Ana Raya Quintero1 y Manuel Jiménez Peláez2
1GV. Internado Rotatorio e Internado de Cirugía
2LV, MRCVS, Dipl. ECVS. Especialista Europeo y del RCVS en Cirugía de Pequeños Animales. Socio fundador, codirector y responsable del servicio de cirugía
Aúna Especialidades Veterinarias Hospital de Referencia – IVC Evidensia (Valencia)
Imágenes cedidas por los autores
Resumen
Los tumores secretores de insulina son poco frecuentes en perros y extremadamente raros en gatos. Los signos clínicos responden al estado de hipoglucemia inducido por la hiperinsulinemia e incluyen debilidad, temblores, ataxia y convulsiones.
En muchos casos no es posible realizar un diagnóstico preoperatorio, de manera que para su detección se debe recurrir a una exploración quirúrgica. El diagnóstico presuntivo se basa en la evidencia de hipoglucemia persistente con concentraciones de insulina séricas normales o incrementadas. La tomografía computarizada (TC) con contraste se considera la técnica de imagen de referencia. El diagnóstico final se confirma mediante histología y/o tinción inmunohistoquímica de una masa pancreática.
En general, el tratamiento quirúrgico de los insulinomas es la terapia de elección ya que mejora los tiempos de supervivencia (TMS) frente a la terapia médica. La combinación del tratamiento quirúrgico y médico suele requerirse en muchos casos.
El pronóstico a largo plazo es reservado, dado el potencial de recrecimiento tumoral y la presencia de micrometástasis no detectables macroscópicamente durante la cirugía.
En este artículo se describe un insulinoma pancreático complejo con invasión de la vena porta y con metástasis hepáticas en un beagle esterilizado de 6 años. El diagnóstico se basó en la presencia de signos clínicos, pruebas de imagen avanzada e histopatología. El tratamiento quirúrgico consistió en una pancreatectomía del cuerpo y del lóbulo izquierdo, junto con venotomía de la vena porta para extraer el trombo tumoral en bloque. La combinación con tratamiento médico mejoró el tiempo libre de enfermedad.
Introducción
El insulinoma es una neoplasia funcional de las células beta de los islotes pancreáticos secretora de insulina e independiente de los efectos supresores de la hipoglucemia. Se trata del tumor pancreático más común.
No existe predisposición sexual ni una clara predisposición racial, aunque algunos estudios sugieren una mayor tendencia racial por un grupo de razas en concreto.1-2 La edad media de presentación del insulinoma canino ronda los 9 años.3
Los signos clínicos suelen manifestarse de forma intermitente y destacan: convulsiones (52 %), debilidad generalizada (42 %), paresia de las extremidades pélvicas (33 %), colapso (28 %), fasciculaciones musculares (19 %), ataxia (18 %), polifagia (7 %), polidipsia y poliuria (6 %).2,5 También se ha descrito la presencia de una polineuropatía periférica caracterizada por una paraparesia (pélvica) o tetraparesia con signos de neurona motora inferior, que parece estar asociada a un desorden paraneoplásico inmunomediado.2
Los tipos histológicos más frecuentes son el carcinoma y el adenoma. Alrededor del 80 % se presentan como masas solitarias ubicadas en un lóbulo pancreático y de comportamiento maligno; y dado que la mayoría de los perros presentan en el momento del diagnóstico enfermedad en estadio II o III, se sospecha de metástasis en más de un 95 % de los casos en el momento de la detección (principalmente en ganglios linfáticos regionales y/o hígado).6,7 Sin embargo, la confirmación histopatológica de metástasis suele alcanzarse en solo un 50 % de los casos, llegando hasta un 64 % en estudios basados en necropsias por la falta de evidencia de lesiones macroscópicas identificables.8-11 Dado que la vida media de la insulina es de pocos minutos, se sugiere que la persistencia de hipoglucemia posoperatoria se debe a una resección tumoral incompleta o a la presencia de metástasis no detectables, y por ende no resecables, en el momento quirúrgico.12,13
La estadificación del insulinoma sigue el sistema TNM (tumor, ganglio linfático y metástasis) de la Organización Mundial de la Salud (tabla 1), y sirve como factor pronóstico.
| Tabla 1. Estadificación clínica del insulinoma según la Organización Mundial de la Salud. | |||
| Estadio deenfermedad | Tumor primario | Invasión linfática | Metástasisa distancia |
| Estadio I | T1 | N0 | M0 |
| Estadio II | T1 | N1 | M0 |
| Estadio III | T1 | N0 /N1 | M1 |
Por lo general, el tratamiento quirúrgico es el enfoque más eficaz para el insulinoma canino. Tanto la técnica quirúrgica como el abordaje dependen del número de masas, la localización y el estadio de enfermedad. La combinación del tratamiento quirúrgico y médico permiten un mejor control glucémico y tasas de supervivencia mayores.Este artículo describe el manejo quirúrgico de un insulinoma complejo de estadio III en un perro mediante pancreatectomía parcial y venotomía (vena porta), con el objetivo de aumentar el periodo libre de enfermedad y el TMS.
Descripción del caso clínico
Una perra beagle de 6 años y 16,2 kg fue remitida al Hospital Aúna Especialidades Veterinarias IVC Evidensia (Valencia) por la presencia de temblores, debilidad generalizada, colapso y tetraparesia no ambulatoria de un mes de duración. Inicialmente fue evaluada por los Servicios de Medicina Interna y Neurología.
Examen físico
El examen físico en el momento de la consulta reveló una tetraparesia no ambulatoria con flacidez marcada de los cuatro miembros (vídeos 1A y 1B); además, presentaba reflejos espinales muy disminuidos en los cuatro miembros y afonía.
Pruebas diagnósticas
Se realizaron mediciones de glucosa (46 mg/dL rr: 74 – 143) e insulina sérica (104 mU/l rr: <5 mU/l) y se observaron hipoglucemias graves asociadas a hiperinsulinemia, por lo que la principal sospecha fue la presencia de un insulinoma.
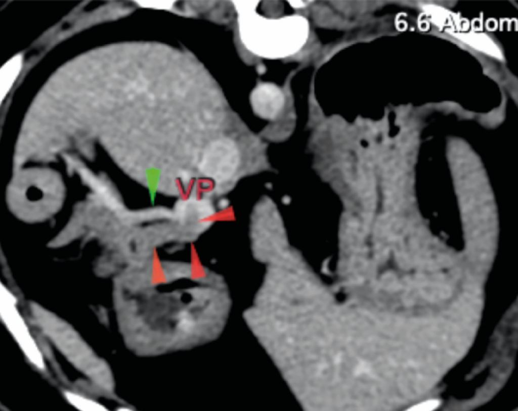
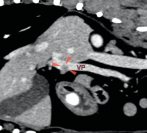
La ecografía abdominal reveló una lesión en el parénquima del cuerpo pancreático con posible invasión vascular a la vena porta. Una TC abdominal con contraste evidenció la lesión asociada al cuerpo del páncreas, con invasión de la vena porta (imágenes 1A y 1B), junto con la presencia incidental de un cuerpo extraño gástrico y signos de enfermedad degenerativa torácica y lumbosacra. Se realizó la extracción endoscópica del cuerpo extraño mediante gastroscopia durante el procedimiento anestésico.
Cirugía
En este contexto, y tras consenso con sus propietarios, la paciente fue derivada al Servicio de Cirugía para llevar a cabo el procedimiento quirúrgico oncológico.
Como parte del tratamiento médico prequirúrgico se instauró un régimen de alimentación específico y corticoterapia a base de 0,6 mg/kg diarios de prednisona, con el objetivo de promover la gluconeogénesis hepática y la glucogenólisis y contrarrestar los efectos de la insulina a nivel celular.
Se llevó a cabo una anestesia balanceada, evitando el uso de opiáceos mediante anestesia locorregional. La inducción se realizó con propofol y se llevaron a cabo controles seriados de glucemia mediante el uso de un catéter central.
Se realizó una laparotomía exploratoria por línea media ventral y se observó un nódulo en el cuerpo del páncreas con invasión de un trombo tumoral en la vena porta y otro nódulo de menor tamaño en el lóbulo izquierdo (imágenes 2A y 2B).
Se realizó la disección del lóbulo izquierdo y el cuerpo del páncreas, usando un sellador vascular/tisular, hasta una porción macroscópicamente libre de lesión. Se continuó con la disección de la vena porta y la vena gastroduodenal. A continuación, se colocaron tres torniquetes de Rummel (en la vena porta craneal y caudal a la invasión y en la vena gastroduodenal) y se procedió a realizar la venotomía de la vena porta y ligadura completa de la vena gastroduodenal al estar en la zona de la venotomía. De esta manera, se liberaron la porción del páncreas diseccionada y el trombo tumoral que invadía la vena porta. El cierre venoso se efectuó con sutura continua con polipropileno 6/0 USP y con hemoclips; después, se colocó un apósito de colágeno (vídeo 2).
Vídeo 2. Procedimiento quirúrgico completo. Pancreatectomía en bloque del lóbulo izquierdo, del cuerpo del páncreas y venotomía de la vena porta para retirar el trombo tumoral: disección del lóbulo izquierdo y cuerpo del páncreas con sellador vascular/tisular (y sección del páncreas en zona sana macroscópicamente), disección de la vena porta y la vena gastroduodenal, colocación de tres torniquetes de Rummel (en la vena porta craneal y caudal a la invasión y en la vena gastroduodenal), venotomía de la vena porta y ligadura completa de la vena gastroduodenal (ya que interfería con la zona de la venotomía), liberando así la porción del páncreas diseccionada y el trombo tumoral que invadía la vena porta. El cierre de la vena fue realizado con sutura continua con polipropileno 6/0 USP y con hemoclips, y después se colocó un apósito de colágeno.
Posteriormente, se realizó linfadenectomía pancreático-duodenal y la biopsia de dos lesiones hepáticas localizadas en el lóbulo lateral y medio derechos. Tras lavar el abdomen con solución salina estéril atemperada, se realizó el cierre de la cavidad abdominal de forma rutinaria en tres capas: muscular, subcutáneo y piel. Los tejidos extirpados fueron enviados al laboratorio para su estudio histopatológico (imagen 3).

Durante la cirugía, la enfermedad metastásica se evaluó mediante la inspección macroscópica de los ganglios linfáticos abdominales y el hígado, así como mediante el control de los niveles de glucosa en sangre tras la resección del insulinoma.
Manejo posoperatorio
La cirugía y la anestesia no presentaron complicaciones. El manejo posoperatorio consistió en una fluidoterapia controlada por objetivos, analgesia balanceada mediante bloqueo (imagen 4) e infusión continua de ketamina, mediciones de glucosa (imagen 5) y la instauración de una nutrición temprana a base de dieta rica en proteínas y carbohidratos de absorción lenta.
Estudio histopatológico
El estudio histopatológico del nódulo pancreático reveló un carcinoma neuroendocrino de los islotes pancreáticos (insulinoma) donde se apreció infiltración del trombo tumoral, junto con un foco metastásico en la muestra de hígado. No se detectaron células neoplásicas metastáticas en las muestras de nódulos linfáticos remitidos para su estudio.
Terapia adyuvante
Finalmente, fue evaluada por el Servicio de Oncología para instaurar una terapia teledirigida adyuvante a base de fosfato de toceranib con el objetivo de mejorar el control de la enfermedad. Dos meses tras la cirugía, en la ecografía abdominal no se identificaron signos de recurrencia local o metástasis. Los análisis de sangre no revelaron ningún parámetro anormal.
Evolución
Pasadas 2 semanas, la paciente ya estaba ambulatoria y mejorando progresivamente su capacidad para desplazarse (vídeos 3A y 3B).
Desafortunadamente, los tutores interrumpieron de manera indefinida, y sin aviso, el tratamiento adjuvante y, seis meses después, la paciente manifestó una recaída mediante la aparición de hipoglucemia y tetraparesia no ambulatoria. Los tutores rechazaron cualquier tratamiento y optaron por la eutanasia humanitaria.
Discusión
El insulinoma canino se considera una enfermedad poco reconocida en medicina veterinaria porque la hipoglucemia clínica puede ser intermitente e inespecífica, y puede imitar los signos clínicos de otras enfermedades endocrinas, neurológicas y/o metabólicas. Los signos clínicos responden al estado de neuroglucopenia y liberación excesiva de catecolaminas, junto con la estimulación del sistema nervioso simpático.
Los carcinomas neuroendocrinos de los islotes pancreáticos suelen presentar un comportamiento infiltrativo y extenderse hasta el interior de los vasos sanguíneos y linfáticos, produciendo metástasis en diferentes órganos como el hígado, los linfonodos regionales, el duodeno, el mesenterio y el bazo.
El diagnóstico puede ser desafiante por varios motivos:
- En primer lugar, los animales pueden presentarse euglicémicos en el momento del diagnóstico. En estos casos una baja concentración de fructosamina puede apoyar la sospecha, y es más fiable que la hemoglobina glucosilada (HbA1c).14,15 Sin embargo, existe un patrón analítico muy sugestivo de insulinoma que suele aparecer en el 70 % de los perros, en el que la glucosa es inferior a 60 mg/dL y los niveles de insulina sérica, superiores a 20 μU/mL, que concordó con los resultados de nuestra paciente y reforzó la sospecha.25
- Por otro lado, la insuficiente sensibilidad de las técnicas de imagen para detectar masas pancreáticas o focos metastáticos (sensibilidad de la ecografía abdominal en torno al 23-75 % según diversas fuentes, en comparación con un 52-89 % de la TC) hace que la laparotomía exploratoria, con o sin azul de metileno o verde de indocianina, sea la técnica más fiable para detectar insulinomas primarios y metastásicos.16-22 La falta de especificidad de las pruebas de imagen para el diagnóstico del insulinoma podría conducir a un mayor riesgo de resección tumoral incompleta durante la intervención, disminuyendo la supervivencia del paciente. Dado que, en ocasiones, no se observa ningún nódulo discreto durante el examen macroscópico del páncreas, la ecografía transquirúrgica podría ser de utilidad para mejorar la detección de posibles masas adicionales.24
Actualmente, la TC se considera la técnica de referencia para la detección y localización preoperatoria de insulinomas y metástasis. La ecografía resultaría útil si se consideran apropiados los aspirados o biopsias por aspiración con aguja fina ecoguiados de cualquier lesión hepática, ganglios linfáticos regionales y ganglios linfáticos agrandados detectados en la CT para facilitar la estadificación precisa de la TNM preoperatoria.
En nuestro caso, la ecografía abdominal identificó una lesión en el parénquima del cuerpo pancreático con posible invasión vascular y nódulos linfáticos aumentados de tamaño (aunque no metastásicos); estos hallazgos se confirmaron en la TC. Sin embargo, la enfermedad metastásica se evaluó mediante la inspección macroscópica del hígado y la localización de un segundo nódulo en el lóbulo pancreático izquierdo, que fue reseccionado.
Un estudio reciente sugiere la medición de glucosa intraoperatoria durante la resección del insulinoma como herramienta para orientar al cirujano en la evaluación de una resección más exhaustiva de tejido neoplásico secretor de insulina.13 La hipoglucemia posoperatoria y el estadio tumoral se han asociado con una mayor probabilidad de recidiva; se ha informado de hipoglucemia persistente después de la exploración quirúrgica en el 20 % al 23 % de los casos reportados en un estudio.4,8,9
Para mejorar el éxito de la detección de metástasis, un informe de caso reciente describió el uso de la linfografía de infrarrojo cercano con verde indocianina para la detección de ganglios linfáticos centinela en un perro con insulinoma.8
La pancreatectomía es el tratamiento de elección con periodos euglicémicos descritos de entre 348 a 424 días. En cuanto a la técnica quirúrgica, se prefiere realizar la pancreatectomía mediante la técnica de sellado vascular/tisular frente a la técnica de sutura-fractura, ya que mejora el rendimiento quirúrgico y es especialmente beneficiosa para lesiones de difícil acceso. La resección laparoscópica no se consideró en nuestro caso, dada la localización de las masas y la invasión vascular.
Una de las complicaciones posquirúrgicas más comunes es la pancreatitis. Algunos estudios describen que, aproximadamente el 19 % de los perros desarrollan diabetes mellitus después de la pancreatectomía como tratamiento del insulinoma, y los signos clínicos generalmente ocurren cuando se extirpa el 80 %-90 % del tejido pancreático.26,27
Los tiempos medios de supervivencia han ido incrementando en los últimos estudios, demostrándose que el tratamiento quirúrgico aumenta tres veces más la probabilidad de supervivencia que el tratamiento médico, con tiempos medios de supervivencia de 34 a 785 días en comparación con el tratamiento médico (de 74 a 308 días).2,6,8,9,17,21,22,23
Otro estudio reportó que los perros con resección de insulinomas pancreáticos sin evidencia macroscópica de metástasis tuvieron un intervalo libre de enfermedad normoglucémica de 14 meses, mientras que los perros con enfermedad metastásica tuvieron un intervalo libre de enfermedad de 1 mes. El tiempo de supervivencia varió de 1 a 18 meses en perros con metástasis a distancia (estadio III) en el momento de la cirugía inicial y de 2 a 36 meses en perros sin evidencia de metástasis a distancia o con metástasis solo en ganglios linfáticos.7
El tiempo medio de supervivencia de nuestra paciente fue de 6 meses. El objetivo del tratamiento quirúrgico fue reducir el estadio tumoral a solo enfermedad microscópica residual mediante la resección de toda masa macroscópicamente visible y potencialmente productora de insulina anómala para controlar la glucemia el mayor tiempo posible y mejorar el TMS en un caso complejo de insulinoma canino en estadio III con invasión vascular. El corto periodo libre de enfermedad se debió, por un lado, a la interrupción del tratamiento por parte del tutor y, seguramente, al alto porcentaje de enfermedad metastásica en el momento del tratamiento quirúrgico.
Pese a que existe controversia a la hora de plantear el tratamiento quirúrgico a pacientes con insulinoma en estadios II y III (con TMS de 652 a 785 días en el estadio 1, 574 días en el estadio 2, 182 a 217 días en el estadio 3 y 320 días en los estadios 2 y 3 combinados)8,9, algunos estudios recientes consideran que la estrategia quirúrgica junto con la medición de los niveles de glucosa en sangre intraoperatorios para garantizar la metastasectomía permiten reducir el estadio tumoral mejorando los TMS descritos anteriormente; se ha reportado una supervivencia de 762 días con un 65 % de los perros incluidos en el estudio con enfermedad metastásica en el momento de la cirugía.13
La metastasectomía repetida no se valoró en este caso como opción para aumentar la estabilidad de la enfermedad, dada la presencia de comorbilidades de la paciente y la voluntad de sus tutores de no tratar.
Conclusión
El insulinoma canino presenta un TMS corto debido a su agresividad y a su alta incidencia de metástasis.
El tratamiento quirúrgico es el enfoque más eficaz. La resección quirúrgica mediante pancreatectomía parcial y metastasectomía es el tratamiento de elección.
Se ha demostrado que la combinación de la terapia médica con la cirugía en perros con insulinoma mejora significativamente el pronóstico en comparación con el tratamiento médico solo.
Referencias:
- Coss P., et al. (2021) The appearance of canine insulinoma on dual phase computed tomographic angiography. JSAP 62, 540–546.
- Ryan D., et al. (2021) Clinical findings, neurological manifestations and survival of dogs with insulinoma: 116 cases (2009–2020). JSAP 62, 531–539.
- Buishand FO. (2022) Current Trends in Diagnosis, Treatment and Prognosis of Canine Insulinoma. Vet Sci. Sep 29;9(10):540.
- Goutal., et al. (2012) Insulinoma in dogs: a review. JAAHA 48, 151-163.
- Dunn JK, Bostock DE, Herrtage ME. (1993) Insulin-secreting tumors of the canine pancreas: Clinical and pathological features of 11 cases. JSAP 34:325-331
- Leifer C.E., Peterson M.E., Matus R.E. (1986) Insulin-secreting tumor: Diagnosis and medical and surgical management in 55 dogs. J. Am. Vet. Med. Assoc.188:60–64.
- Caywood D.D., et al. (1988) Pancreatic insulin-secreting neoplasms; clinical, diagnostic, and prognostic features in 73 dogs. JAAHA. 24:577–584.
- Del Busto I, German AJ, Treggiari E, et al. (2020) Incidence of postoperative complications and outcome of 48 dogs undergoing surgical management of insulinoma. J Vet Intern Med.;34(3):1135–1143.
- Cleland NT, Morton J, Delisser PJ. (2021) Outcome after surgical management of canine insulinoma in 49 cases. Vet Comp Oncol.19(3):428–441.
- Buishand FO, Kik M, Kirpensteijn J. (2010) Evaluation of clinico-pathological criteria and the Ki67 index as prognostic indicators in canine insulinoma. Vet J. 185:(1)62-67.
- Moore AS, Nelson RW, Henry CJ et al. (2002) Streptozocin for treatment of pancreatic islet cell tumors in dogs: 17 cases (1989–1999). JAVMA 221, 811–818.
- Duckworth WC, Bennett RG, Hamel FG. (1998) Insulin degradation: progress and potential. Endocr Rev.19(5):608–624.
- Collgros NC, Bray JP. (2022) Blood glucose monitoring during surgery in dogs to assess completeness of surgical resection of insulinoma: 11 cases. J Am Vet Med Assoc. 261:(2)229-236.
- Thoresen., et al. (1995) Pancreatic insulin-secreting carcinoma in a dog: fructosamine for determining persistent hypoglycaemia. JSAP 36, 282-286
- Loste, A.,et al. (2001) Clinical value of fructosamine measurements in non-healthy dogs. Veterinary Research Communications 25, 109-115.
- Robben JH, Pollak YWEA, Kirpensteijn J, et al. (2005) Comparison of ultrasonography, computed tomography, and single-photon emission computed tomography for the detection and localization of canine insulinoma. J Vet Intern Med.19(1):15–22.
- Tobin RL., et al. (1999) Outcome of surgical versus medical treatment of dogs with beta cell neoplasia: 39 cases (1990– 1997). J Am Vet Med Assoc.215(2):226–230.
- Garden OA., et al. (2005) Somatostatin receptor imaging in vivo by planar scintigraphy facilitates the diagnosis of canine insulinomas. J Vet Intern Med.19(2):168– 176.
- Harris ME, Weatherton L, Block CP. (2020) Glucagon therapy in canines with an insulinoma: a retrospective descriptive study of 11 dogs. Can Vet J.61(7):737–742.
- Lamb CR., et al (1995) Ultrasonography of pancreatic neoplasia in the dog: a retrospective review of 16 cases. Vet Rec.137(3):65–68
- Polton, G. A., White, R. N., Brearley, M. J., et al. (2007) Improved survival in a retrospective cohort of 28 dogs with insulinoma. Journal of Small Animal Practice 48, 151-156
- Hixon LP., et al. (2019) Risk factors for gastrointestinal upset and evaluation of outcome following surgical resection of canine pancreatic β-cell tumors. Can Vet J.60(12):1312–1318.
- Northrup NC., et al. (2013) Prospective evaluation of biweekly streptozotocin in 19 dogs with insulinoma. J Vet Intern Med.27(3):483–490.
- Solari, F. P., et al. (2025). Laparoscopic ultrasonography identifies more liver lesions in dogs compared to transabdominal ultrasonography. American Journal of Veterinary Research, 86(6), . Retrieved Jul 2.
- Donald J. Meuten. (2016) Tumors of the Endocrine Glands. In tumors in domestic animals.pp. 822
- Fossum TW, Caplan ER. (2013). Surgery of the endocrine system Small Animal Surgery. 4th ed. Missouri: Elsevier. 633‐684.
- Green R, Musulin SE, Baja AJ, Hansen BD. (2023). Low-dose dexmedetomidine infusion for the treatment of hypoglycemia in a dog with an insulinoma. 6;10:1161002.












