Pablo Cigüenza del Ojo
LV, Certificado OCV Oncología, Acreditado Avepa Oncología
Director de Onkos- Servicios Oncológicos Veterinarios
Imágenes cedidas por el autor
La citología es una herramienta diagnóstica esencial en veterinaria, especialmente en el estudio de enfermedades neoplásicas, y también para procesos inflamatorios e infecciosos. En el ámbito de las enfermedades tumorales, este método, que implica el análisis microscópico de células obtenidas mediante aspiración con aguja fina (PAAF), puede dar información sobre la estirpe celular afectada, su posible naturaleza maligna, así como un grado aproximado.
Los tumores de mama representan la enfermedad tumoral más frecuente en hembras enteras de la especie canina, el segundo en las esterilizadas y, en el caso de la especie felina, es el tercer tumor más frecuente. Esto hace que sea una situación clínica muy habitual y, por tanto, que se recurra a esta técnica diagnóstica para desentrañar su naturaleza y predecir su comportamiento.
A continuación, se presenta una guía que abarca los aspectos fundamentales de la citología en estos casos, con el objetivo de aclarar cuáles son sus limitaciones y qué usos se le deben dar.
Aspectos anatómicos y generalidades oncológicas de la glándula mamaria
De una manera sencilla diremos que la glándula mamaria está constituida por formaciones acinares constituidas por células secretoras, que no tienen capacidad de contraerse y expulsar el material secretado. Por eso, justo en la periferia de estos acinis se encuentran células mioepiteliales, que son células epiteliales con forma de huso “adheridas” a las secretoras, y que mediante una contracción provocan la liberación del contenido al espacio acinar. Este material llega al pezón por los conductos galactóforos, que se forman a través de células epiteliales ductales. Toda esta estructura se debe sostener y mantener a través del entramado de células fusiformes que presenta la glándula.
Por lo tanto, tenemos al menos tres tipos de células epiteliales y una de fusiformes, lo que implica que las neoplasias mamarias pueden ser de uno de los tipos (simples), de cualquier combinación de dos tipos epiteliales (complejos) o de cualquier combinación de células epiteliales y fusiformes (mixtos). Además, en la glándula pueden darse otros tipos de tumores de epiteliales (carcinomas de escamosas, por ejemplo) o fusiformes (osteosarcomas, condrosarcomas, etc.).
Si tenemos en cuenta que, para mayor complicación, podremos tener diferentes tipos de neoplasias en una misma cadena mamaria, pero también en una misma mama o, incluso, en una misma lesión sólida, y que una PAFF obtiene en torno a un 1 % de información, es probable que la citología no sea representativa de la realidad tumoral que acontece en nuestro paciente.
En último lugar, es necesario saber que los criterios que determinan el grado de malignidad de estas neoplasias se basan en criterios meramente histológicos, como son el porcentaje de necrosis (macroscópica, microscópica), formación de túbulos e infiltración.
En conclusión, la citología no nos puede determinar ni el tipo exacto de tumor mamario ni el grado de malignidad. Entonces ¿para qué usarla? Desde mi punto de vista, hay dos necesidades:
- Desde el lado del tutor, vamos a necesitar usarla sobre la lesión para confirmar primero que es una neoplasia mamaria y no otro tipo que puede aparecer en la región, fundamentalmente lipomas y mastocitomas. Además, nos permitirá tener nociones sobre su posible malignidad, de manera que nuestras recomendaciones médicas ganen peso de cara a su manejo y control.
- Desde el punto de vista del veterinario, la citología en las neoplasias mamarias tiene especial relevancia en la obtención del estadio clínico a través del sistema TNM (tamaño, estatus del linfonodo regional y presencia de metástasis pulmonar), ya que esta técnica presenta una alta sensibilidad y especificidad en la determinación de posibles invasiones tumorales.
Imagen citológica de lesiones
Quistes mamarios
Se producen como consecuencia de cambios displásicos en el sistema ductal de la glándula, haciendo que los conductos se dilaten hasta dar lugar a una cavidad.
Son más frecuentes en hembras de edad media-avanzada. Cuando se punciona la lesión extraemos un líquido marrón-amarillento que, salvo que exista inflamación concomitante, es casi completamente acelular.
Podremos ver macrófagos en estado espumoso y gránulos de pigmento oscuros en su interior. También apreciaremos pequeños agregados de células epiteliales en sábana, que nunca tendrán criterios de malignidad, o al menos no más de tres nucleares o cuatro poblacionales (estas células son del epitelio de revestimiento del quiste).
Si existe una inflamación provocada por la ruptura del quiste, veremos un infiltrado de neutrófilos y cristales de colesterol de las membranas celulares de las células epiteliales del quiste de revestimiento.
Neoplasias benignas
Normalmente las muestras suelen tener un fondo muy sucio, material proteico de basofilia muy variable, lípidos y células espumosas, aparte de las células propiamente tumorales.
En tumores epiteliales veremos agregados o sábanas de tamaño variable de células epiteliales con escasas atipias. Los límites citoplasmáticos no suelen estar muy marcados, hay cierta basofilia citoplasmática y pueden tener vacuolas secretoras en su interior. El núcleo es ligeramente excéntrico, redondo, de cromatina fina, regular y con un posible nucléolo prominente de tamaño homogéneo. No veremos mitosis ni multinucleaciones. Podremos distinguir acinis.
Podemos tener neoplasias mixtas o complejas, en donde aparte de lo anteriormente descrito veremos entre los grupos de las células epiteliales células fusiformes, individuales o formando pseudogrupos. Estas células pueden ser mioepiteliales (serán neoplasias complejas) o fusiformes (neoplasias mixtas).
En tumores mixtos podemos observar una matriz eosinófila, densa y amorfa, que puede ser osteoide (veremos también osteoblastos, osteoclastos) o condroide.

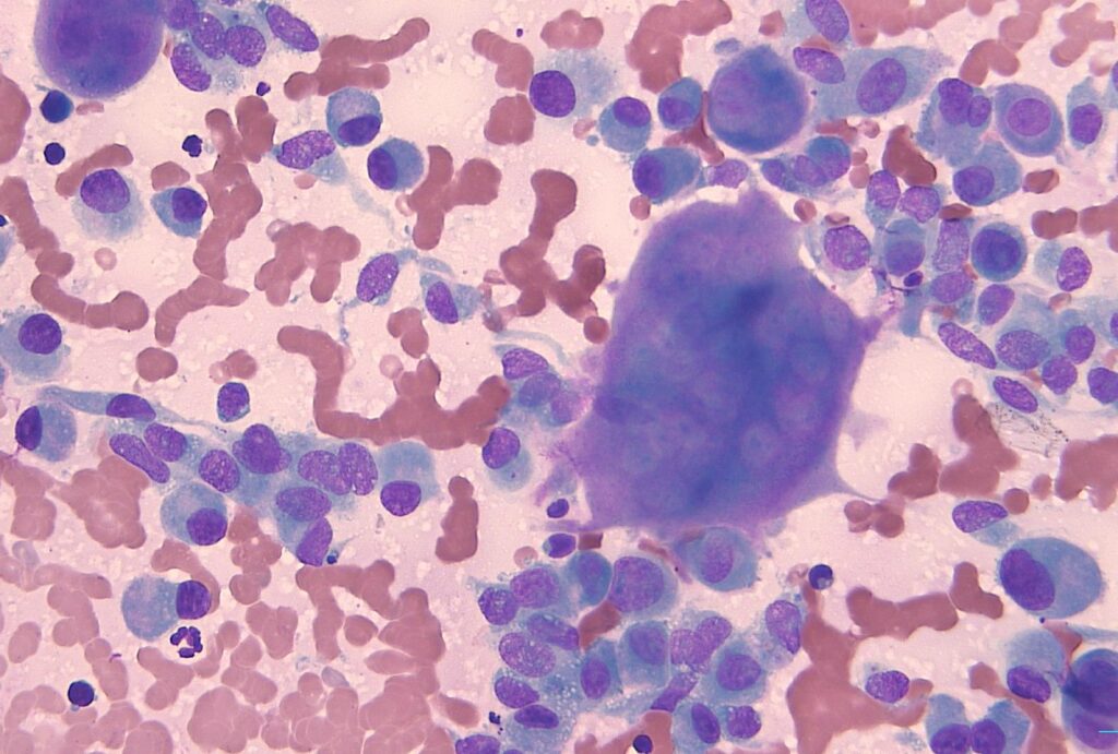
Neoplasias malignas
Principalmente nos fijaremos en criterios nucleares de malignidad.
En adenocarcinomas veremos los agregados de células anteriormente descritos, con la presencia de acinis. Estas células tendrán alterada, principalmente aumentada, la relación N:C, anisocitosis y anisocariosis variable, moldeamiento nuclear, alteración del patrón de cromatina, nucléolos hipernumerarios y/o aberrantes, multinucleaciones y presencia de mitosis, muchas de las cuales serán aberrantes.
El grado máximo de malignidad epitelial es el carcinoma anaplásico en cuyo caso, citológicamente, las células serán muy grandes, distribuidas tanto individualmente como en agregados. El núcleo será aberrante y se observarán frecuentes multinucleaciones y mitosis atípicas.
En el caso de los tumores mixtos veremos una mezcla de células epiteliales y fusiformes. La proporción de cada una de ellas no debe usarse como método diagnóstico citológico, ya que en función del área que hayamos puncionado veremos proporciones diferentes.
Respecto a los sarcomas mamarios, veremos características típicas de la estirpe fusiforme, es decir, poca exfoliación de células, dispuestas principalmente de manera individual, citoplasma claro, límites poco marcados. En condrosarcomas, osteosarcomas y fibrosarcomas tendremos la presencia de una matriz eosinófila amorfa extracelular. Los criterios de malignidad que indiquen si es benigno o maligno son los normales en esta estirpe: aumento del número de células exfoliadas, aumento de los límites citoplasmáticos o de la basofilia citoplasmática, multinucleación, mitosis, etc.

Bibliografía:
- Cassali, et al.; Consensus Regarding the Diagnosis, Prognosis and Treatment of Canine and Feline Mammary Tumors – 2019. Braz J Vet Pathol, 2020, 13(3), 555 – 574 DOI: 10.24070/bjvp.1983-0246.v13i3p555-574
- Moreira IM, kamiguchi IE, Trindade FDS, Sant’ anna PB, et al. (2017). Canine Mammary Carcinoma: Comparative Study between Cytopathological and Histopathological Assays. Mathews J Cytol Histol. 1(1): 003.
- Cuellar, P. A. M., Rocha, N. S., de Souza, N. F., & Dinau, F. C. (2024). Breast carcinoma in a dog: sensitivity and specificity between cytopathology and histopathology. Brazilian Journal of Veterinary Medicine, 46, e003024. https://doi.org/10.29374/2527-2179.bjvm003024






