
¿Qué tipos de úlceras corneales podemos encontrar?
Las úlceras corneales se pueden clasificar de varias maneras: según su profundidad, su etiología, su aspecto histológico, etc. Sin embargo, lo más importante es distinguir las úlceras simples de las úlceras complejas.
- Úlceras simples (imagen 1): son aquellas que afectan solo al epitelio corneal, y cicatrizan en menos de 7 días. Las úlceras simples suelen ser consecuencia de traumatismos leves.
- Úlceras complejas (imagen 2): afectan al estroma corneal, no cicatrizan en menos de 7 días. Pueden tener factores de complicación como queratomalacia o infiltrado celular.
Imagen 2. Úlceras complicadas. A) Estromal anterior asociada a infiltrado celular. Nótese el edema corneal difuso. Imagen 2. Úlceras complicadas. B) Estromal profunda predescemética asociada a neovascularización crónica. Imagen 2. Úlceras complicadas. C) Estromal profunda con queratomalacia.
Es importante identificar los factores que complican las úlceras, ya que el abordaje terapéutico puede ser diferente.
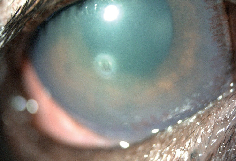
Hay un tercer tipo de úlceras, denominadas úlceras de bordes desprendidos o úlceras indolentes (imagen 3), que a pesar de ser úlceras superficiales no complicadas solo cicatrizan tras la realización de un desbridamiento del epitelio.

¿Cómo se tratan y cuándo remitir?
Úlceras simples
Las úlceras simples se pueden curar mediante antibióticos de amplio espectro y de primera intención, como por ejemplo el cloranfenicol, la polimixina B/neomicina, o las tetraciclinas tres veces al día. Además, para reducir el dolor podemos utilizar ciclopentolato una vez al día. Es importante, además, añadir lágrima artificial para favorecer la cicatrización. Por último, recomendamos el uso de collar isabelino para prevenir el autotramatismo.
Si una úlcera simple no ha cicatrizado en la revisión, se puede deber a diversas causas, principalmente que no hayamos identificado la causa primaria, que la úlcera se haya contaminado, o que se haya convertido en una úlcera de bordes desprendidos o indolente.
Úlceras complejas
Las úlceras complejas presentan etiologías y factores de complicación muy variados, por lo que el tratamiento también puede variar. El tratamiento médico suele usar antibióticos de segunda intención (quinolonas, o aminoglicósidos) con mayor frecuencia que en las simples (cada 2-4 horas) y realizar citología, cultivo y antibiograma. No se recomiendan los ungüentos o pomadas oftálmicas si hay riesgo de perforación. Además, en caso de que tengamos queratomalacia, se usan inhibidores de la proteasa, como el suero autólogo/heterólogo, o la N-acetilcisteína. En el caso de usar suero, es importante ser especialmente cuidadoso con su manipulación, su conservación en nevera y tirarlo a los 5 días, ya que tiende a contaminarse con facilidad.
En general, se recomienda el tratamiento quirúrgico cuando tenemos grandes defectos en el estroma de córnea que requieran un injerto para restablecer su estructura, para suturar laceraciones corneales o para desbridar el estroma en caso de que tengamos gran cantidad de queratomalacia. Existen múltiples tratamientos quirúrgicos diferentes, que se han de adaptar al tipo y la localización de la úlcera, a la edad y enfermedades oculares concomitantes del paciente, etc.
Las queratitis ulcerativas complicadas pueden progresar con rapidez, deteriorando la córnea en cuestión de horas. Si no se tratan a tiempo, pueden derivar en la pérdida del globo ocular o en la formación de cicatrices corneales que comprometan gravemente la visión. Por ello, es fundamental derivar de forma inmediata cualquier caso en el que se sospeche una úlcera corneal complicada.ualquier caso en el que se sospeche una úlcera corneal complicada.









