Fallo cardiaco congestivo por cardiomiopatía hipertrófica secundaria a feocromocitoma canino

Este caso describe la descompensación cardiaca en un perro con un feocromocitoma, que provoca un engrosamiento del miocardio y cuyos efectos cardiovasculares acaban desencadenando edema pulmonar cardiogénico sin cardiopatía primaria previa.
Radiografía de tórax latero-lateral derecha que muestra un aumento marcado la silueta cardiaca y un intenso patrón alveolar e intersticial pulmonar compatible con insuficiencia cardiaca congestiva izquierda.
Imagen 1. Radiografía de tórax latero-lateral derecha que muestra un aumento marcado la silueta cardiaca y un intenso patrón alveolar e intersticial pulmonar compatible con insuficiencia cardiaca congestiva izquierda.

Cargando el reproductor..

Javier Hernández Sánchez
GpCert Cardiology ESVPS
Responsable del Servicio de Cardiología de Medivet Sur (Madrid)
Imágenes cedidas por el autor

El fenotipo hipertrófico es la afección cardiaca más frecuente en gatos, y puede ser familiar o secundaria a hipertensión sistémica, hipertiroidismo, acromegalia, neoplasia, inflamación o engrosamiento miocárdico transitorio, entre otras afecciones.

En la especie canina, la causa más frecuente del fallo cardiaco congestivo es la enfermedad mixomatosa de la válvula mitral, en la que no existe una hipertrofia miocárdica concéntrica, sino excéntrica secundaria a sobrecarga de volumen ventricular izquierdo. Enfermedades sistémicas provocan, indirectamente, implicación cardiaca.

En este caso, se describe la descompensación cardiaca en un perro con un feocromocitoma, que provoca un aumento de grosor del miocardio y cuyos efectos cardiovasculares acaban desencadenando edema pulmonar cardiogénico sin cardiopatía primaria previa.

Descripción del caso clínico

Acude a consulta de forma urgente un paciente canino debido a un episodio de colapso sincopal. Presenta polidipsia/poliuria desde hace una semana.

Examen físico, diagnóstico y manejo terapéutico

El examen físico revela taquipnea de 58 rpm, soplo sistólico mitral 4/6 y taquicardia de 220 lpm. La presión arterial medida con oscilometría es de 195/121/137 mmHg (sistólica/diastólica/media).

Dado el intenso distrés respiratorio, se administran midazolam 0,2 mg/kg y butorfanol 0,4 mg/kg intramuscular para rebajar la ansiedad y las hiperventilaciones, y se coloca al paciente en un box de oxígeno.

Se realiza una ecografía POCUS (point of care ultrasound) torácica, donde se detectan abundantes líneas B pulmonares, hipertrofia concéntrica ventricular izquierda grave y una marcada dilatación de atrio izquierdo. Este examen es compatible con un edema pulmonar cardiogénico.

Se pauta furosemida 4 mg/kg intravenosa/4 h. Tras dos horas se realiza una radiografía torácica, donde se aprecia un patrón intersticial y alveolar, además de cardiomegalia (imagen 1).

Se mantiene la oxigenoterapia, se mide la presión arterial cada hora, se realiza un electrocardiograma cada dos horas y se llevan a cabo análisis sanguíneos hematológico y bioquímico, que no presentan alteraciones.

Radiografía de tórax latero-lateral derecha que muestra un aumento marcado la silueta cardiaca y un intenso patrón alveolar e intersticial pulmonar compatible con insuficiencia cardiaca congestiva izquierda.
Imagen 1. Radiografía de tórax latero-lateral derecha que muestra un aumento marcado la silueta cardiaca y un intenso patrón alveolar e intersticial pulmonar compatible con insuficiencia cardiaca congestiva izquierda.

Evolución

Seis horas después, se normaliza la frecuencia respiratoria, el paciente tolera agua y comida y se comprueban la disminución de las líneas B y la desaparición del patrón intersticial. La presión arterial sistólica se mantiene en 195 mmHg. El electrocardiograma muestra taquicardia sinusal, con una frecuencia media de 190-210 lpm (imagen 2).

Electrocardiograma de superficie a velocidad 25 mm/segundo con taquicardia sinusal a 200 latidos por minuto.
Imagen 2. Electrocardiograma de superficie a velocidad 25 mm/segundo con taquicardia sinusal a 200 latidos por minuto.

Se añaden dos dosis de hidralazina 0,5 mg/kg/BID por vía oral. Se realiza una ecografía completa y se aprecia: hipertrofia concéntrica de septo interventricular y pared libre ventricular izquierda, atrio izquierdo gravemente dilatado (ratio LA/Ao: 3,02), insuficiencia mitral de 7,5 m/s y disfunción diastólica grado III (imagen 3).

Ecocardiografía con hipertrofia concéntrica difusa de septo interventricular y pared libre ventricular izquierda, grave dilatación de atrio izquierdo, flujo transmitral restrictivo compatible con disfunción diastólica grado III e insuficiencia mitral de alta velocidad que sugiere hipertensión arterial sistémica.
Imagen 3. Ecocardiografía con hipertrofia concéntrica difusa de septo interventricular y pared libre ventricular izquierda, grave dilatación de atrio izquierdo, flujo transmitral restrictivo compatible con disfunción diastólica grado III e insuficiencia mitral de alta velocidad que sugiere hipertensión arterial sistémica.

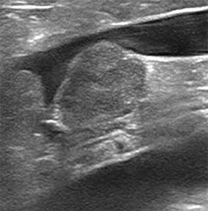
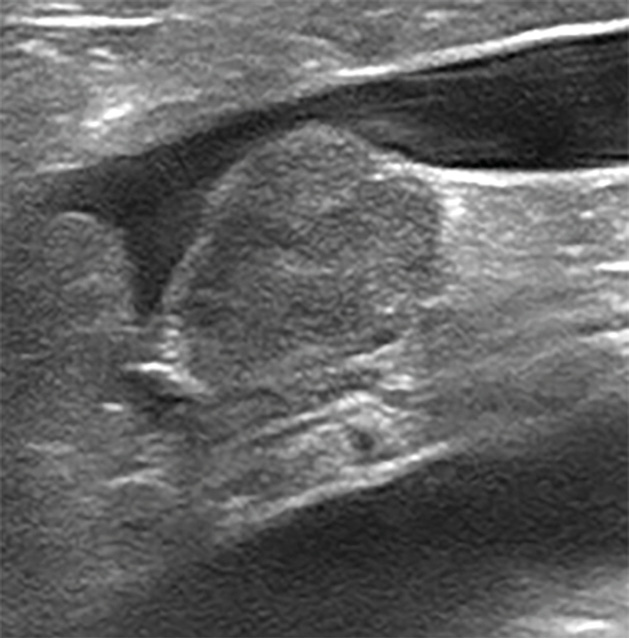
En el abdomen la glándula adrenal derecha presenta pérdida de estructura y una anchura de 17 mm; comprime la vena cava caudal, que presenta un trombo (imágenes 4 y 5). Estos hallazgos sugieren cardiomiopatía hipertrófica secundaria a hipertensión arterial sistémica y neoplasia adrenal derecha con trombosis venosa.

 Imágenes ecográficas de la glándula adrenal derecha aumentada de tamaño, con pérdida de forma normal y estructura intravascular hiperecogénica adherida a vena cava caudal, compatibles con neoplasia adrenal y trombo en dicha vena.

Se da el alta hospitalaria al paciente 24 horas después y se le indica un tratamiento oral, ya que sigue sin edema pulmonar y tiene la tensión arterial más reducida (168 mmHg de presión arterial sistólica). Se pauta: furosemida 2 mg/kg/TID, enoxaparina (heparina de bajo peso molecular) 0,8 mg /kg SC/TID y amlodipino 0,1 mg/kg BID.

Se realiza un estudio de función endocrina adrenal. El test de supresión con dexametasona a baja dosis es normal. Sin embargo, los niveles plasmáticos de metanefrina (7,03 nmol/L) y normetanefrina (61,07 nmol/L) son elevados. Estos hallazgos son compatibles con feocromocitoma.

Debido a la edad avanzada del paciente, se desestima el tratamiento quirúrgico y se opta por un tratamiento médico: se mantiene la furosemida (2 mg/kg/12 h), se sustituye la enoxaparina por rivaroxaban (1 mg/kg/24 h) y se añade clopidogrel (1 mg/kg/24 h), con el objetivo de facilitar el cumplimiento del tratamiento antitrombótico en el domicilio. Se establece un plan de monitorización mensual consistente en examen físico completo, hematología, bioquímica con electrolitos, urianálisis para control de posible proteinuria y radiografías torácicas.

A los tres meses se consigue suspender la furosemida debido a la ausencia de taquipnea en reposo, a que radiológicamente el pulmón no manifiesta edema y al paso de la disfunción diastólica de tipo III a tipo I. Se mantiene el resto de la terapia. La presión arterial se llega a controlar añadiendo benazeprilo 0,5 mg/kg BID. Se mantienen los tamaños de la masa adrenal y del trombo.

Siete meses después, el paciente fallece de muerte súbita.

Discusión y conclusiones

El fallo cardiaco congestivo es un síndrome clínico en el que el deterioro del bombeo del corazón disminuye la eyección ventricular y dificulta el retorno venoso. Una insuficiencia sistólica, diastólica, miocárdica o arritmias originan una caída del gasto cardiaco y la activación de mecanismos compensadores encaminados a restaurar la presión arterial y garantizar la perfusión tisular. La respuesta excesiva incrementa el volumen intravascular que, junto con el daño cardiaco, provoca un estado edematoso (edema pulmonar, efusión pleural o pericárdica, ascitis) responsable de los síntomas1.

En este caso, el fallo cardiaco se relaciona con los efectos de la hipertensión arterial sistémica producida por un feocromocitoma, una neoplasia derivada de células cromafines de la médula adrenal secretora de catecolaminas. Una presión arterial sistólica superior a 180 mmHg genera un elevado riesgo de daño en órganos diana (corazón, cerebro, ojos y riñón)2. Sobre el corazón provoca una hipertrofia concéntrica miocárdica y una incapacidad de llenado ventricular. A nivel renal produce vasoconstricción, azotemia y proteinuria. A nivel ocular, puede conducir a retinopatías y, en el sistema nervioso, accidentes cerebrovasculares, entre otras alteraciones. La disfunción diastólica reduce el gasto cardiaco, de manera que se puede desarrollar una insuficiencia cardiaca congestiva.

El diagnóstico tumoral definitivo se realiza mediante histopatología e inmunohistoquímica. Sin embargo, la medición en plasma de metanefrina y normetanefrina libres es de gran utilidad, ya que sus niveles aumentan en perros con feocromocitoma. Existe también la opción de medir metabolitos en orina, como el ratio normetanefrina/creatinina. Hay que considerar ciertas limitaciones que suponen un reto diagnóstico ante mortem. La principal es la falta de un gold standard con el que se pueda determinar la función adrenal real. Hay enfermedades no adrenales que pueden incrementar los niveles de catecolaminas y metanefrinas. Para evitar falsos positivos, un valor de ratio normetanefrina/creatinina cuatro veces superior que en perro sano puede ser orientativo. Asimismo, incluso en medicina humana no hay consenso sobre qué método de medición, en orina o en plasma, tiene mayor eficacia diagnóstica3. Otro factor para tener en cuenta es que en personas sanas los niveles de estas sustancias pueden estar tan bajos que su detección puede ser un reto. Hay estudios que sugieren que la concentración plasmática de dichos metabolitos en perros es mayor, por lo que su medición en la especie canina es más sensible y específica para el diagnóstico de este tumor in vivo4.

El tratamiento de elección es la adrenalectomía tras exclusión de metástasis. Cuando la cirugía no es viable, el objetivo terapéutico es controlar la hipertensión y el edema pulmonar, y evitar la formación de trombos. El tratamiento recomendado para la trombosis venosa es la heparina de bajo peso molecular, pautada inicialmente por vía subcutánea cada 8 horas. En nuestro caso, para facilitar el cumplimiento se decidió sustituirla a largo plazo por clopidogrel y rivaroxaban, fármacos utilizados en perros como antitrombóticos ante estados hipercoagulables como en anemia hemolítica inmunomediada5.

Muchas enfermedades sistémicas caninas afectan secundariamente al corazón. Hay que considerarlas en el diagnóstico diferencial de las cardiopatías en perros, ya que el tratamiento de la enfermedad primaria, junto con el de las consecuencias cardiovasculares, es vital para aumentar la calidad de vida de estos pacientes.

Bibliografía:

  1. Ettinger SJ, Feldman EC. En Elsevier ed: Tratado de medicina interna veterinaria. Enfermedades del perro y el gato. Volumen 2. 2007; 914-940.
  2. Acierno MJ, Brown S, Coleman AE, Jepson RE, Papich M, Stepien RL, Syme HM; ACVIM consensus statement: Guidelines for the identification, evaluation and management of systemic hypertension in dogs and cats. J Vet Intern Med 2018; 32 (6): 1803-1822.
  3. Salesov E, Boretti FS, Sieber-Ruckstuhl NS et al: Urinary and Plasma Catecholamines and Metanephrines in Dogs with Pheochromoctyoma, Hypercortisolism, Nonadrenal Disease and in Healthy Dogs. J Vet Intern Med 2015; 29: 597-602.
  4. Gostelow R, Bridger N, Syme HM: Plasma-free metanephrine and free normetanephrine measurement for the diagnosis of pheochromocytoma in dogs. J Vet Intern Med 2013; 27 (1): 83-90.
  5. Blais MC, Bianco D, Goggs R et al: Consensus of the rational use of antithrombotics in veterinary critical care (curative): domain 3- defining antithrombotics protocols. J Vet Emergency and Critical Care 2019; 29 (1): 60-74.

Artículos relacionados

EL ECG DEL MES

Participa en el reto cardiológico que te planteamos cada mes.

Encabezado el ECG del mes

Más Popular

Scroll al inicio

¿Quiéres recibir Balto en tu correo?

Logo azul de AF Balto con diseño moderno y estilizado
Esta web ofrece contenido técnico. ¿Es usted veterinario/a?
Informativo para veterinarios especializados en animales de compañía