X. Raurell1, T. M. Basto2
1Hospital Veterinari Molins – IVC Evidensia y Hospital Veterinari Canis (Girona)
2Frank Pet Surgeons – IVC Evidensia (Leeds, UK)
Imágenes cedidas por los autores
Introducción
En veterinaria se han descrito distintos tipos de hernias discales, que se pueden clasificar según el estado del núcleo pulposo (degenerado o no degenerado / hidratado), según si son compresivas o no y según su localización (extradurales, intradurales – extramedulares, intradurales – intramedulares o foraminales / foraminales lejanas). De estas últimas, las menos frecuentes en la práctica clínica son las intradurales – extramedulares y las intradurales – intramedulares.
Estas últimas suelen ocurrir de forma aguda o hiperaguda, no son progresivas, pueden cursar con o sin dolor evidente y en cualquier raza y edad. En la anamnesis es importante preguntar a los tutores si, previamente a la presentación, el paciente ha estado haciendo ejercicio, jugando o ha sufrido algún traumatismo, ya que se dan a partir de movimientos bruscos de la columna vertebral que provocan una ruptura del anillo fibroso, penetración en la dura y en la médula espinal, donde pueden causar gliosis, edema y hemorragia (imagen 1- ver).
Presentación
Generalmente, son extrusiones de núcleo pulposo hidratado o parcialmente degenerado, aunque también se han descrito a partir de núcleo degenerado. Puede verse afectada la médula espinal, tanto toracolumbar como cervical. También se han descrito en la especie felina a nivel lumbar (McConnell, 2004).
En un estudio retrospectivo de extrusiones intradurales – intramedulares con 20 perros (Kim, J 2020), se observó que 16/20 eran de razas no condrodistróficas y que las edades se situaban entre 1 y 7 años. La presentación clínica más frecuente fue la paraparesia no ambulatoria (9/20) y la mayoría de los casos se localizaron en la médula toracolumbar (15/20), mientras que el resto (5/20) se dieron en la médula cervical.
En otro estudio con 16 perros en el que se describen los hallazgos en el mielo-TAC (Levy, 2022), la gran mayoría eran de razas no condrodistróficas; entre ellas, el whippet fue la más representada (5/16). Las edades estaban comprendidas entre 3-11 años y todos presentaron una mielopatía aguda localizada en los segmentos medulares T3-L3, la mayoría, después de un traumatismo. Los espacios más afectados fueron T12-T13 y T13-L1.
Diagnóstico
El diagnóstico se basa en el estudio mediante resonancia magnética (RM), en el que se puede apreciar un estrechamiento del espacio intervertebral afectado y un trayecto lineal, en dirección dorsal, desde el disco hasta el parénquima medular que en T2 será hiperintenso y en T1 y T2* será hipointenso. También se puede observar un engrosamiento de la médula espinal con distintos tipos de intensidades en el parénquima debido al edema, material extruido, hemorragia y malacia. A nivel craneal y caudal, en el plano sagital, pueden verse zonas de hiperintensidad en T2 sin compresión evidente extradural. A veces, se pueden observar focos hipointensos en T2 en el parénquima medular como resultado de la penetración de núcleo degenerado. Después de la administración de contraste puede verse captación moderada alrededor del tracto lineal y del material extruido.
En un artículo (Kitagawa, 2012) se detalla un caso de trayecto intramedular en dirección ventro-lateral.
En un estudio de hernias discales intradurales con 8 perros (Tamura, 2015), los hallazgos de RM de bajo campo no identificaron claramente la presencia del núcleo pulposo en el espacio subaracnoideo o en el parénquima de la médula espinal, lo que llevó a diagnósticos preoperatorios erróneos. El mielo-TAC mostró características como el “signo del tee de golf” y un déficit de llenado subaracnoideo, lo que sugiere una hernia discal intradural extramedular. Este estudio concluye que el mielo-TAC puede ser más valioso que la RM de bajo campo para detectar hernias discales intradurales.
En un estudio retrospectivo, multicéntrico y descriptivo reciente (Casado, 2022), se describen los hallazgos de RM de 7 casos de hernias discales intradurales – extramedulares confirmadas en cirugía mediante durotomía. En este, se concluye que ninguno de los 7 casos mostró el llamado “signo del tee de golf”; en cambio, se observó que en todos ellos aparecía el “signo de Y” como resultado de material discal a nivel intradural. Este tipo de localización es la menos descrita en perro.
En el caso de las extrusiones intradurales-intramedulares, según el estudio de Levy (2022) en el que se incluyeron 16 perros, el mielo-TAC también puede detectar el trayecto lineal desde el disco hasta el parénquima, además de acúmulo de contraste intramedular, atenuación circunferencial del contraste subaracnoideo en el sitio de extrusión y reducción subjetiva del espacio intervertebral. En algunos perros, se pueden identificar defectos de llenado intradurales con dilatación del espacio subaracnoideo en ambos lados del defecto y en ninguno se evidenció compresión extramedular de la médula espinal.
Diagnóstico diferencial
El diagnóstico diferencial debe hacerse con otras mielopatías agudes, como pueden ser la extrusión no compresiva de núcleo pulposo (ANNPE), la extrusión de núcleo hidratado (HNPE), la mielopatía isquémica por embolismo fibrocartilaginoso, la extrusión intradural-extramedular y la extrusión nuclear aguda Hansen tipo 1, aunque esta suele ser progresiva, simétrica y con dolor en la mayoría de los casos. Otro tipo de mielopatía aguda que se debe tener en cuenta en el diferencial podría ser el traumatismo vertebral con fractura/luxación, ya que las intradurales – intramedulares pueden verse después de un traumatismo.
Tratamiento
El tratamiento de las mielopatías agudas no compresivas en general se basa en mantener una perfusión medular adecuada, reposo estricto, analgesia según el grado de dolor que presente el paciente, antiinflamatorios y, sobre todo, está indicada la rehabilitación y la fisioterapia, junto con el tratamiento de soporte del paciente en decúbito según el grado neurológico en la presentación.
Pronóstico
El pronóstico para la recuperación funcional del paciente (estado neurológico ambulatorio) puede ser muy variable, ya que depende de numerosos factores, entre los cuales está la implicación del tutor. En el estudio de hernias intramedulares con 20 perros mencionado previamente (Kim J, 2020), se pudo obtener el seguimiento al mes en 11 perros, 10 de los cuales mostraron mejoría y 8 volvieron a ser ambulatorios sin asistencia. Según el artículo de Levy 2022, el seguimiento a los 3 meses reveló que se eutanasiaron 4 de los 12 perros que se pudieron seguir, mientras que el resto mejoró su estado neurológico.
Caso 1
Se presentó de urgencia un galgo italiano, macho, de 5 años, con paraplejia y sensibilidad profunda presente después de un paseo en el que había estado corriendo y jugando.
Exploración
La exploración física fue normal, mientras que en la exploración neurológica se observó un estado mental de alerta, reflejos de los nervios craneales normales, una paraplejia con reacciones posturales ausentes en los miembros pélvicos, con reflejos flexores y rotulianos presentes y, con un reflejo cutáneo del tronco que empezaba a nivel de las últimas vértebras torácicas. No se observó dolor espinal durante la exploración y presentaba sensibilidad profunda en los miembros pélvicos. Se localizó la lesión neurológica a nivel de los segmentos medulares T3-L3.
Diagnóstico
El diagnóstico diferencial en este caso se encontraba entre las mielopatías no compresivas, como la ANNPE y la mielopatía isquémica por embolismo fibrocartilaginoso. En cuanto a las mielopatías compresivas, podrían ser posibles la HNPE y la extrusión nuclear aguda Hansen tipo 1, aunque esta era menos probable por raza y por falta de dolor evidente; no obstante, no se podía descartar del todo. Las fracturas y luxaciones se descartaron por anamnesis.
La analítica sanguínea, que constó de hemograma y perfil bioquímico completo con electrolitos, no reveló ninguna alteración.
Se realizó la anestesia general el mismo día para el estudio radiológico con radiografías de la columna toracolumbar en dos proyecciones, mielografía y mielo-TAC:
- Las radiografías mostraron una reducción del espacio intervertebral T12-T13 y la mielografía descartó mielopatías compresivas.
- En el mielo-TAC, en la reconstrucción sagital, se observó un trayecto lineal de contraste en dirección ventrodorsal desde el espacio intervertebral T12-T13 hasta el aspecto dorsal del parénquima medular a nivel de T12.
- Además, se observó acúmulo de contraste intramedular a ese mismo nivel con cierta atenuación de la línea ventral de contraste (imágenes 2A y 2B).
Imagen 2. Caso 1. A) Reconstrucción sagital en ventana de hueso del mielo-TAC en la que se observa el trayecto de contraste en dirección ventrodorsal desde el espacio T12-T13 hasta el aspecto dorsal del parénquima medular a nivel de T12. Se aprecia estrechamiento del espacio T12-T13 y atenuación del contraste ventralmente a ese mismo nivel. B) Imagen transversal del mielo-TAC, adquirida en algoritmo de hueso a nivel de T12 del mielo-TAC, en la que se puede ver el acúmulo de contraste intramedular y su trayecto.
Tratamiento
El tratamiento hospitalario consistió en fluidoterapia de mantenimiento con Ringer Lactato, gabapentina 10 mg/kg/8 h PO, sondaje uretral, tratamiento de soporte del animal en decúbito y reposo estricto en jaula.
Se monitorizaron la presión arterial, la temperatura y la frecuencia cardiaca, que no mostraron alteraciones significativas.
Se dio el alta hospitalaria a las 48 h con tratamiento de gabapentina 10 mg/kg/8 h PO, reposo estricto y ejercicios de rehabilitación. En ese momento empezaba a mostrar movilidad voluntaria en los miembros pélvicos.
Evolución
En la visita de revisión, a los 10 días, era capaz de deambular con asistencia y, a las 3 semanas, caminaba por sí solo con cierta ataxia en los miembros pélvicos.
No se pudo obtener un seguimiento a largo plazo de este paciente.
Caso 2
Se presentó en consulta un spitz, macho, de 6 años con tetraparesia no ambulatoria aguda tras una caída desde el sofá el mismo día.
Exploración
La exploración física fue normal.
La exploración neurológica mostró un estado mental alerta, pero con nerviosismo marcado, con nervios craneales normales, tetraparesia no ambulatoria con déficits propioceptivos en los cuatro miembros y déficit flexor en el miembro torácico derecho. Los demás reflejos espinales fueron normales y se observó vocalización y contractura de la musculatura cervical en su palpación. Se localizó la lesión neurológica en los segmentos medulares C6-T2 del lado derecho.
Diagnóstico
El diagnóstico diferencial se realizó entre ANNPE, mielopatía isquémica por embolismo fibrocartilaginoso, HNPE, extrusión nuclear aguda Hansen 1 y lesión traumática en las vértebras cervicales.
La analítica sanguínea completa y las radiografías de la columna cervical resultaron dentro de la normalidad.
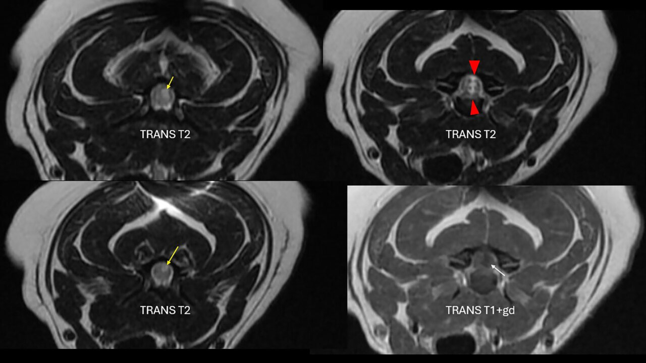
Se hospitalizó para realizar el protocolo diagnóstico con RM de los segmentos medulares comprendidos entre C1-T2. El estudio mediante RM (1,5 T) de la columna cervical se realizó incluyendo las siguientes secuencias: sagitales (T2w, 3D T2, STIR, T1w, T1w+Gd); transversales (T1w, T2w, T1w+Gd); dorsales (FIESTA, 3D). Se observó una pérdida de volumen del disco C3-C4 que mantenía una señal correcta en T2w. Justo dorsal al disco y, a nivel intramedular, se apreció una marcada lesión lineal hiperintensa en T2w y STIR e hipointensa en T1w que atravesaba la médula espinal en sentido dorsoventral, ligeramente lateralizada a la derecha. Tanto craneal como caudal a dicha lesión, hasta la mitad caudal de C3 y a la mitad craneal de C4, se vio una señal intramedular, hiperintensa en T2w y STIR, pero más difusa, también lateralizada a la derecha y dorsal. Este estudio no mostró evidencia de material extradural que causara compresión medular (imágenes 3A y 3B).
Imagen 3. Caso 2. A) RM, cortes sagitales utilizando distintos tipos de secuencias. Se aprecia un trayecto en dirección dorsal desde el espacio IV C3-C4 hasta el parénquima medular (flechas amarillas; sag 3D T2 cube) que muestra señal hiperintensa craneal y caudalmente a dicho espacio (flecha roja; sag T2). El disco C3-C4 muestra un menor volumen (puntas de flecha azules; sag STIR) y no se evidencia la presencia de material degenerado compresivo en el canal vertebral (sag T1+gd). Resonancia magnética informada por ProtonVet. B) RM, cortes transversales en T2 y T1 poscontraste. Se observan las zonas de hiperintensidad en T2 craneal y caudalmente (flechas amarillas) al trayecto que va en dirección ventro-dorsal (puntas de flecha rojas) que podrían ser compatibles con zonas de gliosis, edema o malacia. En T1, la zona justo dorsal al disco, se aprecia hipointensa (flecha blanca). Resonancia magnética informada por ProtonVet.
Tratamiento
El tratamiento hospitalario consistió en fluidoterapia de mantenimiento con Ringer Lactato, analgesia con gabapentina 10 mg/kg/8h PO, maropitant 1 mg/kg/24h IV, robenacoxib 1 mg/kg/24 h IV y paracetamol 10 mg/kg/8 h IV. También se pautó metadona 0,2 mg/kg/6 h, que se retiró a las 24 h del ingreso.
Debido al nerviosismo del paciente, además, se administró trazodona 4 mg/kg/8h PO.
El sondaje uretral durante todo la hospitalización, el reposo estricto en jaula y la terapia de soporte del paciente en decúbito también formaron parte del tratamiento hospitalario.
Se dio el alta a las 72 h del ingreso con gabapentina 10 mg/kg/8 h PO, robenacoxib 1 mg/kg/24 h PO, paracetamol 10 mg/kg/8 h y trazodona 4 mg/kg/8 h con, además, un protocolo de rehabilitación en su fisioterapeuta, vaciado manual de la vejiga, reposo estricto y tratamiento de soporte del paciente en decúbito.
Evolución
En revisión programada a la semana se apreció movilidad voluntaria de los miembros del lado izquierdo y el paciente no mostraba dolor cervical, por lo que se le retiraron el paracetamol y el robenacoxib.
En la revisión a las dos semanas, se vio que empezaba a sostenerse en estación y deambulaba unos pasos con asistencia, aún con déficits propioceptivos en los miembros del lado derecho.
Dos meses después de la presentación, este paciente estaba ambulatorio, con una buena recuperación funcional, aunque aún con paresia en los miembros del lado derecho que mostraba espontáneamente en ciertos movimientos.
Bibliografía:
- Fenn J, Olby NJ and the Canine Spinal Cord Injury Consortium (CANSORT-SCI) (2020). Classification of Intervertebral Disc Disease. Front. Vet. Sci. 7:579025. doi: 10.3389/fvets.2020.579025.
- Da Costa RC, De Decker S, Lewis MJ, Volk H and the Canine Spinal Cord Injury Consortium (CANSORT-SCI) (2020). Diagnostic Imaging in Intervertebral Disc Disease. Front. Vet. Sci. 7:588338. doi: 10.3389/fvets.2020.588338.
- Mai W. Normal MRI spinal anatomy, degenerative disc disease and disc herniation. Diagnostic MRI in dogs and cats (edited by Wilfred Mai), page 413-443. CRC Press 2018.
- McConnell JF, Garosi LS. Intramedullary intervertebral disk extrusion in a cat. Veterinary Radiology & Ultrasound, Vol. 45, No. 4, 2004, pp 327–330.
- Kim J, Kim H, Hwang J, Eom K. Preliminary study of presumptive intradural-intramedullary intervertebral disc extrusion in 20 dogs. J Vet Sci. 2020 Jul;21(4):e52. doi:10.4142/jvs.2020.21.e52.
- Levy A, Deprez P, Harran N. Clinical and computed tomographic myelography findings of presumed intradural-intramedullary intervertebral disk extrusion in 16 dogs. Vet Rec Case Rep. 2022;10:e401. https://doi.org/10.1002/vrc2.401.
- Kitagawa, M., Okada, M., Kanayama, K. & Sakai, T., 2012, ‘Identification of ventrolateral intramedullary intervertebral disc herniation in a dog’, Journal of the South African Veterinary Association 83(1), Art. #103, 10.4102/jsava.v83i1.103.
- Tamura S et al. Thoracolumbar intradural disc herniation in eight dogs: clinical, low-field magnetic resonance imaging, and computed tomographic myelography findings.Vet Radiol Ultrasound, Vol. 56, No. 2, 2015, pp 160–167.
- Casado D, Fernandes R, Lourinho F, Gonçalves R, Clark R, Violini F and Carrera I (2022) Magnetic resonance imaging features of canine intradural/extramedullary intervertebral disc extrusion in seven cases. Front. Vet. Sci. 9:1003042.doi: 10.3389/fvets.2022.1003042.










