Natalia Velasco1, Yordan Fernández2
1AniCura Madrid Este Hospital Veterinario
2AniCura Imavet Referencia Veterinaria
Imágenes cedidas por los autores
El hiperaldosteronismo primario es probablemente la enfermedad adrenocortical más común en gatos y se caracteriza por la secreción autónoma excesiva de aldosterona. Al igual que en humanos, se sospecha que esta enfermedad está infradiagnosticada en la especie felina porque, a veces, se puede presuponer erróneamente que los pacientes con hipertensión arterial sistémica o hipokalemia tienen una enfermedad renal crónica y no se realizan estudios adicionales. Esto podría impedir que un número significativo de gatos reciba el tratamiento adecuado. Por lo tanto, el objetivo de este artículo es describir la fisiopatología, la presentación clínica, las pruebas diagnósticas, las opciones de tratamiento y el pronóstico del hiperaldosteronismo primario felino.
Etiología y patofisiología
El hiperaldosteronismo primario (HAP) felino está causado a menudo por una neoplasia adrenocortical unilateral (carcinoma o adenoma) y, menos frecuentemente, por una neoplasia adrenocortical bilateral o una hiperplasia nodular bilateral de la zona glomerulosa adrenocortical. Además, los tumores adrenocorticales pueden secretar de forma ocasional otras hormonas esteroideas, como la progesterona.
La secreción de aldosterona está regulada por el sistema renina-angiotensina-aldosterona (SRAA), por la concentración extracelular de potasio y, en menor medida, por la secreción de ACTH:
- El SRAA mantiene constante la volemia al favorecer la retención de sodio inducida por la aldosterona durante los periodos de hipovolemia.
- El potasio regula directamente la secreción de aldosterona, con independencia del SRAA, puesto que en caso de hiperkalemia o hipokalemia se estimula o inhibe, respectivamente, la secreción de aldosterona en la zona glomerulosa.
Los gatos con HAP secretan cantidades excesivas de aldosterona, independientemente del SRAA o de la concentración extracelular de potasio. El aumento de la concentración de aldosterona provocará un aumento de la retención de sodio y agua, así como una mayor excreción renal de potasio, lo que puede provocar hipertensión arterial sistémica y/o hipopotasemia.
Signos clínicos
Los signos clínicos principales en gatos con HAP son secundarios a la hipokalemia o a la hipertensión arterial sistémica:
- La hipokalemia interfiere con la despolarización de las membranas nerviosas y musculares. Por lo tanto, los gatos con hipokalemia marcada tienden a presentar signos neuromusculares evidentes (polimiopatía hipokalémica). Si bien las concentraciones de potasio <2,5 mmol/l se asocian frecuentemente con signos clínicos, cabe destacar que no existe una correlación lineal entre la concentración de potasio extracelular y los signos clínicos. Los signos clínicos de la polimiopatía hipokalémica incluyen la ventroflexión cervical (imagen 1), el plantigradismo de las extremidades posteriores o las dificultades para saltar. En casos graves, se han descrito parálisis flácida, hipotonía muscular e incluso insuficiencia respiratoria.

Imagen 1. Ventroflexión cervical por polimiopatía hipokalémica en un gato con hiperaldosteronismo primario. - Algunos gatos con HAP se presentan con ceguera aguda por desprendimiento de retina o hemorragia intraocular debido a hipertensión arterial sistémica (imagen 2). Esta presentación es más común en gatos con hiperplasia bilateral de la zona glomerulosa que en gatos con neoplasia adrenocortical.

Imagen 2. Fondo de ojo de un gato con retinopatía hipertensiva, caracterizado por la presencia de una gran hemorragia subhialoidea, hemorragias multifocales puntiformes, exudado subretiniano (desprendimiento de retina plano) y vasculopatía hipertensiva. - En gatos con HAP por un tumor adrenal y secreción concomitante de corticosteroides los signos predominantes son a menudo los causados por este exceso de corticosteroides, e incluyen la poliuria, polidipsia y polifagia (secundaria a diabetes mellitus), un mal estado del pelaje, la piel fina y frágil o un abdomen en tonel.
Por lo tanto, el HAP debe considerarse como un diagnóstico diferencial en cualquier gato con hipokalemia y/o hipertensión arterial sistémica, especialmente en casos refractarios al tratamiento médico.
Diagnóstico
El diagnóstico del HAP felino se basa en la combinación de la reseña, historial, resultados laboratoriales y pruebas de diagnóstico por imagen.
Resultados laboratoriales
Hematología y bioquímica
En gatos con HAP la hematología no presenta alteraciones características.
En la bioquímica, la anomalía más común es una hipokalemia de gravedad variable, aunque la normokalemia no excluye la enfermedad. En estos pacientes no suele haber hipernatremia, porque la retención de sodio está asociada a retención de agua. Puede observarse una azotemia hasta en un 50 % de los casos, ya que la enfermedad renal crónica progresiva es una secuela del HAP no controlado. En gatos con polimiopatía hipokalémica la CK suele también encontrarse elevada. Si en un gato con HAP y una masa adrenal se documenta también hiperglucemia y signos clínicos compatibles con diabetes mellitus y/o signos dermatológicos se debería sospechar la secreción concomitante de corticosteroides como progesterona o corticosterona.
Pruebas endocrinas
Concentración plasmática de aldosterona (CPA)
Respecto a las pruebas endocrinas, la elevación de la concentración plasmática de aldosterona (CPA) es un criterio principal para el diagnóstico de HPA. En gatos con un HAP debido a un tumor adrenocortical, la CPA suele encontrarse significativamente elevada. Sin embargo, algunos gatos con HPA por una hiperplasia bilateral de la zona glomerulosa pueden presentar una CPA levemente elevada o en el límite superior del rango de referencia. La CPA debe interpretarse teniendo en cuenta la concentración de potasio, ya que la hipokalemia es un potente inhibidor de la secreción de aldosterona. Por lo tanto, si la CPA está en el tramo superior del rango de referencia pero el paciente está hipokalémico, aun así se debe considerar un HAP. No obstante, la elevación de CPA no permite diferenciar entre un hiperaldosteronismo primario o secundario, por lo que las causas de hiperaldosteronismo secundario como hipovolemia, enfermedad renal, hepática y cardíaca deben ser excluidas.
Actividad plasmática de la renina (APR)
De todas formas, en gatos con sospecha de HAP se recomienda medir también la actividad plasmática de la renina (APR) para diferenciar entre un hiperaldosteronismo primario o secundario. La combinación de una CPA elevada, o en el límite alto de la normalidad, junto con una APR disminuida indica una síntesis autónoma de aldosterona en ausencia de estimulación por el SRAA y confirma el diagnóstico de HAP.
Concentración de progesterona
En gatos con masas adrenales y sospecha de secreción de múltiples hormonas (p.ej. por diabetes mellitus concomitante) se debería también medir la concentración de progesterona para documentar un posible hiperprogesteronismo y realizar una estimulación con ACTH para determinar si hay evidencia de supresión del eje hipotálamo-hipófisis-adrenal que sugiera la secreción de otros corticosteroides intermedios adrenales como la corticosterona.
Diagnóstico por imagen
Las pruebas de diagnóstico por imagen complementan las pruebas laboratoriales.
Ecografía
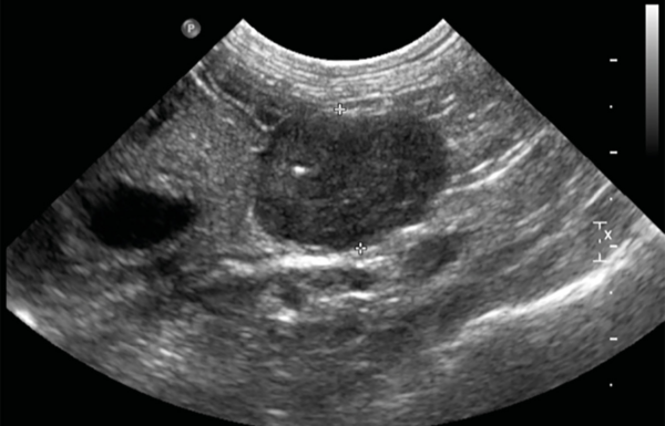
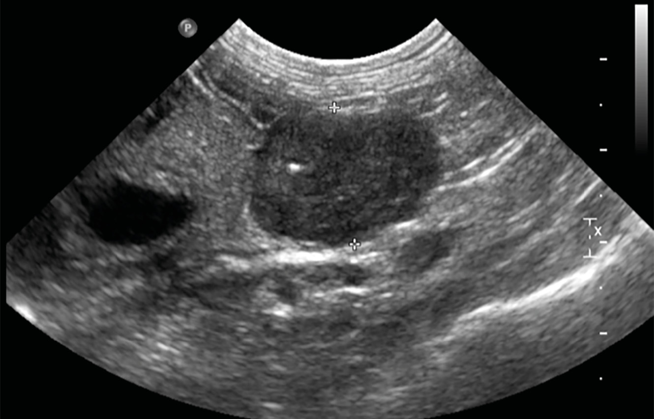
La ecografía abdominal es una técnica accesible que permite identificar masas adrenales, aunque es dependiente del operador, del paciente y del equipo disponible.
En los casos descritos de HAP felino por una masa adrenal en los que se realizó una ecografía se encontró adrenomegalia en todos los gatos con diámetros que oscilaban entre 1 y 5 cm (imagen 3). La glándula contralateral puede ser evidente y tener un aspecto normal, o puede no visualizarse. Es importante intentar visualizar ambas glándulas adrenales para determinar si el tumor es unilateral, bilateral o si es posible que se trate de una hiperplasia bilateral de la zona glomerulosa. Además, en gatos con masas adrenales y atrofia de la glándula adrenal contralateral se debería considerar la secreción concomitante de corticosteroides.

La ecografía adrenal en gatos con hiperplasia bilateral de la zona glomerulosa puede no mostrar cambios detectables, o bien mostrar cambios sutiles e inespecíficos como aumento de la ecogenicidad adrenal, áreas de calcificación o engrosamiento de un polo de una o ambas glándulas adrenales. La ecografía también puede determinar si hay invasión de estructuras adyacentes, como la vena cava caudal.
Tomografía computarizada
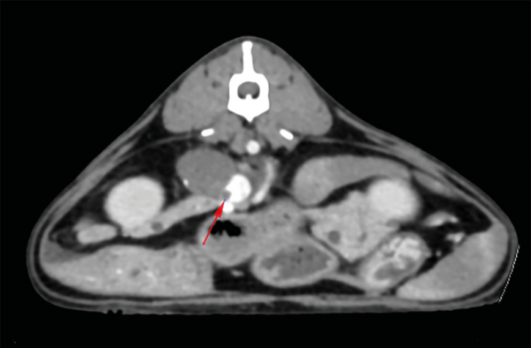
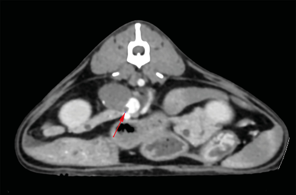
La prueba de elección previa a un tratamiento quirúrgico será la tomografía computarizada, ya que es una técnica superior para determinar la invasividad del tumor, identificar metástasis a distancia y planificar la cirugía (imagen 4).

En aquellos casos en los que no se realicen pruebas de imagen avanzada de tórax y abdomen, se recomienda complementar la ecografía abdominal con radiografías torácicas de tres vistas para descartar metástasis pulmonares.
Tratamiento
Quirúrgico
La adrenalectomía es el tratamiento de elección para el manejo a largo plazo de gatos con HAP secundario a enfermedad unilateral (imagen 5). Sin embargo, antes se recomienda un tratamiento médico para corregir la hipokalemia y la hipertensión arterial sistémica.

Contraindicaciones
Las contraindicaciones para la cirugía incluyen la presencia de enfermedad metastásica, una estabilización preoperatoria deficiente o la presencia de enfermedad concomitante grave.
Aunque la invasión vascular dificulta la cirugía, se ha descrito la extirpación exitosa de tumores adrenocorticales con invasión vascular (habitualmente en la vena cava caudal) (imagen 6).



En casos de HAP por una neoplasia o hiperplasia adrenal bilateral también se ha descrito la adrenalectomía bilateral con un resultado razonable a medio/largo plazo en gatos que sobreviven al periodo posoperatorio inmediato. No obstante, además de ser un procedimiento quirúrgico más complejo, requiere una terapia a largo plazo para el consecuente hipoadrenocorticismo. Por ello, en los casos en los que se sospecha una HAP por una hiperplasia bilateral de la zona glomerulosa se opta habitualmente por el manejo médico a largo plazo.
Complicaciones perioperatorias
Las complicaciones perioperatorias son frecuentes en gatos sometidos a adrenalectomías y, entre ellas, la hemorragia es la complicación mayor más común. Otras complicaciones incluyen apatía e hiporexia progresivas, hipotensión arterial, daño renal agudo, coagulación intravascular diseminada o pancreatitis, entre otras.
Los gatos con HAP y secreción concomitante de corticosteroides presentan riesgos quirúrgicos adicionales, como dehiscencia de suturas, sepsis o episodios tromboembólicos. Por lo tanto, el cierre de la pared abdominal en estos casos debe realizarse con material de sutura resistente, de absorción lenta o no absorbible.
Posoperatorio
A pesar de del riesgo de estas complicaciones, la supervivencia posoperatoria en los últimos años es alta (>75 % gatos operados).
El tratamiento médico a largo plazo no es necesario en la mayoría de los gatos tras una adrenalectomía unilateral exitosa. De todas formas, se recomienda la monitorización posoperatoria de electrolitos para ajustar el tratamiento médico. Además, se recomienda realizar una estimulación con ACTH, especialmente en gatos con HAP y secreción concomitante de corticosteroides o en aquellos gatos con apatía/letargo persistente tras la cirugía para detectar y tratar un posible hipoadrenocorticismo posquirúrgico temporal.
Médico
Se recomienda un manejo médico a corto plazo para la estabilización prequirúrgica, y de por vida para aquellos gatos con PHA que no sean buenos candidatos a cirugía:
- La hipokalemia puede requerir suplementos de potasio oral (gluconato potásico: 2-6 mmol/gato VO cada 8-12 horas) o intravenosos, según la gravedad de los signos clínicos asociados. Si bien la normalización de la concentración extracelular de potasio puede ser difícil de conseguir, los casos de polimiopatía hipokalémica suelen mostrar una mejoría o incluso la resolución de los signos clínicos.
- El inhibidor de los canales de calcio, amlodipino (0,625-1,25 mg por gato VO cada 24 horas) es el tratamiento recomendado para la hipertensión arterial sistémica.
- La espironolactona (2-4 mg/kg VO cada 12-24 horas), un antagonista del receptor de la aldosterona, también se recomienda para el tratamiento de la hipokalemia y la hipertensión arterial. Se ha descrito el desarrollo de dermatitis facial grave en gatos Maine coon por la espironolactona, que se resolvió entre 4 y 6 semanas después de suspender el fármaco. Dado que es un fármaco que no se utiliza habitualmente en medicina felina debería usarse con precaución, especialmente en gatos de esta raza.
Pronóstico
El pronóstico de los gatos con HAP por una neoplasia unilateral que se someten a una adrenalectomía suele ser excelente si sobreviven el posoperatorio y, a menudo, la muerte en el seguimiento a largo plazo se relaciona con el empeoramiento de comorbilidades.
En gatos con HPA por neoplasia adrenal manejados médicamente también se ha descrito algún caso de supervivencia de >2 años, aunque no es lo habitual. La muerte en estos gatos suele asociarse a enfermedad renal crónica progresiva, enfermedad tromboembólica, hipertensión refractaria o enfermedad metastásica.
El pronóstico a largo plazo de los gatos con HAP secundaria a hiperplasia bilateral de la zona glomerulosa no está bien documentado en la literatura veterinaria. Se sospecha que estos animales tienen un pronóstico menos favorable que los gatos con enfermedad unilateral sometidos a adrenalectomía, pero más favorable que los tratados médicamente por enfermedad neoplásica; y, a menudo, sucumben a una enfermedad renal crónica progresiva, ya que la fuente del exceso de aldosterona no se elimina quirúrgicamente.
Bibliografía:
- Del Magno S, Foglia A, Rossanese M, Montinaro V, Cola V, Pisoni L, et al. Surgical findings and outcomes after unilateral adrenalectomy for primary hyperaldosteronism in cats: a multi-institutional retrospective study. J Feline Med Surg. 2023;25(1):1-7.
- Ettinger, Stephen J., Behrend EN. Non-cortisol-secreting Adrenocortical Tumors and Incidentalomas. En: Veterinary Internal Medicine: diseases of the dog and the cat. 8.a ed. St. Louis, Missouri: Elsevier; 2017: 1819-24.
- Feldman E, Hans S, Kooistra. Hiperaldosteronismo primario (síndrome de Conn). En: Endocrinología Felina. 1.a ed. Edra; 2019:381-91.
- Fernandez Y, Seth M, Murgia D. Feline primary hyperaldosteronism: clinical and surgical approach. Companion Anim; 2016;21(3):146-53.
- Gideon D, Mahony OM, Markovich JE et al. Clinical findings, diagnostics and outcome in 33 cats with adrenal neoplasia (2002–2013). J Feline Med Surg. 2016; 18(2): 77–84.
- Harro CC, Refsal KR, Shaw N, Alston SM, Folger W, Gross C, et al. Retrospective study of aldosterone and progesterone secreting adrenal tumors in 10 cats. J Vet Intern Med. 2021;35(5):2159-66.
- Javadi S, Djajadiningrat-Laanen SC, Kooistra HS et al. Primary hyperaldosteronism, a mediator of progressive renal disease in cats. Domest Anim Endocrinol. 2005;28: 85–104.
- Langlois DK, Mazaki‐Tovi M, Harro CC, Refsal KR. Multiple corticosteroid abnormalities in cats with hyperaldosteronism. J Vet Intern Med. 2021;35(5):2152-8.
- Lo AJ, Holt DE, Brown DC, Schlicksup MD, Orsher RJ, Agnello KA. Treatment of aldosterone-secreting adrenocortical tumors in cats by unilateral adrenalectomy: 10 cases (2002-2012). J Vet Intern Med. 2014;28: 137–43.






