ACTUALIDAD
- “Mi tesis busca establecer un sistema objetivo y reproducible para clasificar las muertes anestésicas con una utilidad clínica”.
Entrevista a Eva Zoe Hernández Magaña. - “VET EXPERT planea seguir ampliando su catálogo con un enfoque constante en la innovación y la especialización”.
Entrevista a Francisco Javier Díaz (VET EXPERT). - Diagnóstico: asesinato. Capítulo 2.
- Agenda
- Noticias
GESTIÓN Y MARKETING
- De la experiencia cliente a la experiencia empleado: ¿te atreves?
- El uso de la inteligencia artificial para evaluar quejas en los centros veterinarios.
- Claves para la toma de decisiones en el centro veterinario.
EN PORTADA: NEUROLOGÍA
- Displasia tricúspide y fibrilación atrial en un braco de Weimar.
- Intervencionismo en la válvula pulmonar en perros: revisión de técnicas y resultados.
- Diagnóstico, tratamiento y prevención de la dirofilariosis en hurones.
- Técnicas intervencionistas en cardiología veterinaria
MÁS CLÍNICA
- Las enfermedades autoinmunitarias en dermatología veterinaria (y II).
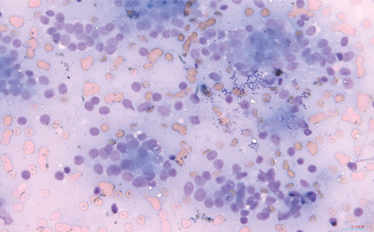
- El uso de la citología en el estudio de tumores de mama en la perra y en la gata.
- Anestesia en perros geriátricos (I).
- Empleo de catéter epidural en pequeños animales: revisión de la técnica y serie de casos clínicos.






