Alicia Cózar Fernández, Sandra Moreno Herranz
Hospital Veterinario AniCura Vetsia, Leganés, Madrid
El gato sphynx es una de las razas felinas más singulares desde el punto de vista dermatológico debido a su característica alopecia congénita, consecuencia de una mutación genética. Esta particularidad confiere a estos animales una predisposición elevada a diversas patologías cutáneas. Entre las más frecuentes se incluyen procesos alérgicos e inflamatorios asociados a hipersensibilidad, así como procesos mastocíticos, caracterizados por una proliferación anómala de mastocitos en la dermis, que pueden manifestarse clínicamente en forma de nódulos, prurito recurrente y lesiones crónicas.
Reseña e historia clínica
Acude a consulta un gato macho castrado de raza sphynx, de 7 años de edad, por la aparición recurrente de lesiones en la región ventral de la piel del cuello que, según comentan los tutores, le generan picor y molestia, sin que hasta el momento se haya llegado a un diagnóstico definitivo.
Se realiza una anamnesis detallada centrada en el estilo de vida y la evolución clínica del paciente. Se trata de un gato adquirido a través de un criador, con estilo de vida principalmente indoor y acceso a una terraza. Se encuentra debidamente vacunado y desparasitado y convive con otros dos gatos sin lesiones dermatológicas. Los tutores tampoco han presentado nunca lesiones. Se alimenta de dieta comercial a base de pollo y vegetales.
Historial clínico previo
El año anterior, el paciente acudió a urgencias con un cuadro de derrame pleural y pericárdico, tras el cual fue diagnosticado de displasia mitral. Desde entonces, sigue un tratamiento con benacepril, clopidogrel y torasemida. En el momento de la consulta, la cardiopatía se encuentra clínicamente estable.
De forma esporádica presenta episodios de tos seca autolimitante, cuyo origen no se ha investigado, durante los cuales adopta una postura característica, apoyándose sobre las extremidades anteriores y extendiendo el cuello.
No se refieren cambios recientes en la dieta, viajes, introducción de medicación nueva en el marco del tratamiento cardiaco, vacunaciones recientes ni acceso a tóxicos.
Historial dermatológico
Durante su etapa juvenil, en primavera, los tutores observaron lesiones dermatológicas en las extremidades posteriores, muy similares a las que presenta actualmente. En aquel momento se tomó una muestra para histopatología que no fue concluyente, y se instauró un tratamiento con antibiótico sin respuesta clínica. Estas primeras lesiones se resolvieron de forma espontánea después de un tiempo.
Ante la sospecha de un proceso alérgico, se inició un protocolo de diagnóstico específico mediante una dieta de eliminación con pienso hidrolizado estricto, sin prueba de provocación.
En los dos años posteriores, coincidiendo de nuevo con la primavera, presentó lo que los tutores describen como lesiones “con relieve y engrosamiento de la piel, que primero son de color rojizo y después se oscurecen”, en la región ventral del tórax y el abdomen. En el primer brote estas lesiones se resolvieron sin necesidad de tratamiento, mientras que en el segundo se instauró un ciclo corto de corticoides, del cual no conocemos la duración exacta y la pauta. En opinión de los tutores, no tuvo efecto y finalmente las lesiones desaparecieron posteriormente de forma espontánea.
Tras varios años sin recidivas, durante una revisión cardiológica rutinaria realizada en invierno, se detectó un nuevo brote, que no respondió a la aplicación de productos tópicos a base de rosa mosqueta y Aloe vera. En ese momento se decidió realizar una interconsulta con el servicio de dermatología.
Cuando indagamos acerca de una posible disminución en la percepción de la calidad de vida del paciente, los tutores describen un nivel moderado de prurito, con manifestaciones de rascado y lamido valorado en aproximadamente 6/10 en la escala VAScat. Los tutores también han apreciado que el gato les “pide” que le acaricien y le rasquen, y se queda calmado después.
Examen físico y dermatológico
Exploración física general
El paciente se muestra alerta, activo y colaborador en la consulta. Durante la auscultación cardiopulmonar se detecta un soplo evidente en la proyección de la válvula mitral, sin otras anomalías.
A nivel general, se encuentra estable y el examen físico es normal.
Exploración dermatológica
Se observan múltiples lesiones papulares y en placa, sobreelevadas, eritematosas y coalescentes, de gran tamaño, localizadas en la región cervical ventral, desde el mentón hasta la entrada del esternón (imagen 1). Algunas lesiones presentan costras con aspecto y tacto oleoso.

Son evidentes también algunas regiones hiperpigmentadas, de distribución multifocal y que coinciden con las regiones anatómicas con brotes previos: tórax ventral y abdomen. El resto de la piel corporal se encuentra en las condiciones normales de un gato de esta raza.
En los conductos auditivos externos se detecta una cantidad moderada de cerumen. En los espacios interdigitales y la zona periungueal se observa una pequeña cantidad de secreción marronácea en las cuatro extremidades.
El patrón dermatológico se clasifica como placo-nodular, sobre el que se estructura el protocolo diagnóstico.
Diagnósticos diferenciales
En función de la anamnesis, la evolución clínica y los hallazgos dermatológicos, se plantean los siguientes diagnósticos diferenciales, ordenados de mayor a menor probabilidad: mastocitosis cutánea papulonodular pigmentada (anteriormente denominada urticaria pigmentosa), placas eosinofílicas como patrón de reacción del síndrome atópico felino, mastocitomas cutáneos múltiples y dermatofitosis.
Pruebas complementarias
Como primer paso, antes de iniciar nuestro protocolo, consideramos prudente asegurarnos de que el paciente se encontraba estable, por lo que solicitamos una analítica sanguínea completa que no muestra alteraciones. Para avanzar sobre el origen de los episodios de tos, realizamos un estudio radiográfico, que es sugestivo de asma bronquial. Para la confirmación de esta patología se requiere un lavado traqueobronquial, pero los tutores deciden posponerla.
La exploración con lámpara de Wood y la tricografía no evidencian fluorescencia ni alteraciones estructurales en los tallos pilosos compatibles con dermatofitosis, por lo que no se realiza cultivo fúngico ya que la dermatofitosis es la menos probable entre las posibilidades diagnósticas (gato indoor, ausencia de lesiones en congéneres, etc.).
Las citologías se obtienen mediante punción aspiración con aguja fina (PAAF), que proporciona muestras de buena calidad con abundante celularidad y buena conservación de la morfología celular. El fondo presenta leve hemodilución.
La población predominante está formada por neutrófilos con características de degeneración tales como cariolisis/cariorrexis, así como por células plasmáticas sin atipias evidentes. También se observan abundantes eosinófilos, así como algunos mastocitos. No se detectan microorganismos.
Para el control de los dos diagnósticos diferenciales más probables (mastocitosis cutánea y síndrome atópico) se requeriría medicación inmunomoduladora. El paciente es especialmente sensible a este tipo de terapias por su cardiopatía, y los tutores acceden a realizar una biopsia bajo sedación controlada para estudio histopatológico. También se toma una muestra para cultivo y antibiograma.
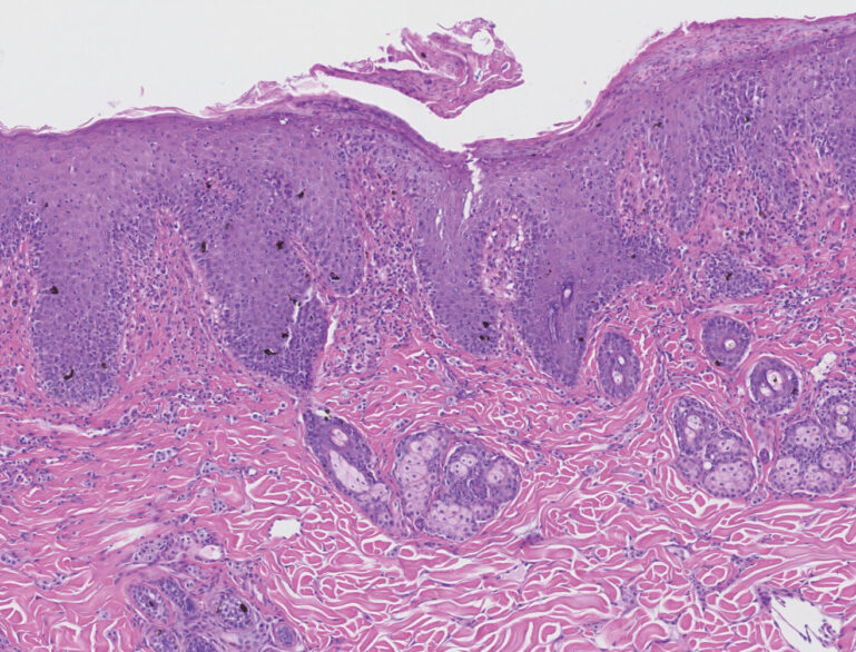
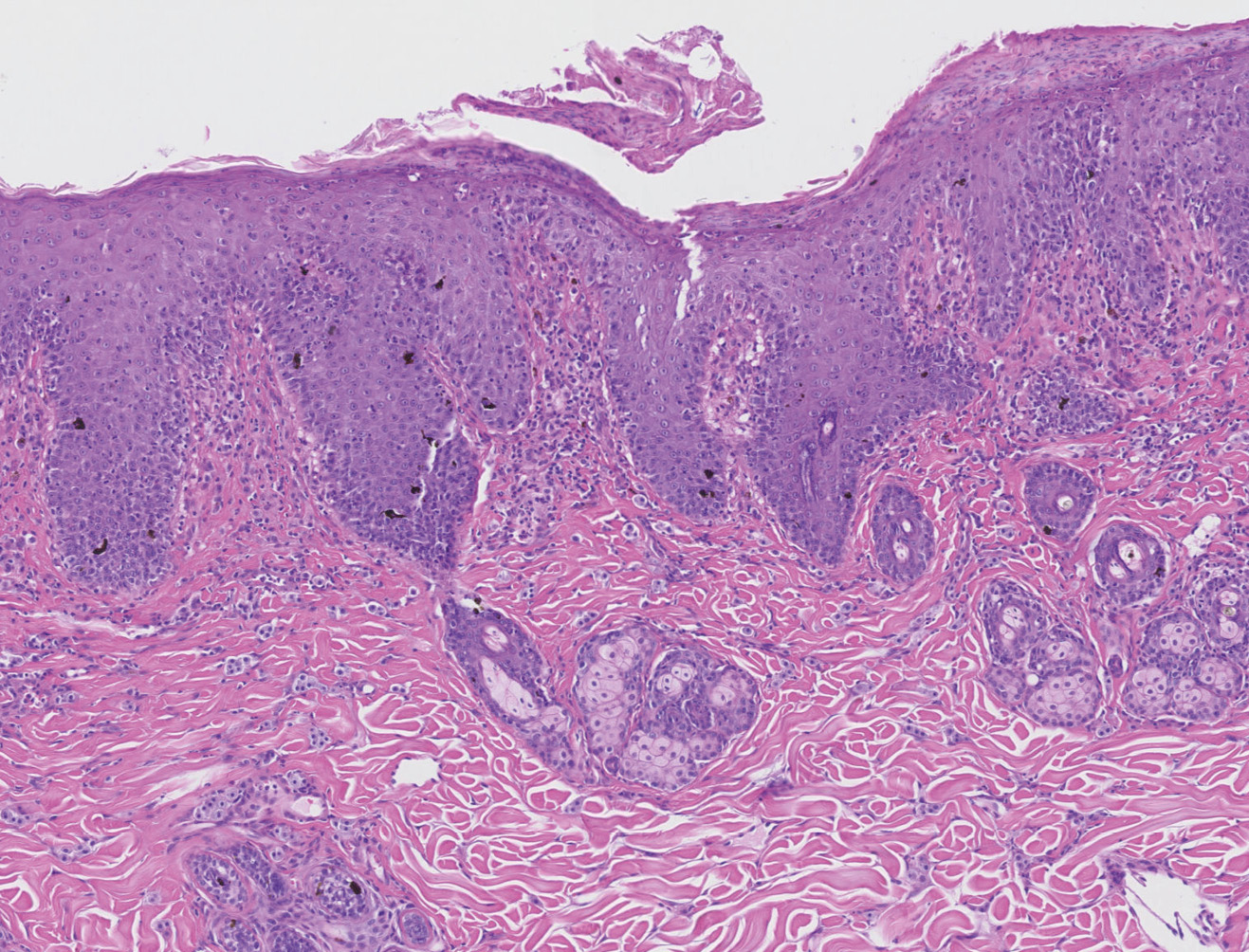
En la histopatología (imagen 2) se observa una dermatitis hiperplásica, mastocítica, neutrofílica, eosinofílica y plasmacítica, de distribución perivascular a intersticial, moderada, crónica, con formación de costras. Estos hallazgos se encuentran en los procesos de mastocitosis típicos de la raza sphynx. Según el patólogo, estos cambios también se encuentran en una dermatitis alérgica que podría ser consecuencia de atopia, alergia alimentaria, reacción a la picadura de pulgas/artrópodos o reacciones medicamentosas; por ello, el diagnóstico definitivo se obtiene teniendo en cuenta la historia y los signos clínicos.

En el cultivo del tejido crece un Staphylococcus spp. sensible a todos los grupos de antibióticos propuestos por el laboratorio y que se considera secundario al proceso inflamatorio.
Tratamiento y evolución
Dada la localización anatómica limitada de las lesiones y el riesgo de descompensación cardiaca asociado al uso de corticoides vía oral, se instaura un tratamiento a base de corticoide tópico (aceponato de hidrocortisona). Este fármaco tiene poco riesgo de llegar a circulación sistémica. Se opta por una terapia diaria mediante pulverización sobre una gasa que se aplica posteriormente sobre las lesiones.
En una semana las lesiones reducen su tamaño y se encuentran menos eritematosas, de modo que se disminuye la frecuencia de administración a días alternos. Después de tres semanas de tratamiento, las lesiones se han resuelto por completo (imagen 3).
Se mantiene una terapia proactiva con una administración del producto una vez por semana hasta que, cuatro meses después, los tutores nos comentan que el gato vuelve a presentar lesiones de aspecto similar, pero en una localización anatómica diferente (zona ventral del abdomen, imagen 4).
Las nuevas lesiones son similares a las anteriores, pero la citología muestra un infiltrado neutrofílico predominante, de modo que se utiliza el mismo tratamiento y se acompaña de la aplicación de toallitas con clorhexidina al 3 %.
Tras dos semanas, las lesiones han desaparecido por completo y solo se observa la zona hiperpigmentada con leve relieve (imagen 5).
Actualmente, el paciente se mantiene con terapia proactiva mediante aceponato de hidrocortisona dos veces por semana y limpieza periódica mediante toallitas antisépticas con clorhexidina.

Discusión
En el caso descrito, el diagnóstico se estableció a partir de la integración de una anamnesis detallada, la exploración clínica y los hallazgos del estudio histopatológico.
La mastocitosis cutánea es una enfermedad rara descrita principalmente en gatos de raza sphynx, que comparte características con su homóloga en medicina humana. Se caracteriza por la proliferación clonal de mastocitos en la dermis, habitualmente acompañada de un infiltrado eosinofílico, y se manifiesta clínicamente mediante lesiones cutáneas con hiperpigmentación variable, con o sin signos sistémicos asociados.
En los últimos años, esta entidad ha sido revisada y reclasificada en función de las presentaciones clínicas descritas hasta el momento. Se reconocen tres formas principales: lesiones de gran tamaño, típicamente localizadas en cuello, axilas y hombros, con tendencia a la resolución espontánea (mastocitosis cutánea maculopapular polimórfica, MCMP); lesiones maculopapulares de menor tamaño, frecuentemente asociadas a la formación de costras (mastocitosis cutánea maculopapular monomórfica, MCMM); y una forma más crónica, caracterizada por liquenificación e hiperpigmentación persistente, anteriormente denominada urticaria pigmentosa clásica. Este último término ha caído en desuso, ya que el concepto de “urticaria” hace referencia a un proceso agudo y no refleja adecuadamente el curso crónico de estas lesiones. En la clasificación actual, para esta tercera presentación se propone el término mastocitosis cutánea maculopapular pigmentada (MCPP).
El prurito está presente en la mayoría de las presentaciones clínicas y se relaciona con la liberación de enzimas proteolíticas por parte de mastocitos y eosinófilos. La hiperpigmentación se asocia principalmente a la cronicidad del proceso inflamatorio; no obstante, se ha propuesto que los mastocitos podrían contribuir de forma directa mediante la secreción de factor de células madre (SCF) que, a su vez, estimula la actividad melanocítica y la producción de melanina.
En el presente caso, el estudio histopatológico planteó como diagnósticos diferenciales la dermatofitosis, el síndrome atópico felino, el mastocitoma cutáneo múltiple, las reacciones a picaduras de artrópodos o insectos y las reacciones medicamentosas:
- La dermatofitosis se consideró poco probable debido al estilo de vida indoor del paciente, la resolución espontánea de brotes previos y la ausencia de lesiones en los animales convivientes.
- La histopatología nos llevó a descartar que el origen fueran las picaduras de insectos u otro tipo de artrópodos, algo poco probable si tenemos en cuenta el estilo de vida del paciente y la resolución espontánea de las lesiones, sin tratamiento antiparasitario.
- El mastocitoma cutáneo múltiple, descrito en gatos jóvenes con presentación recurrente, suele mostrar características histopatológicas bien definidas en la especie felina, que no se correspondían con los hallazgos observados en este caso.
- Asimismo, la posibilidad de una reacción medicamentosa se consideró improbable, dado que el paciente no había recibido medicación nueva, ni vacunaciones o desparasitaciones recientes.
La principal dificultad diagnóstica surgió al diferenciar este proceso de las placas eosinofílicas como uno de los patrones de reacción del síndrome atópico felino. El diagnóstico del síndrome atópico, tanto en perros como en gatos, es clínico, y en la especie felina se manifiesta a través de cuatro patrones principales: prurito cervicofacial, alopecia extensiva, dermatitis miliar y lesiones del complejo granuloma eosinofílico. Entre ellos, la placa eosinofílica sería el patrón clínicamente más compatible. Sin embargo, cabría esperar un predominio más marcado de eosinófilos frente a la población mastocítica en el infiltrado inflamatorio. Exclusivamente en función del infiltrado, no es posible concluir que se trate de una lesión típica de un proceso alérgico. En este contexto, sería interesante completar el protocolo diagnóstico mediante una determinación específica de alérgenos.
Por todo ello, el diagnóstico de mastocitosis cutánea maculopapular pigmentada se sustentó en la historia dermatológica del paciente, la predisposición racial, los hallazgos clínicos y la confirmación histopatológica.
En cuanto al manejo clínico, el hecho de que se tratara de un paciente cardiópata complicó aún más el tratamiento, ya de por sí difícil, especialmente en pacientes felinos. Los gatos son reticentes a que se les administren medicamentos por cualquier vía y, en este caso, el tratamiento de la cardiopatía tenía “prioridad” frente a administrar un fármaco por vía oral para el proceso dermatológico. Ello, unido al hecho de que los corticoides se deben administrar con mucha precaución en animales cardiópatas, nos inclinó a utilizar un tratamiento con un corticoide tópico, aceponato de hidrocortisona, que ha mostrado su baja absorción sistémica y un impacto mínimo sobre la supresión del eje hipotálamo-hipofisario.
En la actualidad, el paciente se mantiene estable mediante un tratamiento proactivo con aceponato de hidrocortisona y la limpieza regular de las zonas proclives a disbiosis —incluidos espacios interdigitales y pliegues cutáneos— mediante toallitas antisépticas.
Agradecimientos
Nuestro más sincero agradecimiento a la Clínica Veterinaria Minipatitas de Estremera, Madrid, por confiarnos este caso, y a LetiPharma, por la cesión de la imagen histopatológica.
Bibliografía:
- Ngo J, Morren MA, Bodemer C, Heimann M, Fontaine J. Feline maculopapular cutaneous mastocytosis: a retrospective study of 13 cases and proposal for a new classification. J Feline Med Surg. 2019 Apr;21(4):394-404. doi: 10.1177/1098612X18776141. Epub 2018 Jun 4. PMID: 29860905; PMCID: PMC10814638.
- Miller WH, Griffin CE and Campbell KL. Urticaria pigmentosa. In: Muller & Kirk’s small animal dermatology. 7th ed. St Louis, MO: Elsevier, 2013, p 612.
- Favrot C, Steffan J, Seewald W, et al. Establishment of diagnostic criteria for feline nonflea-induced hypersensitivity dermatitis. Vet Dermatol 2011; 23: 45–e11
- Colombo S, Scarampella F, Ordeix L, et al. Dermatophytosis and papular eosinophilic/mastocytic dermatitis (urticaria pigmentosa-like dermatitis) in three Devon Rex cats. J Feline Med Surg 2012; 14: 498–502. 26 Lepri E, Ricci G, Leonardi L, et al.
- Henry C and Herrera C. Mast cell tumors in cats. J Feline Med Surg 2012; 15: 41–47.
- Roosje PJ, Koeman JP, Thepen T, et al. Mast cells and eosinophils in feline allergic dermatitis: a qualitative and quantitative analysis. J Comp Pathol 2004; 131: 61–69.
- Fujimura M, IshimaruI H: Influence of a Diester Glucocorticoid Spray on the Cortisol Level and the CCR4+ CD4+ Lymphocytes in Dogs with Atopic Dermatitis: Open Study. Journal of Veterinary Medicine.
- Colombo S, Sartori R, Schievano C, Borio S. Development and validation of an owner-assessed Visual Analog Scale for feline pruritus severity scoring (VAScat). Vet Dermato. 2022 Oct; 33(5); 407-413.









