Marcos Fernández Monzón
Acred. AVEPA Dermatología
Practice manager y responsable del servicio de dermatología en AniCura Navia Hospital Veterinario (Vigo)
Imágenes cedidas por el autor
Bajo el enigmático término alopecia X se engloban diversas patologías caracterizadas por una detención del ciclo folicular. A lo largo de los años, esta entidad ha recibido múltiples denominaciones en función de la respuesta observada a distintos tratamientos, del aspecto clínico de los animales afectados o de las hipótesis planteadas sobre su patogenia. Así, lo que hoy conocemos como alopecia X ha sido descrito previamente como alopecia que responde a la castración, dermatosis con respuesta a la hormona de crecimiento, pseudocushing, hiperplasia adrenal congénita, displasia folicular de las razas nórdicas o black skin disease.
Se trata de una patología descrita exclusivamente en la especie canina, que afecta de forma predominante a perros de raza pomerania (imagen 1) y a otras razas denominadas plush-coated, en referencia a su manto doble, como el chow-chow, samoyedo o alaskan malamute, entre otros perros nórdicos. También se ha descrito en razas como el caniche y en animales mestizos. No obstante, en la actualidad se recomienda reservar el término alopecia X para el pomerania y el grupo de los spitz europeos (keeshond, spitz alemán en sus tres variedades de tamaño y volpino italiano), razas genéticamente muy próximas y en las que existe una sólida evidencia de predisposición hereditaria. En el resto de las razas o los individuos afectados, genéticamente más distantes, se considera más apropiado emplear el término alopecia X-like (imagen 2).
Desde el punto de vista clínico, la alopecia X se incluye dentro del patrón de alopecia difusa, simétrica y no inflamatoria, junto a endocrinopatías clásicas (como el hiperadrenocorticismo, el hipotiroidismo y los desequilibrios de hormonas sexuales), así como otras entidades como las displasias foliculares asociadas a determinadas razas o colores de manto, la alopecia cíclica o recurrente canina, el efluvio telógeno o anágeno y la alopecia posterior al rasurado, entre otros diagnósticos diferenciales.
¿Qué sabemos de la patogenia?
Este proceso también se conoce como arresto folicular, ya que en los animales afectados se produce una detención del ciclo del folículo piloso. Sin embargo, las causas subyacentes no están completamente aclaradas. A lo largo de los años se han propuesto distintas teorías para explicar su patogenia, aunque ninguna de ellas explica de forma consistente todos los casos clínicos.
La enfermedad fue descrita por primera vez en 1977 y, en un inicio, se relacionó con una deficiencia de hormona de crecimiento. Varias investigaciones avalaban esta hipótesis y se pensaba que era un tipo de hiposomatotropismo del perro adulto. Algunos estudios respaldaron esta hipótesis, pero investigaciones posteriores mostraron resultados contradictorios tanto en la medición de la hormona de crecimiento como en la respuesta clínica de los pacientes tratados, con o sin suplementación hormonal.
En la década de 1990 surgió una nueva hipótesis que vinculaba la alopecia X a un desequilibrio de hormonas sexuales de origen adrenal. Se planteó la existencia de una deficiencia en la enzima 21-hidroxilasa, similar a la descrita en personas con hiperplasia adrenal congénita, lo que daría lugar a un aumento de 17-hidroxiprogesterona, androstendiona y estradiol (imagen 3). Sin embargo, esta hipótesis presenta importantes limitaciones: en humanos, la hiperplasia adrenal congénita cursa con signos clínicos sistémicos además de las alteraciones cutáneas, mientras que los perros con alopecia X únicamente manifiestan cambios dermatológicos, de manera que se considera un proceso de carácter estético.

Se planteó asimismo que la detención del ciclo folicular pudiera estar relacionada con alteraciones en los niveles de cortisol o de hormonas sexuales, por su efecto inhibidor sobre la fase de anagen. No obstante, los intentos de documentar estas alteraciones hormonales —incluidas las pruebas de estimulación con ACTH— han arrojado resultados contradictorios y altamente variables, sin permitir diferenciar de forma fiable entre animales sanos y afectados con alopecia X. Incluso tras una estimulación con ACTH y con mediciones pre y post estimulación, las mediciones no fueron concluyentes.
En la actualidad, la hipótesis más aceptada propone que estos animales presentan alteraciones locales, y no sistémicas, bien en los receptores foliculares o bien en el metabolismo y producción de los esteroides a nivel cutáneo. Se sabe que la piel posee una actividad neuroendocrina propia, con capacidad para sintetizar y metabolizar hormonas de forma local. Alteraciones in situ en estos mecanismos serían las responsables de la detención del ciclo folicular y de la aparición de la alopecia. Además, existe una evidencia creciente de predisposición genética, y en pomeranias afectados se han descrito diferencias en la expresión de genes implicados en el crecimiento folicular y el metabolismo esteroideo.
¿Cómo reconocemos la enfermedad?
Como en cualquier proceso dermatológico, el diagnóstico debe abordarse de forma sistemática. El primer paso es una anamnesis y una historia clínica lo más completas posible. Los animales afectados suelen ser adultos jóvenes y pertenecer a razas concretas, principalmente el grupo de los spitz europeos y otras razas nórdicas de manto doble; entre ellas, el pomerania es la raza más representativa.
La exploración física general es normal y no se detectan signos clínicos sistémicos asociados, por lo que se considera un proceso de carácter estético. Desde el punto de vista dermatológico, inicialmente se observa un cambio en la calidad del manto, con disminución del volumen y alteración de la textura debido a la pérdida de pelos primarios (imagen 4). De forma progresiva aparece una alopecia difusa en el tronco, especialmente en zonas de roce como el cuello o la región perineal, mientras que la cabeza y la porción distal de las extremidades no suelen verse alteradas. Las áreas afectadas suelen hiperpigmentarse (imagen 5) y presentar distintos grados de xerosis, por lo que puede aparecer descamación y, en algunos casos, complicaciones secundarias por infecciones oportunistas.


Los animales no presentan prurito, y el pelo residual se desprende con facilidad como consecuencia de la telogenización folicular. Un hallazgo llamativo es el crecimiento de pelo en áreas sometidas a traumatismo cutáneo, como el lugar de toma de una biopsia.
En conjunto, el paciente típico con alopecia X es un pomerania adulto joven con alopecia progresiva en el tronco y zonas de roce, sin signos clínicos sistémicos compatibles con una endocrinopatía, como poliuria/polidipsia, aumento de peso, apatía o disminución de la actividad.
¿Qué pruebas realizamos en estos pacientes?
Ante una alta sospecha tras la historia clínica y la anamnesis, se recomienda realizar un perfil analítico completo con hematología y bioquímica para descartar alteraciones compatibles con hiperadrenocorticismo o hipotiroidismo. Asimismo, es aconsejable medir las hormonas tiroideas (T4 total y TSH) y evaluar la densidad urinaria, que en estos pacientes suelen encontrarse dentro de los rangos normales.
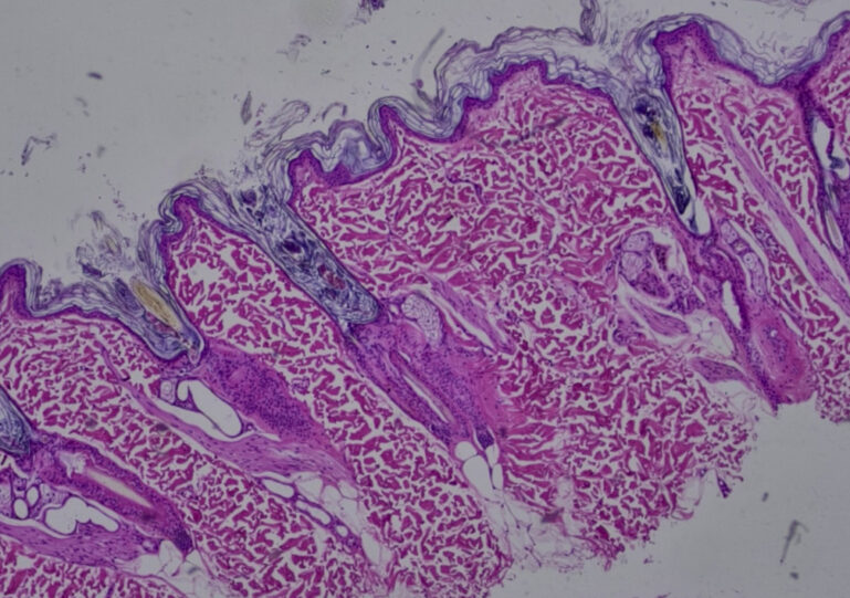
Si, tras estas pruebas iniciales, la sospecha de alopecia X se mantiene, puede plantearse la realización de biopsias cutáneas para estudio histopatológico (imagen 6). No obstante, es importante tener en cuenta que la histopatología no permite establecer un diagnóstico definitivo, ya que muchas dermatosis endocrinas comparten un patrón histológico similar. El informe histológico puede describir cambios compatibles con una endocrinopatía, pero el diagnóstico final debe basarse en la correlación clínico-patológica y en la historia del paciente. Aun así, existen hallazgos característicos que un dermatopatólogo experimentado puede identificar y que refuerzan la sospecha diagnóstica. Para ello se recomienda obtener varias biopsias con punch de 6-8 mm, preferiblemente de zonas con alopecia completa.

En la biopsia cutánea de perros con alopecia X pueden observarse los siguientes hallazgos:
- Hiperqueratosis ortoqueratótica variable con melanosis epidérmica.
- Telogenización con dilatación y signos de atrofia folicular.
- Presencia de “folículos en llama” por queratinización triquilemal excesiva.
- Folículos displásicos o invertidos.
- Glándulas sebáceas conservadas.
¿Qué opciones de tratamiento les podemos ofrecer?
El primer aspecto que debe abordarse con los cuidadores es que la alopecia X es una condición de carácter estético, por lo que puede optarse por no instaurar tratamiento. Sin embargo, esto no siempre resulta sencillo, ya que muchos propietarios adquieren estos animales por su aspecto físico, y para ellos es un factor muy importante. Es fundamental informarles sobre las diferentes opciones terapéuticas descritas, explicando que algunas presentan potenciales efectos adversos difíciles de justificar desde un punto de vista ético profesional, así como que la respuesta al tratamiento es variable, el pelo puede crecer con una calidad distinta y existe la posibilidad de recidiva.
Esterilización
La esterilización es la recomendación inicial en animales enteros. De hecho, durante años, la enfermedad fue conocida como “dermatosis que responde a la castración”, en referencia a la mejoría observada en muchos pacientes.
Según algunos autores, más del 40 % de los perros experimentan un crecimiento folicular completo tras la castración, mientras que aproximadamente un 17 % presentan una respuesta favorable transitoria, con recaída en los 6 meses siguientes. El pelo se recupera a partir de las 4-8 semanas tras la intervención, y la tasa de respuesta parece ser mayor en machos.
Melatonina
La melatonina constituye otra opción terapéutica con un perfil de seguridad elevado. Se trata de una hormona producida principalmente en la glándula pineal, con múltiples funciones, entre ellas la regulación del ritmo circadiano, la actividad antioxidante y la modulación inmunitaria.
Aunque el mecanismo exacto por el que induce el crecimiento folicular no está completamente aclarado, se sabe que inhibe la aromatasa —enzima responsable de la conversión de testosterona en estradiol— y la secreción de gonadotropinas, lo que favorecería el paso del folículo de telogen a una nueva fase de anagen.
La tasa de respuesta es variable y, en opinión del autor, parece ser inferior a la descrita en algunos estudios, que sitúan la recuperación parcial o completa del manto entre el 40 y el 60 %.
La dosis recomendada es de 3 mg cada 12 horas en perros de menos de 15 kg y de 6 mg cada 12 horas en perros de mayor tamaño. El tratamiento debe mantenerse durante un mínimo de 3 meses.
Acetato de deslorelina
Otra alternativa terapéutica es el uso de implantes de acetato de deslorelina, un superagonista de la GnRH endógena que bloquea de forma temporal y reversible la secreción de LH y FSH, lo que reduce los niveles de testosterona y estrógenos.
Se emplea habitualmente como alternativa a la castración quirúrgica y presenta un elevado perfil de seguridad. Su duración es variable (entre 6 y 14 meses) y su eficacia parece mayor en machos enteros, aunque existen publicaciones que describen su uso en animales esterilizados de ambos sexos.
La respuesta clínica suele observarse a los 2-3 meses, y aunque se requieren más estudios para definir la duración óptima del efecto, se recomienda la reimplantación aproximadamente cada seis meses.
Trilostano
Además de estas opciones, se han descrito otros tratamientos médicos como el trilostano, el mitotano o la medroxiprogesterona, con resultados variables y un mayor riesgo de efectos adversos.
El trilostano es el fármaco más estudiado en este contexto. Se utiliza habitualmente en el tratamiento del hiperadrenocorticismo y presenta tasas de respuesta elevadas en alopecia X. Actúa inhibiendo la enzima 3β-hidroxiesteroide deshidrogenasa (3β-HSD), por lo que se reduce la síntesis de progesterona y cortisol.
Aunque se considera relativamente seguro, se han descrito efectos adversos en hasta un 40 % de los pacientes, por lo que se recomienda una monitorización estrecha para vigilar la aparición de signos gastrointestinales, apatía o anorexia y evaluar periódicamente la reserva adrenal mediante pruebas de estimulación con ACTH. Cabe destacar que en la mayoría de las publicaciones sobre arresto folicular y trilostano se han utilizado dosis superiores a las actualmente recomendadas para el hiperadrenocorticismo, lo que refuerza la necesidad de una monitorización rigurosa.
Conclusión
En definitiva, aunque la alopecia X es una condición estética y no compromete la salud general del animal, supone una importante fuente de frustración para muchos cuidadores porque el aspecto de su mascota dista mucho de sus expectativas cuando la adquirieron. Por esta razón, parte fundamental de nuestro trabajo consiste en explicar la naturaleza de la enfermedad y orientar a los propietarios para que, en ausencia de respuesta a tratamientos considerados seguros, eviten recurrir a terapias sin respaldo científico o potencialmente perjudiciales. En estos casos, la recomendación final es proteger adecuadamente la piel del animal frente al frío y la radiación solar.
Bibliografía:
- Frank LA. Growth hormone-responsive alopecia in dogs. J Am Vet Med Assoc. 2005; 226:1494–1497.
- Welle M. Canine non inflammatory alopecia: an approach to its classification and a diagnostic aid. Vet Pathol. 2023; 60(6): 748-69.
- CrawfordM. Et al. Canine alopecia X-like disorder. Braz. J. Vet. Pathol. 2024; 17(1), 76-78.
- Cerundolo R, Lloyd DH, Persechino A, Evans H, et al. Treatment of canine Alopecia X with trilostane. Vet Dermatol. 2004; 15:285–293.
- Frank LA, Watson JB. Treatment of alopecia X with medroxyprogesterone acetate. Vet Dermatol. 2013; 24:624–627, e153–e154.
- Layne, E. A. & Richmond, R. V. Deslorelin Implant Treatment for Hair Cycle Arrest (Alopecia X) in Two Intact Male Keeshonden. Journal of the American Animal Hospital Association. 2028; 54(4), 231–234.







