Alicia Fernández Ruiz1, Alba Pedregosa2, Javier Engel Manchado3
1DVM, Acred. AVEPA Cardiología. HV Canis Mallorca IVC-Evidensia
2DVM
3DVM, PhD, MSc, Acred. AVEPA Cardiología, CertAVP (RCVS)
Imágenes cedidas por los autores
Los soplos cardiacos son vibraciones creadas por el flujo de sangre cuando cambia de laminar a turbulento y produce un sonido lo suficientemente fuerte como para auscultarse con un fonendoscopio. Generalmente, son un hallazgo común tanto en gatos jóvenes como en adultos.
Sin embargo, los soplos cardiacos en gatos adultos aparentemente sanos representan un dilema para los veterinarios. En muchos casos, la presencia de un soplo audible en la auscultación cardiaca no implica necesariamente la presencia de una cardiopatía subyacente significativa.
Técnicas de auscultación
La auscultación cardiaca es fundamental en la exploración clínica de todos los gatos. En esta especie, la auscultación debe realizarse en un entorno tranquilo, sin ruidos, idealmente lejos de perros u otros gatos, para que el paciente esté relajado, ya que el estrés puede provocar cambios en la frecuencia cardiaca y alterar los hallazgos de la auscultación.
También es importante recordar que aproximadamente el 20 % de los gatos examinados en la clínica veterinaria ronronean durante la auscultación cardiaca y este sonido, amplificado por el estetoscopio, puede enmascarar anomalías significativas en la auscultación, como soplos cardiacos y sonidos de galope (ambos sonidos breves, de baja frecuencia y, a menudo, de intensidad bastante baja).
Se han propuesto diversas técnicas para detener el ronroneo durante la auscultación torácica; el método más eficaz es realizar la auscultación cerca de un grifo abierto, lo que puede detener el ronroneo hasta en un 80 % de los casos. Para ello, debe mantenerse el paciente a una distancia de entre 0,5 y 2 m de un grifo abierto mientras se realiza la auscultación cardiaca.

La auscultación cardiaca en gatos se realiza colocando el cabezal del fonendoscopio plano sobre la pared torácica, con cuidado de no presionarlo demasiado y provocar soplos cardiacos iatrogénicos. Para la auscultación en gatos se prefiere fonendoscopio pediátrico, cuyo cabezal contiene un diafragma o membrana (la parte más grande y plana) y una campana (la pieza más pequeña y cóncava, con un pequeño orificio en el centro). El diafragma se utiliza habitualmente para oír sonidos normales y agudos (S1 y S2) que pueden producirse durante el ciclo cardiaco, mientras que la campana puede utilizarse para oír sonidos graves, como el galope o los soplos diastólicos (imagen 1).
Cuando se detecta un soplo cardiaco, es importante describir su momento del ciclo cardiaco (sistólico/diastólico/continuo), su grado de intensidad y su localización (o punto de máxima intensidad; PMI) (imagen 2).

Ciclo cardiaco
En relación con el momento del ciclo cardiaco, el soplo puede ser:
- Sistólico: ocurre durante la sístole, entre el primer (S1) y el segundo (S2) tono cardiaco.
- Diastólico: ocurre durante la diástole, entre el segundo (S2) y el primer (S1) tono cardiaco.
- Continuo: se escucha durante la sístole y diástole.
La mayoría de los soplos cardiacos detectados en gatos suelen ser sistólicos (98,7 % del total). En contraste, los soplos continuos y diastólicos son significativamente menos frecuentes, con una prevalencia del 0,7 % y 0,6 %, respectivamente.
Grado de intensidad
Según el sistema de Levine modificado, la intensidad del soplo se clasifica en seis grados, de menor a mayor (imagen 3). Por su parte, otro método simplificado describe los soplos en gatos como leves (56,7 %), moderados (28,7 %), fuertes (12,6 %) y palpables (con frémito, 2,1 %) (imagen 4).
Hay que tener en cuenta que los gatos pueden tener soplos cardiacos intermitentes en un 27,8 % de los casos y soplos dinámicos hasta en un 30 %, con cambios en la intensidad del soplo. Generalmente, se asocian a una obstrucción dinámica del flujo de salida del corazón o a cambios en la frecuencia cardiaca, o bien son inducidos por la compresión torácica realizada con el fonendoscopio.


Punto de máxima intensidad (PMI) o localización
Generalmente, se han descrito cuatro zonas estándar para la auscultación cardiaca: aórtica, pulmonar, mitral y tricúspide. Aunque estos puntos de referencia pueden ser útiles y fiables en animales de razas grandes, el cabezal del estetoscopio puede abarcar varios puntos al mismo tiempo en animales pequeños, como los gatos, y dificulta la correcta auscultación.
Además, la mayoría de los soplos cardiacos en gatos se detectan mejor a nivel del esternón o en áreas paraesternales izquierda o derecha. Por tanto, en gatos se prefiere enfocar la auscultación en las áreas esternal o paraesternal.
En este sentido, cabe destacar que el estudio más grande de soplos cardiacos realizado en gatos, el punto de máxima intensidad (PMI) se describió como esternal en el 38,3 % de los casos, seguido del paraesternal izquierdo (37,2 %), el paraesternal derecho (21,7 %), base izquierda (2 %) y el ápex izquierdo (0,8 %)1. (imagen 5).

¿Y en gatitos?
Los soplos cardiacos en gatitos de menos de 4 meses se identifican principalmente durante las primeras revisiones. Aproximadamente en el 40 % de los casos se relacionan con una cardiopatía congénita, y en el 60 % se asocian con los denominados “soplos inocentes”.
Cuando en gatos jóvenes se detecta un soplo de forma incidental con características claramente patológicas, se deben realizar pruebas diagnósticas. Generalmente, en los casos de conducto arterioso persistente es evidente un soplo continuo en la base cardiaca, mientras que las malformaciones cardiacas congénitas suelen producir un soplo sistólico.
Para el diagnóstico, las radiografías torácicas son útiles para valorar la silueta cardiaca y los signos de congestión. Sin embargo, la evaluación del tamaño cardiaco en radiografías torácicas en gatos jóvenes puede ser limitada; ya que el tamaño del tórax no se correlaciona con el tamaño cardiaco en animales muy jóvenes y, en casos de hipertrofia ventricular concéntrica, puede pasar desapercibida.
La ecocardiografía es el método de elección para identificar la lesión y su gravedad.
¿Y si detecto un soplo?
El primer paso es determinar la importancia clínica de un soplo.
Las características del soplo (tipo de soplo, PMI, frecuencia cardiaca, calidad del soplo, arritmias, galope, etc.) y los hallazgos del resto del examen físico (color de la membrana mucosa, calidad del pulso femoral, frecuencia respiratoria, palpación abdominal, etc.) pueden sugerir que probablemente se deba a una lesión cardiovascular (soplo patológico) o que esté asociado a un corazón estructuralmente normal (soplo no patológico). Algunos de los criterios que pueden ayudar a diferenciar soplos patológicos de no patológicos se enumeran en la imagen 6.
Los soplos no patológicos pueden ser debidos a soplos inocentes en gatitos de menos de 4 meses, en los que no hay una lesión cardiovascular estructural ni fisiológica; también pueden ser soplos funcionales, es decir, estar asociados a otras patologías sistémicas, sin que haya una patología estructural cardiovascular como, por ejemplo, en caso de anemia (imagen 7).


¿Cuándo realizar pruebas diagnósticas?
Las indicaciones para realizar pruebas adicionales incluyen:

- Sospecha de un soplo patológico.
- Dificultad para interpretar un soplo.
- Presencia de sonidos cardiacos anormales adicionales.
- Detección de signos clínicos atribuibles a una enfermedad cardiaca: dificultad respiratoria, paraparesia o monoparesia aguda (imagen 8), fiebre, etc.
- Preocupación del tutor por saber la causa del soplo.
- Uso previsto del animal (preanestésico, prehospitalización con fluidoterapia, previo a la administración de glucocorticoides, etc.).
¿Y en gatos adultos?
Los soplos sistólicos son frecuentes en gatos adultos, con una prevalencia en torno al 16 – 44 %, y parece aumentar con exámenes repetidos y con la estimulación del gato.
La cardiopatía más común en gatos adultos es la cardiomiopatía hipertrófica (presente en el 15 – 62 % de los gatos adultos con soplos detectados incidentalmente), y el soplo no patológico más común está causado por una obstrucción dinámica del tracto de salida del ventrículo derecho (entre el 8 – 16 % de los gatos adultos con soplos detectados incidentalmente).
En general, los soplos no patológicos y los causados por una cardiomiopatía no pueden diferenciarse únicamente mediante la auscultación. La auscultación de otras anomalías cardiacas, como el sonido de galope o una arritmia, podría ser incluso más valiosa para identificar a los gatos con mayor riesgo de insuficiencia cardiaca congestiva (ICC) o de tromboembolismo arterial.
¿Cómo debo proceder si ausculto un soplo?
Es posible que los tutores no reconozcan los signos clínicos inicialmente, y que puedan darse cuenta a posteriori, una vez que se hayan resuelto con el tratamiento.
Se debe realizar siempre una exploración física completa y evaluar la palpación cardiaca (para la detección de frémito), el color de mucosas (ya que la palidez podría sugerir anemia como causa de un soplo), el cuello (para detectar distensión yugular o una masa tiroidea), la palpación abdominal (para detectar ascitis) y la calidad del pulso femoral (imagen 9).

Cuando se ausculta un soplo en un gato adulto, se recomienda evaluar el soplo, aunque en los gatos los soplos a menudo cambian de intensidad con la excitación o la frecuencia cardiaca, o simplemente aumentan o disminuyen en intensidad con el tiempo:
- Las radiografías de tórax pueden ser útiles para la detección de patologías cardiacas avanzadas: un VHS (vertebral heart size) > 9,3 en gatos está asociado con enfermedad cardiaca como causa de disnea. Sin embargo, en gatos sin signos clínicos y con soplos detectados incidentalmente la tasa de falsos negativos es mayor, ya que radiográficamente puede ser difícil evaluar la silueta cardiaca.
- La medición de biomarcadores como la concentración de NT-proBNP también puede ayudar en el diagnóstico para la detección de una cardiomiopatía oculta; un resultado de < 50 pmol/L implica que la cardiomiopatía es poco probable, mientras que un resultado > 100 pmol/L indica que la enfermedad está presente.
- La ecocardiografía se considera la prueba diagnóstica de elección para determinar la causa de un soplo, con una precisión superior en comparación con la radiografía o el ECG.
¿Cuáles son las causas más frecuentes de soplo en gatos?
El movimiento sistólico anterior de la válvula mitral (SAM) es la causa más común de soplo cardiaco, aproximadamente en el 40 % de los gatos, seguida de la obstrucción dinámica del tracto de salida del ventrículo derecho (DRVOTO), en el 32 % de los casos. Otras causas menos frecuentes son los soplos por regurgitación valvular (6 %) y las alteraciones congénitas (<1 %).
¿Qué es el SAM?
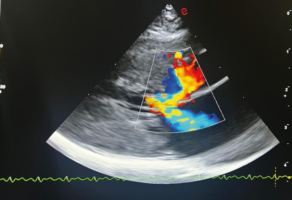
El SAM es el movimiento anormal de la valva anterior de la válvula mitral hacia el septo interventricular durante la sístole, lo que provoca una turbulencia en el flujo de salida del ventrículo izquierdo. Debido a ello, la válvula mitral permanece parcialmente abierta durante esta fase, y se observa una regurgitación mitral. Los dos flujos turbulentos simultáneos son característicos de este fenómeno (imagen 10).
Imagen 10. A) Diagrama de la obstrucción del tracto de salida del ventrículo izquierdo resultante del movimiento sistólico anterior (SAM) de la valva anterior de la válvula mitral (flecha). AI: aurícula izquierda; LV: ventrículo izquierdo; Ao: aorta. B) Ecocardiografía vista paraesternal derecha eje largo, con Doppler color, presencia de SAM. El movimiento anormal de la valva anterior de la válvula mitral hacia el tabique interventricular en la sístole temprana provoca interferencia dinámica del flujo de salida del ventrículo izquierdo y turbulencia en el tracto de salida. Dado que la válvula mitral permanece parcialmente abierta durante esta fase, también se observa insuficiencia mitral. Los dos flujos turbulentos simultáneos son característicos de este fenómeno.
Los mecanismos responsables del SAM no se conocen, pero se ha planteado la hipótesis de que la contracción exuberante del ventrículo izquierdo, así como la anatomía y disposición del aparato valvular mitral, podrían ser factores contribuyentes.
El SAM no es patognomónico de la cardiomiopatía hipertrófica, ya que se observa en pacientes normales, e incluso en algunos se evidencia solo durante periodos de estrés o excitación, lo que parece estar influenciado por una estimulación simpática. En un estudio de Luis Fuentes et al., en el 56,1 % de los casos de SAM no hubo evidencia ecocardiográfica de enfermedad cardiaca estructural, lo que demuestra que esta forma de obstrucción dinámica del flujo de salida del ventrículo izquierdo no es patognomónica de HCM.
El 80 % de los gatos con cardiomiopatía fenotipo hipertrófica (CMH) y soplo cardiaco en la auscultación presentan SAM. Además, el SAM también se puede observar en otras formas de cardiomiopatías, como en el fenotipo restrictiva (27,3 %), en el fenotipo terminal de la CMH (22,2 %) o en el fenotipo no específico (33,3 %), así como en otras patologías como la displasia de la válvula mitral (24,2 %).
¿Qué es la DRVOTO?
La DRVOTO es un tipo de soplo sistólico funcional identificado en gatos y se cree que se debe a un estrechamiento dinámico del tracto de salida del ventrículo derecho (VD). Su fisiopatología es poco conocida, pero parece estar asociada a una contracción exuberante del ventrículo derecho, que tiende a obstruir el tracto de salida derecho durante la sístole, lo que causa turbulencia.
Se ha descrito una mayor prevalencia en gatos geriátricos con anemia, hipertensión o hipertiroidismo, pero también se observa en gatos sanos.
El diagnóstico de la DRVOTO se realiza mediante ecocardiografía: se observa una turbulencia con el Doppler color en el ventrículo derecho, craneal a la válvula tricúspide, que se extiende al tracto de salida del VD.
Estos soplos son dinámicos, es decir, de intensidad variable en función del nivel de excitación y la frecuencia cardiaca. Aumentan de forma constante con el incremento de la frecuencia cardiaca, y disminuyen conforme se reduce esta.
La DRVOTO es inducible o iatrogénica al aplicar una suave presión con el transductor de ultrasonido o el fonendoscopio en la zona paraesternal derecha, lo que induce una obstrucción dinámica iatrogénica del flujo de salida.
Conclusiones
Las características del soplo cardiaco (momento, intensidad y localización) rara vez permiten distinguir entre gatos normales y gatos con cardiopatía, con la excepción de los soplos fuertes y con frémito asociados a cardiopatías significativas.
Más del 50 % de los gatos con un soplo cardiaco audible no presentan evidencia ecocardiográfica de cardiopatía estructural, lo que sugiere que la mayoría de los soplos cardiacos en gatos son benignos o podrían estar asociados con una forma subclínica de cardiopatía no detectable ecocardiográficamente en el momento de la evaluación
Sin embargo, dado que la mayoría de los soplos cardiacos en gatos parecen ser sistólicos y de intensidad leve a moderada, siempre se debe considerar la realización de una ecocardiografía.
Referencias bibliográficas:
- Ferasin L, Ferasin H, Cala A, Creelman N. Prevalence and clinical significance of heart murmurs detected on cardiac auscultation in 856 cats. Vet Sci. 2022;9:564.
- Luis Fuentes V, Abbott J, Chetboul V, Côté E, Fox PR, Häggström J, Kittleson MD, Schober K, Stern JA. ACVIM consensus statement guidelines for the classification, diagnosis, and management of cardiomyopathies in cats. J Vet Intern Med. 2020 May;34(3):1062-1077.
- Kittleson MD, Côté E. The Feline Cardiomyopathies: 1. General concepts. Journal of Feline Medicine and Surgery. 2021;23(11):1009-1027.
- Kittleson MD, Côté E. The Feline Cardiomyopathies: 2. Hypertrophic cardiomyopathy. Journal of Feline Medicine and Surgery. 2021;23(11):1028-1051.
- Payne JR, Brodbelt DC, Luis Fuentes V. Cardiomyopathy prevalence in 780 apparently healthy cats in rehoming centres (the CatScan study). J Vet Cardiol. 2015 Dec;17 Suppl 1:S244-57.
- Wagner T, Fuentes VL, Payne JR, McDermott N, Brodbelt D. Comparison of auscultatory and echocardiographic findings in healthy adult cats. J Vet Cardiol. 2010;12:171‐182.
- Côté E, Edwards NJ, Ettinger SJ, Fuentes VL, MacDonald KA, Scansen BA, Sisson DD, Abbott JA; Working Group of the American College of Veterinary Internal Medicine Specialty of Cardiology on Incidentally Detected Heart Murmurs. Management of incidentally detected heart murmurs in dogs and cats. J Am Vet Med Assoc. 2015 May 15;246(10):1076-88.
- Franchini A, Abbott JA, Lahmers S, Eriksson A. Clinical characteristics of cats referred for evaluation of subclinical cardiac murmurs. Journal of Feline Medicine and Surgery. 2021;23(8):708-714.
- Häggström J, Luis Fuentes V, Wess G. Screening for hypertrophic cardiomyopathy in cats. J Vet Cardiol. 2015 Dec;17 Suppl 1:S134-4
- Matson H, Fuentes VL, Humm K. The prevalence of murmurs and gallop sounds in anemic cats. J Vet Emerg Crit Care (San Antonio). 2024 Nov-Dec;34(6):606-609.
- Wagner T, Fuentes VL, Payne JR, McDermott N, Brodbelt D. Comparison of auscultatory and echocardiographic findings in healthy adult cats. J Vet Cardiol. 2010; 12: 171-182.
- Nakamura, R.K.; Rishniw, M.; King, M.K.; Sammarco, C.D. Prevalence of echocardiographic evidence of cardiac disease in apparently healthy cats with murmurs. J. Feline Med. Surg 2011, 13, 266–271. https://doi.org/10.1016/j.jfms.2010.12.007.








